验证数据展示
产品信息
85126-4-PBS targets PON2 as part of a matched antibody pair:
MP01843-1: 85126-4-PBS capture and 85126-2-PBS detection (validated in Cytometric bead array, Sandwich ELISA)
Unconjugated rabbit recombinant monoclonal antibody in PBS only (BSA and azide free) storage buffer at a concentration of 1 mg/mL, ready for conjugation. Created using Proteintech’s proprietary in-house recombinant technology. Recombinant production enables unrivalled batch-to-batch consistency, easy scale-up, and future security of supply.
This conjugation ready format makes antibodies ideal for use in many applications including: ELISAs, multiplex assays requiring matched pairs, mass cytometry, and multiplex imaging applications.Antibody use should be optimized by the end user for each application and assay.
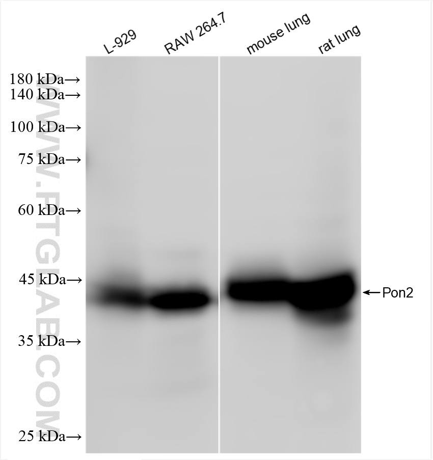
| 经测试应用 | WB, Cytometric bead array, Sandwich ELISA, Indirect ELISA, Sample test Application Description |
| 经测试反应性 | mouse, rat |
| 免疫原 |
CatNo: Eg2741 Product name: Recombinant Mouse Pon2 protein (rFc Tag) Source: mammalian cells-derived, V37 Tag: C-rFc Domain: 30-354 aa of NM_183308.2 Sequence: ASREVESVDLPNCHLIKGIETGAEDIDILPNGLAFFSVGLKFPGLHSFAPDKPGGILMMDLKDERPRALELRVSWGFDLASFNPHGISTFIDDDDTVYLFVVNHPQFKSTVEIFKFQEEENSLLHLKTIKHELLPSVNDIIAVGPTHFYATNDHYFSDPFLKYLETYLNLHWANVVYYSPEEVKLVAEGFDSANGINISPDKKYVYVADILAHEIHVLEKQPNMNLTQLKVLQLGTLVDNLSIDPSSGDIWVGCHPNGQRLFVYHPNHPPASEVLRIQNILSEKPSVTTVYINNGSVLQGSSVATIYDRKLLVGTLYQKALYCEL 种属同源性预测 |
| 宿主/亚型 | Rabbit / IgG |
| 抗体类别 | Recombinant |
| 产品类型 | Antibody |
| 全称 | paraoxonase 2 |
| 别名 | 242673H1, A-esterase 2, Aromatic esterase 2, EC:3.1.1.81, PON 2 |
| 计算分子量 | 40 kDa |
| 观测分子量 | 39 kDa |
| GenBank蛋白编号 | NM_183308.2 |
| 基因名称 | Pon2 |
| Gene ID (NCBI) | 330260 |
| 偶联类型 | Unconjugated |
| 形式 | Liquid |
| 纯化方式 | Protein A purification |
| UNIPROT ID | Q62086 |
| 储存缓冲液 | PBS only, pH 7.3. |
| 储存条件 | Store at -80°C. The product is shipped with ice packs. Upon receipt, store it immediately at -80°C |
背景介绍
PON2 (Serum paraoxonase/arylesterase 2) has antioxidant activity and can prevents LDL lipid peroxidation, reverses the oxidation of mildly oxidized LDL, and inhibits the ability of MM-LDL to induce monocyte chemotaxis. Highest levels of PON2 protein are found in the mouse lung and small intestine, followed by the heart and liver, while lower levels are present in the testis, kidney and brain. PON2 expression in tissues from female mice is always significantly higher than in male animals. There are also some reports showing two bands of 43 kDa and 53 kDa to be detected through western blot as the two isoforms of this protein. (PMID:21354197).




