验证数据展示
经过测试的应用
| Positive WB detected in | HT-29 cells, Calyculin A treated HT-29 cells, etoposide treated HT-29 cells, UV treated A431 cells, Calyculin A treated HEK-293 cells |
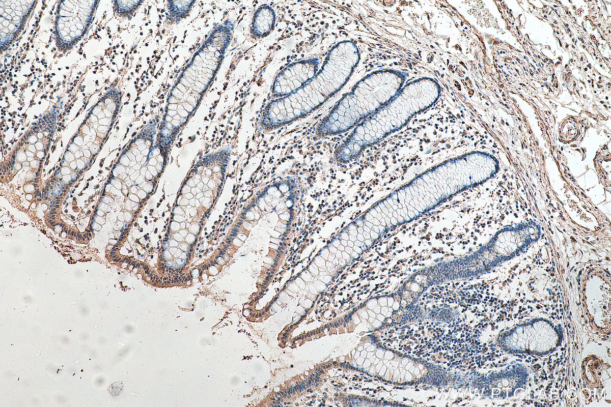
| Positive IHC detected in | human colon cancer tissue Note: suggested antigen retrieval with TE buffer pH 9.0; (*) Alternatively, antigen retrieval may be performed with citrate buffer pH 6.0 |
| Positive IF/ICC detected in | etoposide treated HT-29 cells |
| Positive FC (Intra) detected in | HT-29 cells |
推荐稀释比
| 应用 | 推荐稀释比 |
|---|---|
| Western Blot (WB) | WB : 1:5000-1:50000 |
| Immunohistochemistry (IHC) | IHC : 1:500-1:2000 |
| Immunofluorescence (IF)/ICC | IF/ICC : 1:200-1:800 |
| Flow Cytometry (FC) (INTRA) | FC (INTRA) : 0.40 ug per 10^6 cells in a 100 µl suspension |
| It is recommended that this reagent should be titrated in each testing system to obtain optimal results. | |
| Sample-dependent, Check data in validation data gallery. | |
发表文章中的应用
| WB | See 1 publications below |
产品信息
67900-1-Ig targets Phospho-P53 (Ser46) in WB, IHC, IF/ICC, FC (Intra), ELISA applications and shows reactivity with human samples.
| 经测试应用 | WB, IHC, IF/ICC, FC (Intra), ELISA Application Description |
| 文献引用应用 | WB |
| 经测试反应性 | human |
| 文献引用反应性 | human |
| 免疫原 |
Peptide 种属同源性预测 |
| 宿主/亚型 | Mouse / IgG1 |
| 抗体类别 | Monoclonal |
| 产品类型 | Antibody |
| 全称 | tumor protein p53 |
| 别名 | p P53, p P53 (Ser46), p P53 Ser46, P53 (Ser46), Phospho P53 |
| 计算分子量 | 44 kDa |
| 观测分子量 | 53 kDa |
| GenBank蛋白编号 | BC003596 |
| 基因名称 | P53 |
| Gene ID (NCBI) | 7157 |
| RRID | AB_2918656 |
| 偶联类型 | Unconjugated |
| 形式 | Liquid |
| 纯化方式 | Protein G purification |
| UNIPROT ID | P04637 |
| 储存缓冲液 | PBS with 0.02% sodium azide and 50% glycerol, pH 7.3. |
| 储存条件 | Store at -20°C. Stable for one year after shipment. Aliquoting is unnecessary for -20oC storage. |
背景介绍
P53 is activated in response to alteration of normal cell homeostasis, including DNA damage, nutrient starvation, heat shock, virus infection, pH change, hypoxia, and oncogene activation. P53 maintains genetic stability by regulating different processes, such as cell-cycle arrest, DNA synthesis and repair, programmed cell death, and energy metabolism. In non-stressed conditions these proteins bind p53, ubiquitylate it and target it for degradation by the proteasome. In stressed conditions the function of the MdM2-MdM4 complex is blocked by phosphorylation, protein-binding events and/or enhanced degradation. (PMID: 19935675, PMID: 24379683)
实验方案
| Product Specific Protocols | |
|---|---|
| FC protocol for Phospho-P53 (Ser46) antibody 67900-1-Ig | Download protocol |
| IF protocol for Phospho-P53 (Ser46) antibody 67900-1-Ig | Download protocol |
| IHC protocol for Phospho-P53 (Ser46) antibody 67900-1-Ig | Download protocol |
| WB protocol for Phospho-P53 (Ser46) antibody 67900-1-Ig | Download protocol |
| Standard Protocols | |
|---|---|
| Click here to view our Standard Protocols |





