验证数据展示
产品信息
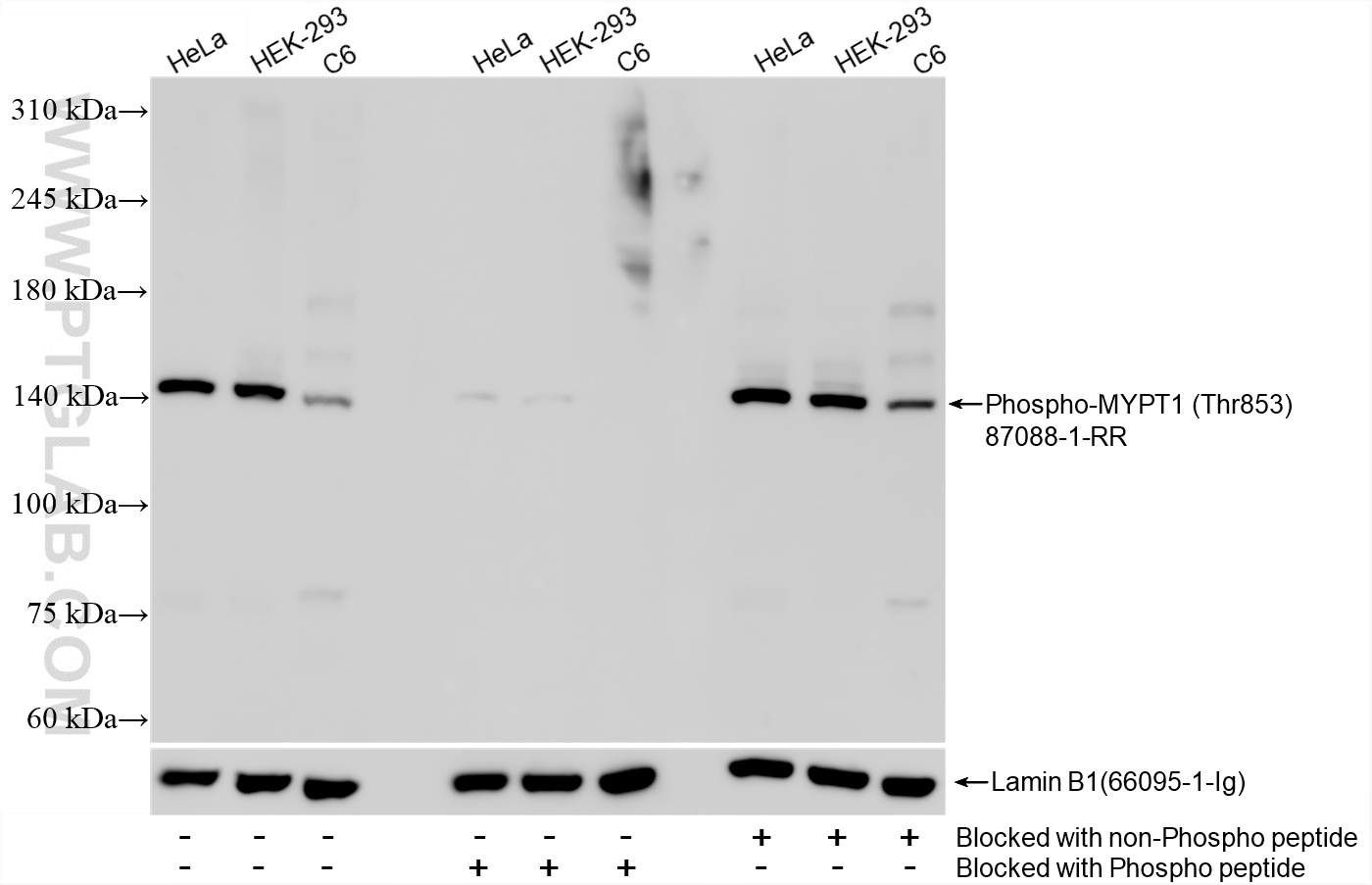
87088-1-PBS targets Phospho-MYPT1 (Thr853) in WB, Indirect ELISA applications and shows reactivity with human, rat samples.
| 经测试应用 | WB, Indirect ELISA Application Description |
| 经测试反应性 | human, rat |
| 免疫原 |
Peptide 种属同源性预测 |
| 宿主/亚型 | Rabbit / IgG |
| 抗体类别 | Recombinant |
| 产品类型 | Antibody |
| 全称 | protein phosphatase 1, regulatory (inhibitor) subunit 12A |
| 别名 | MYPT1 (Thr853), Phospho MYPT1 (Thr853), Phospho-MYPT1, Phospho-MYPT1-Thr853, p-MYPT1 (T853) |
| 计算分子量 | 1030 aa, 115 kDa |
| 观测分子量 | 140 kDa |
| GenBank蛋白编号 | BC111752 |
| 基因名称 | MYPT1 |
| Gene ID (NCBI) | 4659 |
| 偶联类型 | Unconjugated |
| 形式 | Liquid |
| 纯化方式 | Protein A purification |
| UNIPROT ID | O14974 |
| 储存缓冲液 | PBS only, pH 7.3. |
| 储存条件 | Store at -80°C. The product is shipped with ice packs. Upon receipt, store it immediately at -80°C |
背景介绍
Myosin phosphatase target subunit 1(MYPT1), which is also called PPP1R12A, is one of the subunits of myosin phosphatase. Phospho-MYPT1 (Thr853) is a phosphorylated form of MYPT1 (myosin phosphatase target subunit 1) at threonine 853. This phosphorylation event is associated with the regulation of smooth muscle contraction and cell motility. The Rho-associated protein kinase (ROCK) is known to phosphorylate MYPT1 at Thr853, which in turn suppresses the activity of myosin light chain phosphatase (MLCP), leading to an increase in myosin light chain phosphorylation and subsequent smooth muscle contraction. (PMID: 24712327)
