验证数据展示
经过测试的应用
| Positive WB detected in | HEK-293T cells, HEK-293 cells, λ phosphatase treated HEK-293T cells |
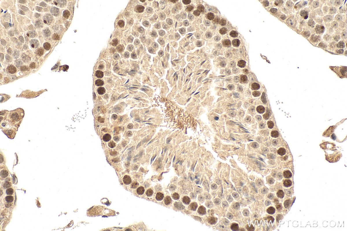
| Positive IHC detected in | mouse testis tissue Note: suggested antigen retrieval with TE buffer pH 9.0; (*) Alternatively, antigen retrieval may be performed with citrate buffer pH 6.0 |
This antibody is equivalent to Thr197/202 in mice.
推荐稀释比
| 应用 | 推荐稀释比 |
|---|---|
| Western Blot (WB) | WB : 1:5000-1:50000 |
| Immunohistochemistry (IHC) | IHC : 1:250-1:1000 |
| It is recommended that this reagent should be titrated in each testing system to obtain optimal results. | |
| Sample-dependent, Check data in validation data gallery. | |
产品信息
81398-1-RR targets Phospho-MNK1 (Thr250/255) in WB, IHC, ELISA applications and shows reactivity with human, mouse samples.
| 经测试应用 | WB, IHC, ELISA Application Description |
| 经测试反应性 | human, mouse |
| 免疫原 |
Peptide 种属同源性预测 |
| 宿主/亚型 | Rabbit / IgG |
| 抗体类别 | Recombinant |
| 产品类型 | Antibody |
| 全称 | MAP kinase interacting serine/threonine kinase 1 |
| 别名 | MNK1 (Thr250/255), p MNK1, p MNK1 (Thr250/255), p MNK1 Thr250/255, Phospho MNK1 |
| 计算分子量 | 51 kDa |
| 观测分子量 | 51 kDa |
| GenBank蛋白编号 | BC002755 |
| 基因名称 | MNK1 |
| Gene ID (NCBI) | 8569 |
| RRID | AB_2935427 |
| 偶联类型 | Unconjugated |
| 形式 | Liquid |
| 纯化方式 | Protein A purification |
| UNIPROT ID | Q9BUB5 |
| 储存缓冲液 | PBS with 0.02% sodium azide and 50% glycerol, pH 7.3. |
| 储存条件 | Store at -20°C. Stable for one year after shipment. Aliquoting is unnecessary for -20oC storage. |
背景介绍
MNK1/MKNK1 (MAPK Interacting Serine/Threonine Kinase 1) is a Ser/Thr protein kinase that interacts with, and is activated by ERK1 and p38 mitogen-activated protein kinases, and thus may play a role in the response to environmental stress and cytokines. MNK1 regulates diverse biologic processes including translation, cell proliferation, and differentiation through phosphorylation of different substrates(PMID: 29045529). Through phosphorylation MNK1 regulates the function of eukaryotic translation initiation factor 4E (eIF4E), a key player in translational control, whose expression is mostly upregulated in cancer patients.
实验方案
| Product Specific Protocols | |
|---|---|
| IHC protocol for Phospho-MNK1 (Thr250/255) antibody 81398-1-RR | Download protocol |
| WB protocol for Phospho-MNK1 (Thr250/255) antibody 81398-1-RR | Download protocol |
| Standard Protocols | |
|---|---|
| Click here to view our Standard Protocols |


