验证数据展示
经过测试的应用
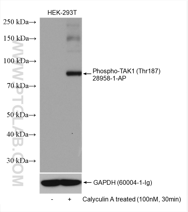
| Positive WB detected in | Calyculin A treated HEK-293T cells |
推荐稀释比
| 应用 | 推荐稀释比 |
|---|---|
| Western Blot (WB) | WB : 1:2000-1:10000 |
| It is recommended that this reagent should be titrated in each testing system to obtain optimal results. | |
| Sample-dependent, Check data in validation data gallery. | |
发表文章中的应用
| WB | See 7 publications below |
| IHC | See 1 publications below |
产品信息
28958-1-AP targets Phospho-TAK1 (Thr187) in WB, IHC, ELISA applications and shows reactivity with Human samples.
| 经测试应用 | WB, ELISA Application Description |
| 文献引用应用 | WB, IHC |
| 经测试反应性 | Human |
| 文献引用反应性 | human, mouse, chicken |
| 免疫原 |
Peptide 种属同源性预测 |
| 宿主/亚型 | Rabbit / IgG |
| 抗体类别 | Polyclonal |
| 产品类型 | Antibody |
| 全称 | mitogen-activated protein kinase kinase kinase 7 |
| 别名 | MAP3K7, Phospho-MAP3K7/TAK1 (Thr187), TAK1, TGF beta activated kinase 1, TGF1a |
| 计算分子量 | 579 aa, 64 kDa |
| 观测分子量 | 75-85 kDa |
| GenBank蛋白编号 | BC017715 |
| 基因名称 | TAK1 |
| Gene ID (NCBI) | 6885 |
| RRID | AB_2918222 |
| 偶联类型 | Unconjugated |
| 形式 | Liquid |
| 纯化方式 | Antigen affinity purification |
| UNIPROT ID | O43318 |
| 储存缓冲液 | PBS with 0.02% sodium azide and 50% glycerol, pH 7.3. |
| 储存条件 | Store at -20°C. Stable for one year after shipment. Aliquoting is unnecessary for -20oC storage. |
背景介绍
MAP3K7(Mitogen-activated protein kinase kinase kinase 7) is also named as TAK1 and belongs to the MAP kinase kinase kinase subfamily.It plays an important role in the cascades of cellular responses evoked by changes in the environment.It has been linked to interleukin-1 receptor and tumor necrosis factor receptor signaling (PMID: 16186825).It has 4 isoforms (53-55 kDa; 64-70 kDa and 75-80 kDa)produced by alternative splicing.
实验方案
| Product Specific Protocols | |
|---|---|
| WB protocol for Phospho-TAK1 (Thr187) antibody 28958-1-AP | Download protocol |
| Standard Protocols | |
|---|---|
| Click here to view our Standard Protocols |
发表文章
| Species | Application | Title |
|---|---|---|
Mol Cell Proteomics Global Phosphoproteomics Unveils Kinase-regulated Networks in Systemic Lupus Erythematosus | ||
Leukemia Thrombin receptor activating peptide-6 decreases acute graft-versus-host disease through activating GPR15 | ||
Cell Mol Immunol SMAD7 expression in CAR-T cells improves persistence and safety for solid tumors | ||
Cell Death Dis CRLF1 bridges AKT and mTORC2 through SIN1 to inhibit pyroptosis and enhance chemo-resistance in ovarian cancer | ||
Acta Pharm Sin B Free fatty acid receptor-4 regulates T-cell-mediated allogeneic reaction through activating an aryl hydrocarbon receptor pathway | ||
Inflammation MALT1 Knockdown Alleviates Multiorgan Injury and Inflammation Through Inhibiting TAK1/NF-κB Signaling Pathway-Mediated T-Helper 1 and 17 Differentiations in LPS-induced Inflammation. |
