验证数据展示
经过测试的应用
| Positive WB detected in | HEK-293T cells, HeLa cells, Calyculin A treated HEK-293T cells, PC-3 cells, Calyculin A treated PC-3 cells, Calyculin A treated Hela cells, HSC-T6 cells, NIH/3T3 cells, 4T1 cells |
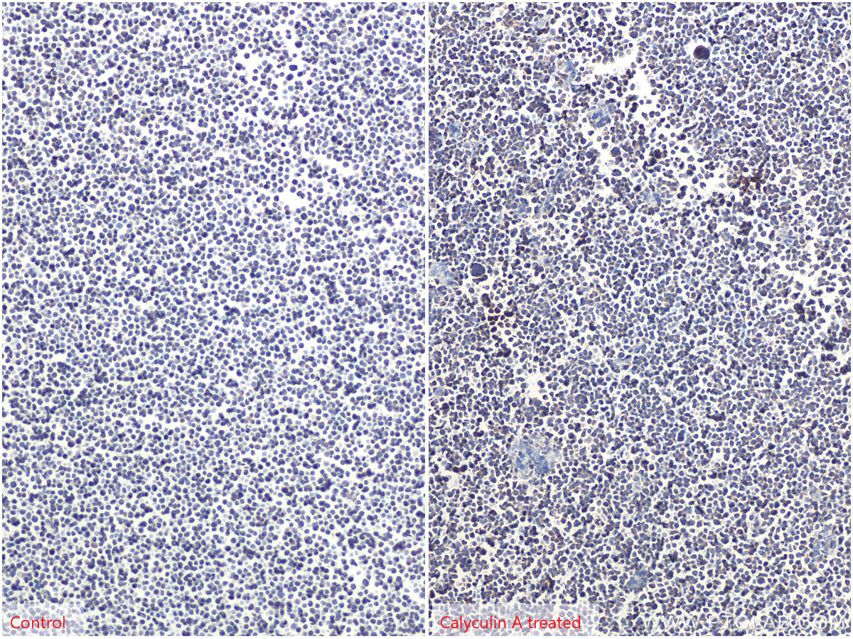
| Positive IHC detected in | Jurkat cells, mouse brain tissue Note: suggested antigen retrieval with TE buffer pH 9.0; (*) Alternatively, antigen retrieval may be performed with citrate buffer pH 6.0 |
推荐稀释比
| 应用 | 推荐稀释比 |
|---|---|
| Western Blot (WB) | WB : 1:1000-1:4000 |
| Immunohistochemistry (IHC) | IHC : 1:2000-1:8000 |
| It is recommended that this reagent should be titrated in each testing system to obtain optimal results. | |
| Sample-dependent, Check data in validation data gallery. | |
发表文章中的应用
| WB | See 1 publications below |
产品信息
80059-1-RR targets Phospho-EIF4B (Ser406) in WB, IHC, ELISA applications and shows reactivity with human, mouse, rat samples.
| 经测试应用 | WB, IHC, ELISA Application Description |
| 文献引用应用 | WB |
| 经测试反应性 | human, mouse, rat |
| 文献引用反应性 | human |
| 免疫原 |
Peptide 种属同源性预测 |
| 宿主/亚型 | Rabbit / IgG |
| 抗体类别 | Recombinant |
| 产品类型 | Antibody |
| 全称 | eukaryotic translation initiation factor 4B |
| 别名 | EIF4B (Ser406), p EIF4B , p EIF4B (Ser406), p EIF4B Ser406, p-EIF4B |
| 计算分子量 | 611 aa, 69 kDa |
| 观测分子量 | 70-80 kDa |
| GenBank蛋白编号 | BC073154 |
| 基因名称 | EIF4B |
| Gene ID (NCBI) | 1975 |
| RRID | AB_2918859 |
| 偶联类型 | Unconjugated |
| 形式 | Liquid |
| 纯化方式 | Protein A purification |
| UNIPROT ID | P23588 |
| 储存缓冲液 | PBS with 0.02% sodium azide and 50% glycerol, pH 7.3. |
| 储存条件 | Store at -20°C. Stable for one year after shipment. Aliquoting is unnecessary for -20oC storage. |
背景介绍
EIF4B is one of the mammalian eukaryotic initiation factors (eIF) that are required for the ATP-dependent binding of mRNA to the 40 S ribosomal subunit, and the other eIF proteins are EIF4A, EIF4F. eIF4B is involved in translation of numerous proliferative or anti-apoptotic mRNAs with highly structured 5'UTR and subsequently affect cell growth and survival. It was reported that false expression and phosphorylation levels of eIF4B are involved in several tumors including breast cancer, cell lymphoblastic leukemia and diffuse large B-cell lymphoma (PMID: 26848623).
实验方案
| Product Specific Protocols | |
|---|---|
| IHC protocol for Phospho-EIF4B (Ser406) antibody 80059-1-RR | Download protocol |
| WB protocol for Phospho-EIF4B (Ser406) antibody 80059-1-RR | Download protocol |
| Standard Protocols | |
|---|---|
| Click here to view our Standard Protocols |



