验证数据展示
产品信息
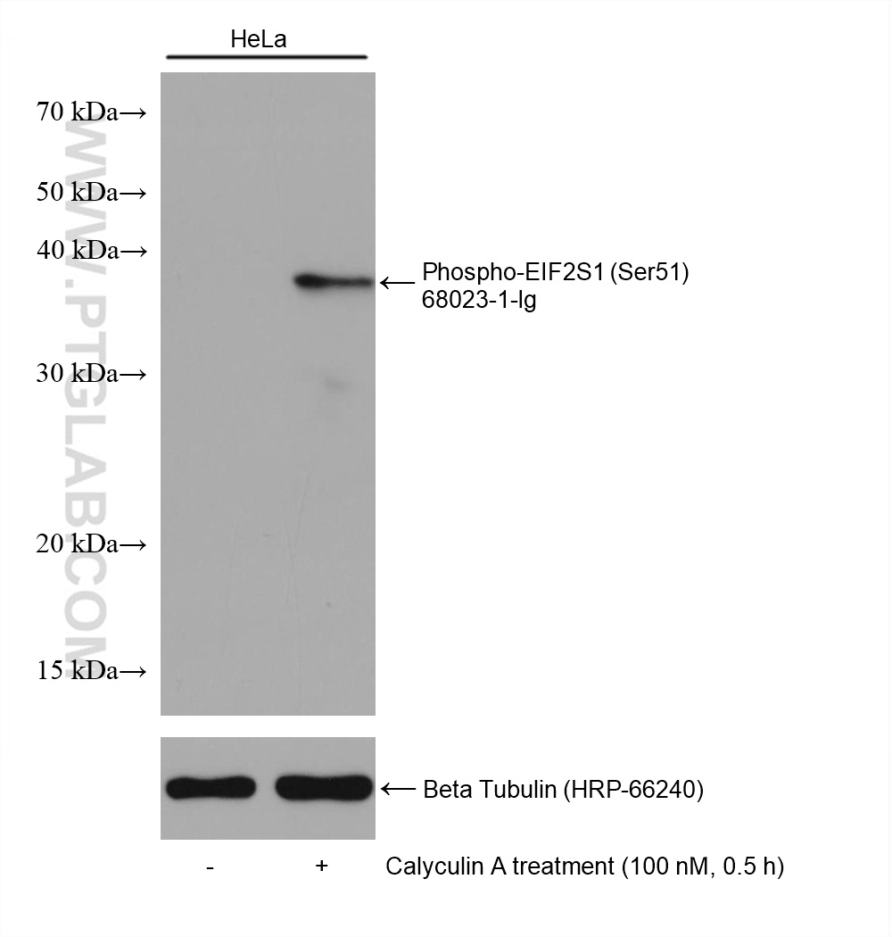
68023-1-PBS targets Phospho-EIF2S1 (Ser51) as part of a matched antibody pair:
MP50181-1: 68479-1-PBS capture and 68023-1-PBS detection (validated in Cytometric bead array)
Unconjugated mouse monoclonal antibody pair in PBS only (BSA and azide free) storage buffer at a concentration of 1 mg/mL, ready for conjugation.
This conjugation ready format makes antibodies ideal for use in many applications including: ELISAs, multiplex assays requiring matched pairs, mass cytometry, and multiplex imaging applications.Antibody use should be optimized by the end user for each application and assay.
| 经测试应用 | WB, IF/ICC, FC (Intra), Cytometric bead array, Indirect ELISA Application Description |
| 经测试反应性 | human, mouse, rat |
| 免疫原 |
Peptide 种属同源性预测 |
| 宿主/亚型 | Mouse / IgG1 |
| 抗体类别 | Monoclonal |
| 产品类型 | Antibody |
| 全称 | eukaryotic translation initiation factor 2, subunit 1 alpha, 35kDa |
| 别名 | EIF2S1 (Ser51), p EIF2S1, p EIF2S1 (Ser51), p EIF2S1 Ser51, p-EIF2S1 |
| 计算分子量 | 36 kDa |
| 观测分子量 | 36 kDa |
| GenBank蛋白编号 | NM_004094 |
| 基因名称 | EIF2S1 |
| Gene ID (NCBI) | 1965 |
| RRID | AB_2918767 |
| 偶联类型 | Unconjugated |
| 形式 | Liquid |
| 纯化方式 | Protein G purification |
| UNIPROT ID | P05198 |
| 储存缓冲液 | PBS only, pH 7.3. |
| 储存条件 | Store at -80°C. The product is shipped with ice packs. Upon receipt, store it immediately at -80°C |
背景介绍
EIF2S1 is one subunit of the translation initiation factor EIF2, which catalyzes the first regulated step of protein synthesis initiation, promoting the binding of the initiator tRNA to 40S ribosomal subunits. This complex binds to a 40S ribosomal subunit, followed by mRNA binding to form a 43S preinitiation complex. Junction of the 60S ribosomal subunit to form the 80S initiation complex is preceded by hydrolysis of the GTP bound to eIF-2 and release of an eIF-2-GDP binary complex. In order for eIF-2 to recycle and catalyze another round of initiation, the GDP bound to eIF-2 must exchange with GTP by way of a reaction catalyzed by eIF-2B. This phosphorylation stabilizes the eIF2-GDP-eIF2B complex and inhibits the turnover of eIF2B. Induction of PKR by IFN-γ and TNF-α induces potent phosphorylation of eIF2α at Ser51.








