验证数据展示
经过测试的应用
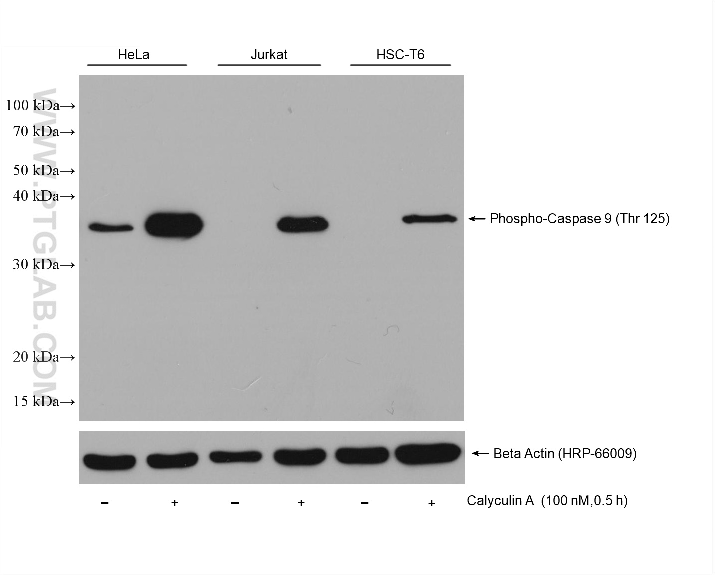
| Positive WB detected in | HeLa cells, Calyculin A treated Jurkat cells, Calyculin A treated HSC-T6 cells, Calyculin A treated HeLa cells |
推荐稀释比
| 应用 | 推荐稀释比 |
|---|---|
| Western Blot (WB) | WB : 1:5000-1:50000 |
| It is recommended that this reagent should be titrated in each testing system to obtain optimal results. | |
| Sample-dependent, Check data in validation data gallery. | |
产品信息
68136-1-Ig targets Phospho-Caspase 9 (Thr125) in WB, ELISA applications and shows reactivity with human, rat samples.
| 经测试应用 | WB, ELISA Application Description |
| 经测试反应性 | human, rat |
| 免疫原 |
fusion protein 种属同源性预测 |
| 宿主/亚型 | Mouse / IgG1 |
| 抗体类别 | Monoclonal |
| 产品类型 | Antibody |
| 全称 | caspase 9, apoptosis-related cysteine peptidase |
| 别名 | CASP9, Caspase 9, Caspase 9/p35/p10, 1B5E11, APAF 3 |
| 计算分子量 | 46 kDa |
| 观测分子量 | 36 kDa |
| GenBank蛋白编号 | BC002452 |
| 基因名称 | Caspase 9 |
| Gene ID (NCBI) | 842 |
| RRID | AB_2923663 |
| 偶联类型 | Unconjugated |
| 形式 | Liquid |
| 纯化方式 | Protein G purification |
| UNIPROT ID | P55211 |
| 储存缓冲液 | PBS with 0.02% sodium azide and 50% glycerol, pH 7.3. |
| 储存条件 | Store at -20°C. Stable for one year after shipment. Aliquoting is unnecessary for -20oC storage. |
背景介绍
Caspase 9 also name as MCH6, APAF3, APAF-3, ICE-LAP6 and CASPASE-9c, is a member of the cysteine-aspartic acid protease (caspase) family. It's synthesized as a 46 kDa precursor protein which can be cleaved into a 35 kDa subunit and a 11 kDa subunit. Control of all caspases is tightly regulated by a series of phosphorylation events enacted by several different kinases. Caspase-9 is the most heavily phosphorylated of all caspases, with phosphorylation of at least 11 distinct residues in all three caspase-9 domains by nine kinases. It plays a central role in the mitochondrial or intrinsic apoptotic pathway that is engaged in response to many apoptotic stimuli. Once activated, caspase-9 cleaves and activates the effector caspases 3 and 7 to bring about apoptosis. It's reported that there is an increase in caspase 9 expression and activity in the hypoxic brain. Inhibition of Caspase 9 activity would render opportunity to treat neurological diseases such as stroke, neurodegenerative diseases or brain injury caused by hypoxia. (PMID: 19788417, PMID: 10529400, PMID: 9812896, PMID: 18840507, PMID: 29066624)
实验方案
| Product Specific Protocols | |
|---|---|
| WB protocol for Phospho-Caspase 9 (Thr125) antibody 68136-1-Ig | Download protocol |
| Standard Protocols | |
|---|---|
| Click here to view our Standard Protocols |
