验证数据展示
产品信息
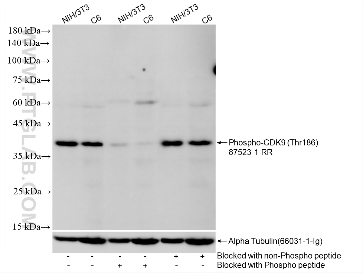
87523-1-PBS targets Phospho-CDK9 (Thr186) in WB, Indirect ELISA applications and shows reactivity with human, mouse, rat samples.
| 经测试应用 | WB, Indirect ELISA Application Description |
| 经测试反应性 | human, mouse, rat |
| 免疫原 |
Peptide 种属同源性预测 |
| 宿主/亚型 | Rabbit / IgG |
| 抗体类别 | Recombinant |
| 产品类型 | Antibody |
| 全称 | cyclin-dependent kinase 9 |
| 别名 | CDK9, C 2k, C-2K, CDC2L4, Cell division cycle 2-like protein kinase 4 |
| 计算分子量 | 43 kDa |
| 观测分子量 | 42 kDa |
| GenBank蛋白编号 | NM_001261 |
| 基因名称 | CDK9 |
| Gene ID (NCBI) | 1025 |
| 偶联类型 | Unconjugated |
| 形式 | Liquid |
| 纯化方式 | Protein A purification |
| UNIPROT ID | P50750 |
| 储存缓冲液 | PBS only, pH 7.3. |
| 储存条件 | Store at -80°C. The product is shipped with ice packs. Upon receipt, store it immediately at -80°C |
背景介绍
CDK9(Cyclin-dependent kinase 9) is a member of the Cdc2-like family of kinases. Its cyclin partners are members of the family of cyclin T (T1, T2a and T2b) and cyclin K. Phospho-CDK9 (Thr186) is the active-site-switching modification of the catalytic subunit of P-TEFb (positive transcription elongation factor b). Phosphorylation at threonine 186, located in the T-loop of CDK9, is essential for full kinase activity: it swings the T-loop away from the catalytic cleft, allowing ATP and protein substrates (e.g., the C-terminal domain of RNA polymerase II, DSIF and NELF) to enter and be efficiently phosphorylated. Thus, p-Thr186-CDK9 licenses the elongation step of most protein-coding transcripts and is indispensable for productive mRNA synthesis. (PMID: 39800748)
