验证数据展示
产品信息
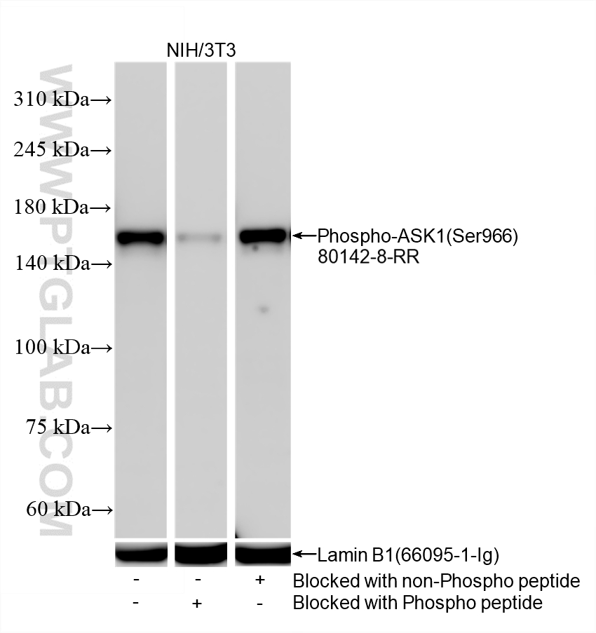
80142-8-PBS targets Phospho-ASK1 (Ser966) in WB, Indirect ELISA applications and shows reactivity with human, mouse, monkey samples.
| 经测试应用 | WB, Indirect ELISA Application Description |
| 经测试反应性 | human, mouse, monkey |
| 免疫原 |
Peptide 种属同源性预测 |
| 宿主/亚型 | Rabbit / IgG |
| 抗体类别 | Recombinant |
| 产品类型 | Antibody |
| 全称 | mitogen-activated protein kinase kinase kinase 5 |
| 别名 | ASK1 (Ser966), ASK1 (Ser967), p-ASK1, p-ASK1 (Ser966), p-ASK1 (Ser967) |
| 计算分子量 | 155 kDa |
| 观测分子量 | 155 kDa |
| GenBank蛋白编号 | BC054503 |
| 基因名称 | ASK1 |
| Gene ID (NCBI) | 4217 |
| 偶联类型 | Unconjugated |
| 形式 | Liquid |
| 纯化方式 | Protein A purification |
| UNIPROT ID | Q99683 |
| 储存缓冲液 | PBS only, pH 7.3. |
| 储存条件 | Store at -80°C. The product is shipped with ice packs. Upon receipt, store it immediately at -80°C |
背景介绍
ASK1(Apoptosis signal-regulating kinase 1) is also named as MAP3K5, MAPKKK5, MEKK5 and belongs to the MAP kinase kinase kinase subfamily. It is an evolutionarily conserved mitogen activated protein 3-kinase that activates both Jnk and p38 mitogen-activated protein kinases. ASK1 is is activated in response to various cytotoxic stresses including TNF, Fas and reactive oxygen species (ROS) such as H2O2, and activates c-Jun NH 2-terminal kinase (JNK) and p38. The predicted MW of ASK1 is around 155 kDa and the 110-120 kDa fragment has also been reported.

