Validation Data Gallery
Product Information
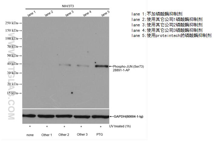
Proteintech的磷酸酶抑制剂混合液(Phosphatase Inhibitor Cocktail)是多种磷酸酶抑制剂混合物组成的一款高效、广谱的抑制剂混合物。成分主要含有 sodium fluoride,sodium orthovanadate,Sodium Pyrophosphate,β-glycerophosphate,Imidazole,Sodium molybdate,Sodium tartrate dibasic dihydrate等多种抑制剂, 主要抑制丝氨酸/苏氨酸磷酸酶、酸性磷酸酶、碱性磷酸酶、酪氨酸磷酸酶等,可在原代细胞、哺乳动物培养细胞、动物组织、植物组织、酵母或细菌的提取或裂解过程中有效防止蛋白被去磷酸化。用于蛋白纯化,蛋白免疫印迹, 免疫共 沉淀,免疫荧光,免疫组织化学等研究。
产品介绍
含有 sodium fluoride,sodium orthovanadate,Sodium Pyrophosphate,β-glycerophosphate,Imidazole,Sodium molybdate,Sodium tartrate dibasic dihydrate等多种抑制剂。
保存条件
-20℃保存,一年有效。
使用方法
室温下充分溶解混匀,根据实验的需求,以1:100(体积比)的稀释比加入到裂解液或样品溶液中。
注意
1、不同来源的样品中磷酸酶含量及种类不同,可根据实验情况调整加入的磷酸酶抑制剂混合液的量,如:针对有效抑制内源性磷酸酶作用可以加倍使用。
2、本产品为高浓度溶液,可能会出现少量沉淀,使用前需充分溶解后再使用。
3、在室温下溶解,请勿加热。
4、为了您的安全和健康,请穿实验服并戴好一次性手套操作。
Publications
| Application | Title |
|---|---|
Life Sci Gap26 inhibited angiogenesis through the β-catenin-VE-cadherin-VEGFR2-Erk signaling pathway | |
Hum Cell NR2F1 overexpression alleviates trophoblast cell dysfunction by inhibiting GDF15/MAPK axis in preeclampsia | |
BMC Endocr Disord Acteoside protects podocyte against apoptosis through regulating AKT/GSK-3β signaling pathway in db/db mice | |
Front Pharmacol Ephedra sinica polysaccharide regulate the anti-inflammatory immunity of intestinal microecology and bacterial metabolites in rheumatoid arthritis | |
Virus Res In vitro assessment of the anti-adenoviral activity of artemisinin and its derivatives | |
Int J Biol Macromol Molecular exploration of the diurnal alteration of glycogen structural fragility and stability in time-restricted-feeding mouse liver |


