验证数据展示
经过测试的应用
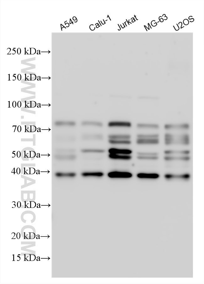
| Positive WB detected in | A549 cells, Calu-1 cells, Jurkat cells, MG-63 cells, U2OS cells |
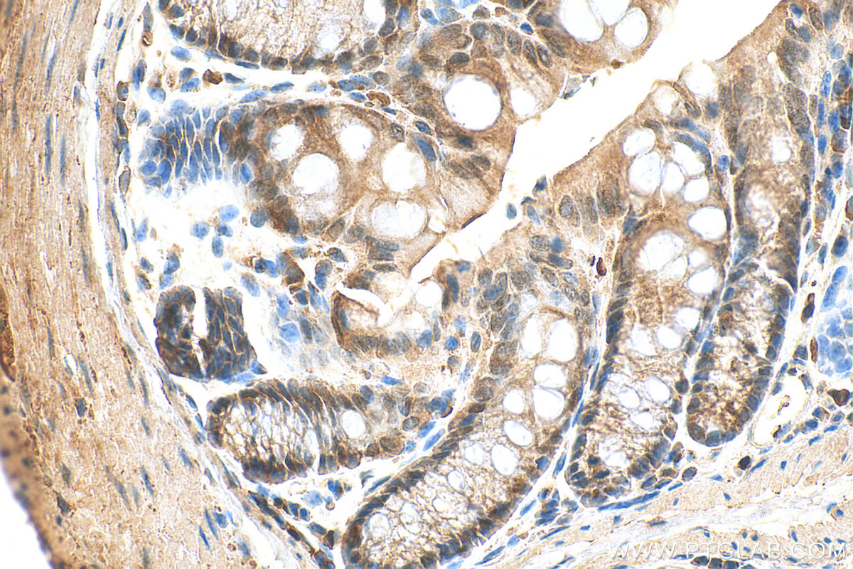
| Positive IHC detected in | mouse colon tissue Note: suggested antigen retrieval with TE buffer pH 9.0; (*) Alternatively, antigen retrieval may be performed with citrate buffer pH 6.0 |
推荐稀释比
| 应用 | 推荐稀释比 |
|---|---|
| Western Blot (WB) | WB : 1:2000-1:12000 |
| Immunohistochemistry (IHC) | IHC : 1:50-1:500 |
| It is recommended that this reagent should be titrated in each testing system to obtain optimal results. | |
| Sample-dependent, Check data in validation data gallery. | |
产品信息
30437-1-AP targets Periphilin 1 in WB, IHC, ELISA applications and shows reactivity with human, mouse samples.
| 经测试应用 | WB, IHC, ELISA Application Description |
| 经测试反应性 | human, mouse |
| 免疫原 |
CatNo: Ag32768 Product name: Recombinant human PPHLN1 protein Source: e coli.-derived, PGEX-4T Tag: GST Domain: 33-200 aa of BC039832 Sequence: ESGYRWTRDDHSASRQPEYRDMRDGFRRKSFYSSHYARERSPYKRDNTFFRESPVGRKDSPHSRSGSSVSSRSYSPERSKSYSFHQSQHRKSVRPGASYKRQNEGNPERDKERPVQSLKTSRDTSPSSGSAVSSSKVLDKPSRLTEKELAEAASKWAAEKLEKSDESN 种属同源性预测 |
| 宿主/亚型 | Rabbit / IgG |
| 抗体类别 | Polyclonal |
| 产品类型 | Antibody |
| 全称 | periphilin 1 |
| 别名 | PPHLN1, Gastric cancer antigen Ga50, HSPC206, HSPC232, Periphilin-1 |
| 计算分子量 | 458 aa, 53 kDa |
| 观测分子量 | 37-70 kDa |
| GenBank蛋白编号 | BC039832 |
| 基因名称 | PPHLN1 |
| Gene ID (NCBI) | 51535 |
| 偶联类型 | Unconjugated |
| 形式 | Liquid |
| 纯化方式 | Antigen affinity purification |
| UNIPROT ID | Q8NEY8 |
| 储存缓冲液 | PBS with 0.02% sodium azide and 50% glycerol, pH 7.3. |
| 储存条件 | Store at -20°C. Stable for one year after shipment. Aliquoting is unnecessary for -20oC storage. |
背景介绍
Periphilin 1 is a component of the HUSH complex, which is a multiprotein complex that mediates epigenetic repression. The HUSH complex is recruited to genomic loci rich in H3K9me3 and is likely necessary for maintaining transcriptional silencing by promoting the recruitment of SETDB1, a histone methyltransferase that mediates the deposition of additional H3K9me3. Periphilin 1 contributes to the maintenance of the HUSH complex at chromatin (PMID: 26022416).
实验方案
| Product Specific Protocols | |
|---|---|
| IHC protocol for Periphilin 1 antibody 30437-1-AP | Download protocol |
| WB protocol for Periphilin 1 antibody 30437-1-AP | Download protocol |
| Standard Protocols | |
|---|---|
| Click here to view our Standard Protocols |


