验证数据展示
经过测试的应用
| Positive WB detected in | SK-N-SH cells, BxPC-3 cells, HEK-293 cells, human placenta tissue, MCF-7 cells, Neuro-2a cells, SGC-7901 cells, ROS1728 cells, BT-549 cells |
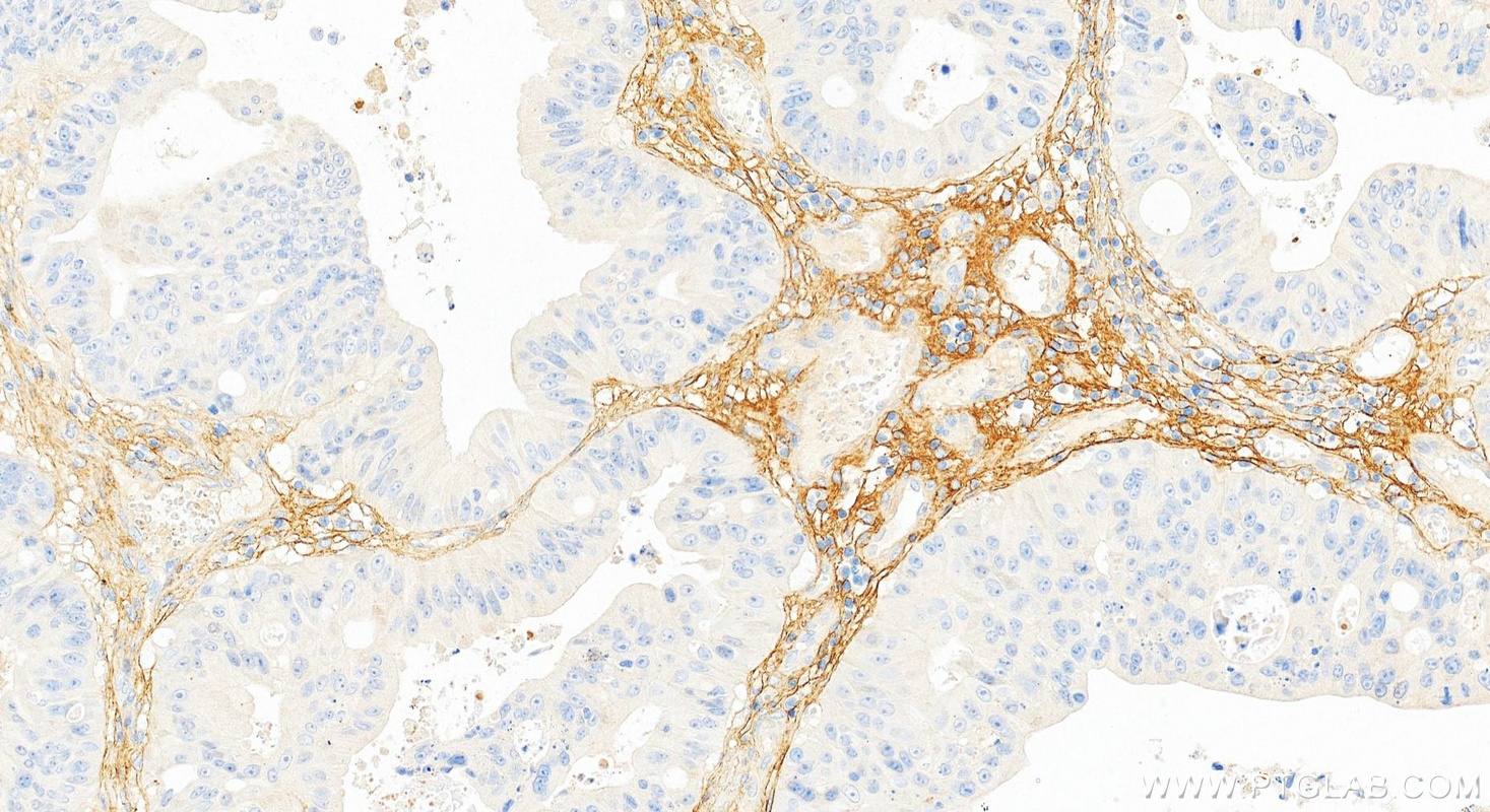
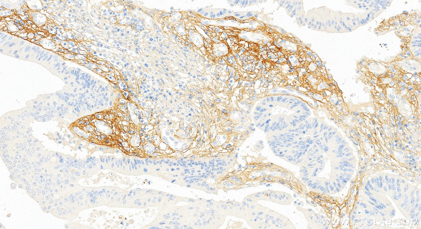
| Positive IHC detected in | human breast cancer tissue, human colon tissue, human colon cancer tissue, human stomach tissue Note: suggested antigen retrieval with TE buffer pH 9.0; (*) Alternatively, antigen retrieval may be performed with citrate buffer pH 6.0 |
| Positive IF-P detected in | human breast cancer tissue, mouse spleen tissue |
| Positive IF-Fro detected in | mouse breast cancer |
推荐稀释比
| 应用 | 推荐稀释比 |
|---|---|
| Western Blot (WB) | WB : 1:5000-1:50000 |
| Immunohistochemistry (IHC) | IHC : 1:4000-1:16000 |
| Immunofluorescence (IF)-P | IF-P : 1:4000-1:16000 |
| Immunofluorescence (IF)-FRO | IF-FRO : 1:200-1:800 |
| It is recommended that this reagent should be titrated in each testing system to obtain optimal results. | |
| Sample-dependent, Check data in validation data gallery. | |
产品信息
66491-1-Ig targets Periostin in WB, IHC, IF-P, IF-Fro, ELISA applications and shows reactivity with human, mouse, rat samples.
| 经测试应用 | WB, IHC, IF-P, IF-Fro, ELISA Application Description |
| 文献引用应用 | WB, IHC, IF, ELISA |
| 经测试反应性 | human, mouse, rat |
| 文献引用反应性 | human, mouse, rat, goat |
| 免疫原 |
CatNo: Ag14487 Product name: Recombinant human POSTN protein Source: e coli.-derived, PET28a Tag: 6*His Domain: 21-368 aa of BC106710 Sequence: ANNHYDKILAHSRIRGRDQGPNVCALQQILGTKKKYFSTCKNWYKKSICGQKTTVLYECCPGYMRMEGMKGCPAVLPIDHVYGTLGIVGATTTQRYSDASKLREEIEGKGSFTYFAPSNEAWDNLDSDIRRGLESNVNVELLNALHSHMINKRMLTKDLKNGMIIPSMYNNLGLFINHYPNGVVTVNCARIIHGNQIATNGVVHVIDRVLTQIGTSIQDFIEAEDDLSSFRAAAITSDILEALGRDGHFTLFAPTNEAFEKLPRGVLERIMGDKVASEALMKYHILNTLQCSESIMGGAVFETLEGNTIEIGCDGDSITVNGIKMVNKKDIVTNNGVIHLIDQVLIPD 种属同源性预测 |
| 宿主/亚型 | Mouse / IgG1 |
| 抗体类别 | Monoclonal |
| 产品类型 | Antibody |
| 全称 | periostin, osteoblast specific factor |
| 别名 | 1A11A3, OSF 2, OSF2, OSF-2, Osteoblast specific factor 2 |
| 计算分子量 | 93 kDa |
| 观测分子量 | 85-90 kDa |
| GenBank蛋白编号 | BC106710 |
| 基因名称 | Periostin |
| Gene ID (NCBI) | 10631 |
| RRID | AB_2881856 |
| 偶联类型 | Unconjugated |
| 形式 | Liquid |
| 纯化方式 | Protein G purification |
| UNIPROT ID | Q15063 |
| 储存缓冲液 | PBS with 0.02% sodium azide and 50% glycerol, pH 7.3. |
| 储存条件 | Store at -20°C. Stable for one year after shipment. Aliquoting is unnecessary for -20oC storage. |
背景介绍
Periostin (POSTN, PN), originally named as osteoblast-specific factor 2 (OSF-2), is a 90-kDa secreted protein which is now classified as a matricellular protein. It is present in a wide variety of normal adult tissues and fetal tissues, and has a role in bone, tooth and heart development and function. Studies show that periostin is overexpressed in a broad range of human cancer types, including lung, ovary, breast and colon cancers. Recent evidence reveals that periostin is expressed by fibroblasts in the normal tissue and in the stroma of the primary tumour, and it is required to allow cancer stem cell maintenance. The isoforms of periostin are between 83 and 93 kDa in mass and differ in their C-terminal sequences, characterized by individual presence or absence of cassette exons 17-21 (UniProtKB/Swiss-Prot, PMID: 21997759).
实验方案
| Product Specific Protocols | |
|---|---|
| IF protocol for Periostin antibody 66491-1-Ig | Download protocol |
| IHC protocol for Periostin antibody 66491-1-Ig | Download protocol |
| WB protocol for Periostin antibody 66491-1-Ig | Download protocol |
| Standard Protocols | |
|---|---|
| Click here to view our Standard Protocols |
发表文章
| Species | Application | Title |
|---|---|---|
Cell Metab Myocardial infarction accelerates the progression of MASH by triggering immunoinflammatory response and induction of periosti | ||
Adv Sci (Weinh) Spatiotemporal Characterization of Human Early Intervertebral Disc Formation at Single-Cell Resolution | ||
Mol Ther Self-amplifying loop of NF-κB and periostin initiated by PIEZO1 accelerates mechano-induced senescence of nucleus pulposus cells and intervertebral disc degeneration. | ||
Cancer Cell Int Periostin promotes the proliferation and metastasis of osteosarcoma by increasing cell survival and activates the PI3K/Akt pathway.
| ||
Biochem Biophys Res Commun Changed PGA and POSTN levels in choroid plexus are associated with depressive-like behaviors in mice. | ||
Aging (Albany NY) An immune signature to predict the prognosis of ATRX-wildtype glioma patients and guide immune checkpoint blockade therapy |
















