验证数据展示
经过测试的应用
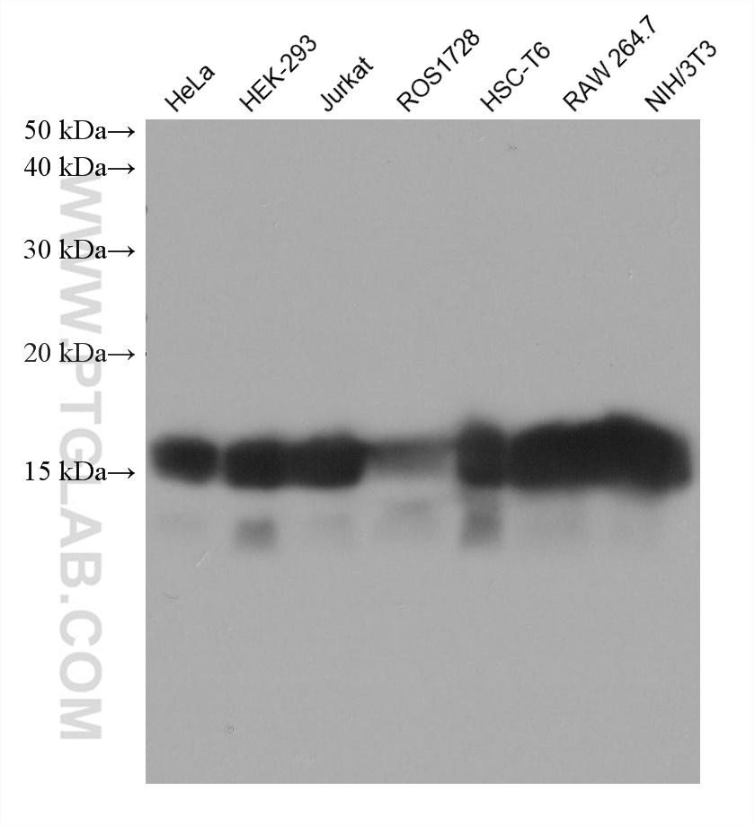
| Positive WB detected in | HeLa cells, HEK-293 cells, Jurkat cells, ROS1728 cells, HSC-T6 cells. RAW 264.7 cells, NIH/3T3 cells |
| Positive IF/ICC detected in | HeLa cells, MDCK cells |
推荐稀释比
| 应用 | 推荐稀释比 |
|---|---|
| Western Blot (WB) | WB : 1:5000-1:50000 |
| Immunofluorescence (IF)/ICC | IF/ICC : 1:50-1:500 |
| It is recommended that this reagent should be titrated in each testing system to obtain optimal results. | |
| Sample-dependent, Check data in validation data gallery. | |
产品信息
66289-1-Ig targets Pan Acetylation in WB, IHC, IF/ICC, IP, CoIP, IP-MS, ELISA, Acetylation assay applications and shows reactivity with chemical compound samples.
| 经测试应用 | WB, IF/ICC, ELISA Application Description |
| 文献引用应用 | WB, IHC, IF, IP, CoIP, IP-MS, Acetylation assay |
| 经测试反应性 | chemical compound |
| 文献引用反应性 | human, mouse, rat, drosophila, rice |
| 免疫原 |
Peptide 种属同源性预测 |
| 宿主/亚型 | Mouse / IgG1 |
| 抗体类别 | Monoclonal |
| 产品类型 | Antibody |
| 全称 | Pan Acetylation |
| 别名 | Pan Acetyl, Pan-Acetyl, Acetylation, Acetylation Lysine, Acetylated Lysine |
| 观测分子量 | 17 kDa |
| 基因名称 | |
| Gene ID (NCBI) | |
| RRID | AB_2881672 |
| 偶联类型 | Unconjugated |
| 形式 | Liquid |
| 纯化方式 | Protein G purification |
| 储存缓冲液 | PBS with 0.02% sodium azide and 50% glycerol, pH 7.3. |
| 储存条件 | Store at -20°C. Stable for one year after shipment. Aliquoting is unnecessary for -20oC storage. |
背景介绍
Acetylation and De-acetylation are the important reaction in epigenetic. Many proteins, especially Histone, are with Acetylated of Lysine. This antibody is used to detect the Acetylation of Lysine. The 17 kDa in our detection is Acetylated Histone.
实验方案
| Product Specific Protocols | |
|---|---|
| IF protocol for Pan Acetylation antibody 66289-1-Ig | Download protocol |
| WB protocol for Pan Acetylation antibody 66289-1-Ig | Download protocol |
| Standard Protocols | |
|---|---|
| Click here to view our Standard Protocols |
发表文章
| Species | Application | Title |
|---|---|---|
Mol Cell Serine synthesis sustains macrophage IL-1β production via NAD+-dependent protein acetylation | ||
Neuron Astrocytic ApoE reprograms neuronal cholesterol metabolism and histone-acetylation-mediated memory. | ||
Sci Adv Asparagine transporter supports macrophage inflammation via histone phosphorylation | ||
Dev Cell HDAC6 Suppresses Age-Dependent Ectopic Fat Accumulation by Maintaining the Proteostasis of PLIN2 in Drosophila. | ||
Cell Death Dis RSL1D1 promotes the progression of colorectal cancer through RAN-mediated autophagy suppression. | ||
Plant Biotechnol J The rice RNase P protein subunit Rpp30 confers broad-spectrum resistance to fungal and bacterial pathogens. |



