验证数据展示
经过测试的应用
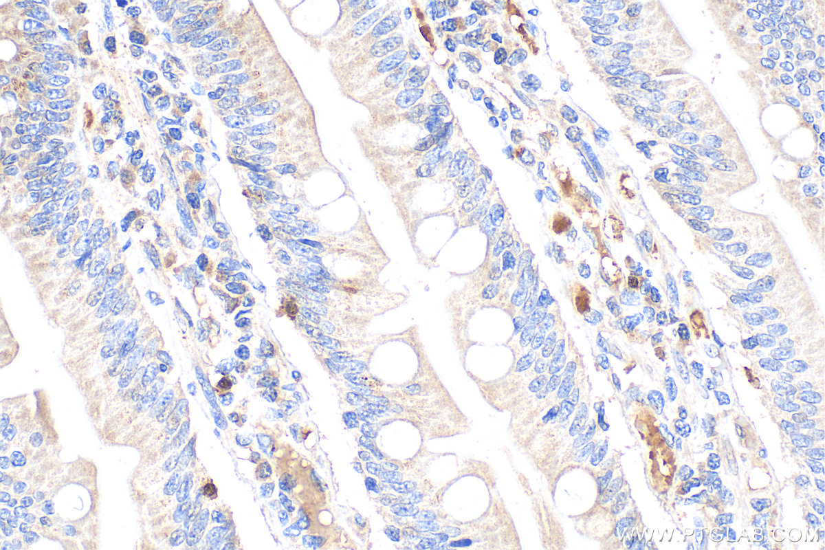
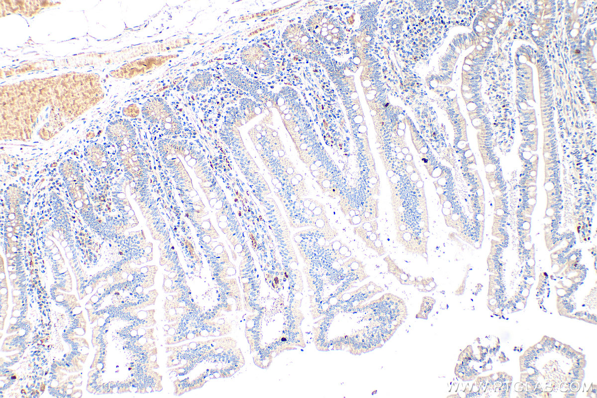
| Positive IHC detected in | human small intestine tissue, human colon tissue, human pancreas tissue Note: suggested antigen retrieval with TE buffer pH 9.0; (*) Alternatively, antigen retrieval may be performed with citrate buffer pH 6.0 |
推荐稀释比
| 应用 | 推荐稀释比 |
|---|---|
| Immunohistochemistry (IHC) | IHC : 1:200-1:800 |
| It is recommended that this reagent should be titrated in each testing system to obtain optimal results. | |
| Sample-dependent, Check data in validation data gallery. | |
产品信息
24294-1-AP targets peptide YY in WB, IHC, IF, ELISA applications and shows reactivity with human samples.
| 经测试应用 | IHC, ELISA Application Description |
| 文献引用应用 | WB, IHC, IF |
| 经测试反应性 | human |
| 文献引用反应性 | human, mouse |
| 免疫原 |
CatNo: Ag17939 Product name: Recombinant human PYY protein Source: e coli.-derived, PGEX-4T Tag: GST Domain: 29-97 aa of BC041057 Sequence: YPIKPEAPGEDASPEELNRYYASLRHYLNLVTRQRYGKRDGPDRLLSKTFFPDGEDRPVRSRSEGPDLW 种属同源性预测 |
| 宿主/亚型 | Rabbit / IgG |
| 抗体类别 | Polyclonal |
| 产品类型 | Antibody |
| 全称 | peptide YY |
| 别名 | PYY, Peptide tyrosine tyrosine, Peptide YY(3-36), PYY I, PYY II |
| 计算分子量 | 97 aa, 11 kDa |
| GenBank蛋白编号 | BC041057 |
| 基因名称 | Peptide YY |
| Gene ID (NCBI) | 5697 |
| RRID | AB_2879477 |
| 偶联类型 | Unconjugated |
| 形式 | Liquid |
| 纯化方式 | Antigen affinity purification |
| UNIPROT ID | P10082 |
| 储存缓冲液 | PBS with 0.02% sodium azide and 50% glycerol, pH 7.3. |
| 储存条件 | Store at -20°C. Stable for one year after shipment. Aliquoting is unnecessary for -20oC storage. |
背景介绍
Peptide YY (PYY) is a short (36-amino acid) peptide hormone that is released from endocrine cells in the gut. Its name is derived from the presence of two tyrosine (Y) amino acids at both ends of the molecule.
实验方案
| Product Specific Protocols | |
|---|---|
| IHC protocol for peptide YY antibody 24294-1-AP | Download protocol |
| Standard Protocols | |
|---|---|
| Click here to view our Standard Protocols |
发表文章
| Species | Application | Title |
|---|---|---|
Anal Chem Development of a Primary Human Intestinal Epithelium Enriched in L-Cells for Assay of GLP-1 Secretion. | ||
Front Cell Infect Microbiol Appetite Suppression and Interleukin 17 Receptor Signaling Activation of Colonic Mycobiota Dysbiosis Induced by High Temperature and High Humidity Conditions. | ||
Am J Cancer Res PYY modulates the tumorigenesis and progression of colorectal cancer unveiled by proteomics |





