验证数据展示
经过测试的应用
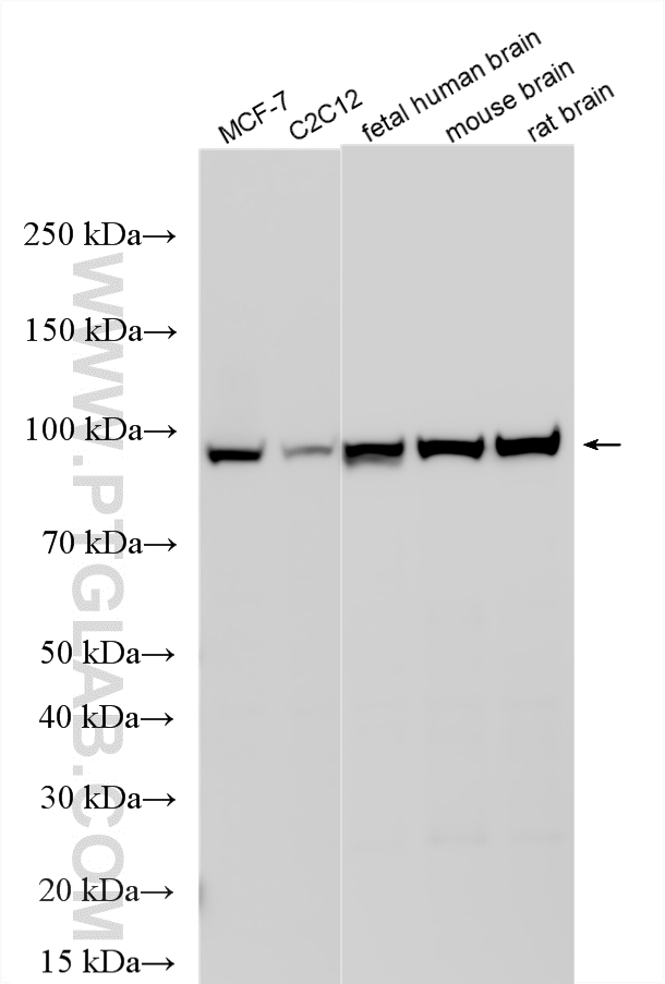
| Positive WB detected in | MCF-7 cells, human brain tissue, rat brain tissue, C2C12 cells, fetal human brain tissue, mouse brain tissue |
| Positive IP detected in | mouse brain tissue |
| Positive IHC detected in | human stomach cancer tissue, human ovary tumor tissue, mouse heart tissue, rat brain tissue Note: suggested antigen retrieval with TE buffer pH 9.0; (*) Alternatively, antigen retrieval may be performed with citrate buffer pH 6.0 |
推荐稀释比
| 应用 | 推荐稀释比 |
|---|---|
| Western Blot (WB) | WB : 1:2000-1:10000 |
| Immunoprecipitation (IP) | IP : 0.5-4.0 ug for 1.0-3.0 mg of total protein lysate |
| Immunohistochemistry (IHC) | IHC : 1:400-1:1600 |
| It is recommended that this reagent should be titrated in each testing system to obtain optimal results. | |
| Sample-dependent, Check data in validation data gallery. | |
产品信息
12075-1-AP targets PYGB in WB, IHC, IP, ELISA applications and shows reactivity with human, mouse, rat samples.
| 经测试应用 | WB, IHC, IP, ELISA Application Description |
| 文献引用应用 | WB, IHC, IP |
| 经测试反应性 | human, mouse, rat |
| 文献引用反应性 | human, mouse, rat |
| 免疫原 |
CatNo: Ag2732 Product name: Recombinant human PYGB protein Source: e coli.-derived, PGEX-4T Tag: GST Domain: 544-843 aa of BC017045 Sequence: LKFSAFLEKEYKVKINPSSMFDVHVKRIHEYKRQLLNCLHVVTLYNRIKRDPAKAFVPRTVMIGGKAAPGYHMAKLIIKLVTSIGDVVNHDPVVGDRLKVIFLENYRVSLAEKVIPAADLSQQISTAGTEASGTGNMKFMLNGALTIGTMDGANVEMAEEAGAENLFIFGLRVEDVEALDRKGYNAREYYDHLPELKQAVDQISSGFFSPKEPDCFKDIVNMLMHHDRFKVFADYEAYMQCQAQVDQLYRNPKEWTKKVIRNIACSGKFSSDRTITEYAREIWGVEPSDLQIPPPNIPRD 种属同源性预测 |
| 宿主/亚型 | Rabbit / IgG |
| 抗体类别 | Polyclonal |
| 产品类型 | Antibody |
| 全称 | phosphorylase, glycogen; brain |
| 别名 | EC:2.4.1.1, GPBB, phosphorylase, glycogen; brain |
| 计算分子量 | 843 aa, 97 kDa |
| 观测分子量 | 97 kDa |
| GenBank蛋白编号 | BC017045 |
| 基因名称 | PYGB |
| Gene ID (NCBI) | 5834 |
| RRID | AB_2174885 |
| 偶联类型 | Unconjugated |
| 形式 | Liquid |
| 纯化方式 | Antigen affinity purification |
| UNIPROT ID | P11216 |
| 储存缓冲液 | PBS with 0.02% sodium azide and 50% glycerol, pH 7.3. |
| 储存条件 | Store at -20°C. Stable for one year after shipment. Aliquoting is unnecessary for -20oC storage. |
背景介绍
The three main subtypes of GP found in human tissues-brain-type glycogen phosphorylase (PYGB), liver-type glycogen phosphorylase (PYGL), and muscle-type glycogen phosphorylase (PYGM)-differ in function, structure, and tissue distribution. PYGB (Brain‑type glycogen phosphorylase) is a glycogen phosphorylase and is primarily localized in adult brain tissues and embryo liver tissues, whose function is to provide energy to organisms (PMID: 30106110). PYGB has been observed to be overexpressed in many types of cancer and tumor cell lines and is expected to be a novel target for the diagnosis and treatment of various cancers (PMID: 38334681).
实验方案
| Product Specific Protocols | |
|---|---|
| IHC protocol for PYGB antibody 12075-1-AP | Download protocol |
| IP protocol for PYGB antibody 12075-1-AP | Download protocol |
| WB protocol for PYGB antibody 12075-1-AP | Download protocol |
| Standard Protocols | |
|---|---|
| Click here to view our Standard Protocols |
发表文章
| Species | Application | Title |
|---|---|---|
Brain C9orf72 expansion within astrocytes reduces metabolic flexibility in amyotrophic lateral sclerosis. | ||
Int J Biol Sci PYGL-mediated glucose metabolism reprogramming promotes EMT phenotype and metastasis of pancreatic cancer | ||
Mol Cell Proteomics Multi-omics integration reveals the landscape of pro-metastasis metabolism in hepatocellular carcinoma. | ||
iScience Using brain cell-type-specific protein interactomes to interpret neurodevelopmental genetic signals in schizophrenia | ||
Front Cell Dev Biol Glycogen Phosphorylase B Is Regulated by miR101-3p and Promotes Hepatocellular Carcinoma Tumorigenesis. | ||










