验证数据展示
经过测试的应用
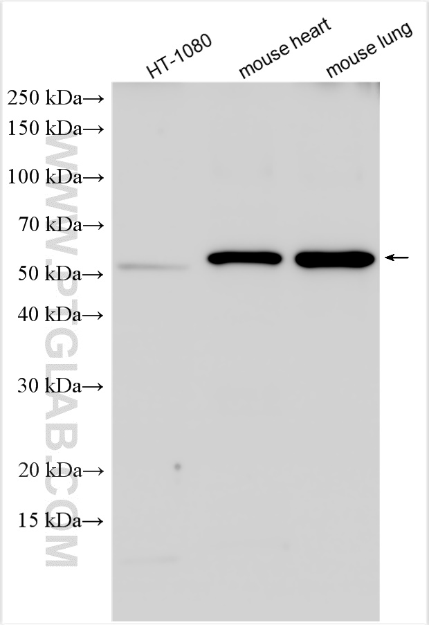
| Positive WB detected in | HT-1080 cells, rat heart tissue, mouse heart tissue, mouse lung tissue |
| Positive IP detected in | HT-1080 cells |
| Positive IHC detected in | human normal colon, mouse brown adipose tissue Note: suggested antigen retrieval with TE buffer pH 9.0; (*) Alternatively, antigen retrieval may be performed with citrate buffer pH 6.0 |
| Positive IF/ICC detected in | HepG2 cells |
推荐稀释比
| 应用 | 推荐稀释比 |
|---|---|
| Western Blot (WB) | WB : 1:2000-1:10000 |
| Immunoprecipitation (IP) | IP : 0.5-4.0 ug for 1.0-3.0 mg of total protein lysate |
| Immunohistochemistry (IHC) | IHC : 1:500-1:2000 |
| Immunofluorescence (IF)/ICC | IF/ICC : 1:200-1:800 |
| It is recommended that this reagent should be titrated in each testing system to obtain optimal results. | |
| Sample-dependent, Check data in validation data gallery. | |
产品信息
18892-1-AP targets PTRF in WB, IHC, IF/ICC, IP, CoIP, ELISA applications and shows reactivity with human, mouse, rat samples.
| 经测试应用 | WB, IHC, IF/ICC, IP, ELISA Application Description |
| 文献引用应用 | WB, IHC, IF, IP, CoIP |
| 经测试反应性 | human, mouse, rat |
| 文献引用反应性 | human, mouse, monkey, zebrafish |
| 免疫原 |
CatNo: Ag13486 Product name: Recombinant human PTRF protein Source: e coli.-derived, PGEX-4T Tag: GST Domain: 1-198 aa of BC008849 Sequence: MEDAAALELSSDEAVEVEEVIEESRAERIKRSGLRRVDDFKKAFSKEKMEKTKVRTRENLEKTRLKTKENLEKTRHTLEKRMNKLGTRLVPAERREKLKTSRDKLRKSFTPDHVVYARSKTAVYKVPPFTFHVKKIREGQVEVLKATEMVEVGADDDEGGAERGEAGDLRRGSSPDVHALLEITEESDAVLVDKSDSD 种属同源性预测 |
| 宿主/亚型 | Rabbit / IgG |
| 抗体类别 | Polyclonal |
| 产品类型 | Antibody |
| 全称 | polymerase I and transcript release factor |
| 别名 | FKSG13, Cavin-1, Cavin 1 |
| 计算分子量 | 43 kDa |
| 观测分子量 | 50-55 kDa |
| GenBank蛋白编号 | BC008849 |
| 基因名称 | PTRF |
| Gene ID (NCBI) | 284119 |
| RRID | AB_10596795 |
| 偶联类型 | Unconjugated |
| 形式 | Liquid |
| 纯化方式 | Antigen affinity purification |
| UNIPROT ID | Q6NZI2 |
| 储存缓冲液 | PBS with 0.02% sodium azide and 50% glycerol, pH 7.3. |
| 储存条件 | Store at -20°C. Stable for one year after shipment. Aliquoting is unnecessary for -20oC storage. |
背景介绍
Polymerase I and transcript release factor(PTRF) is an essential factor in the biogenesis of caveolae, which involve in numerous process, such as signal transduction and membrane and lipid trafficking. PTRF can terminate transciption of RNA Pol I, which involves pausing of transcription by TTF1, and dissocaition of the transcription complex, release the complex from the template. The calculated molecular weight of PTRF is 43 kDa, but modified PTRF is about 50-55kDa. (PMID: 11139612 )
实验方案
| Product Specific Protocols | |
|---|---|
| WB protocol for PTRF antibody 18892-1-AP | Download protocol |
| IHC protocol for PTRF antibody 18892-1-AP | Download protocol |
| IF protocol for PTRF antibody 18892-1-AP | Download protocol |
| IP protocol for PTRF antibody 18892-1-AP | Download protocol |
| Standard Protocols | |
|---|---|
| Click here to view our Standard Protocols |
发表文章
| Species | Application | Title |
|---|---|---|
ACS Nano Engineering Extracellular Vesicles Restore the Impaired Cellular Uptake and Attenuate Intervertebral Disc Degeneration. | ||
Sci Adv Caveolae promote successful abscission by controlling intercellular bridge tension during cytokinesis.
| ||
Dev Cell Caveolae sense oxidative stress through membrane lipid peroxidation and cytosolic release of CAVIN1 to regulate NRF2 | ||
Autophagy CAV1-CAVIN1-LC3B-mediated autophagy regulates high glucose-stimulated LDL transcytosis.
| ||
Proc Natl Acad Sci U S A Inducible Fgf13 ablation enhances caveolae-mediated cardioprotection during cardiac pressure overload. | ||
Theranostics PTRF/Cavin-1 enhances chemo-resistance and promotes temozolomide efflux through extracellular vesicles in glioblastoma. |






