验证数据展示
经过测试的应用
| Positive WB detected in | mouse colon tissue |
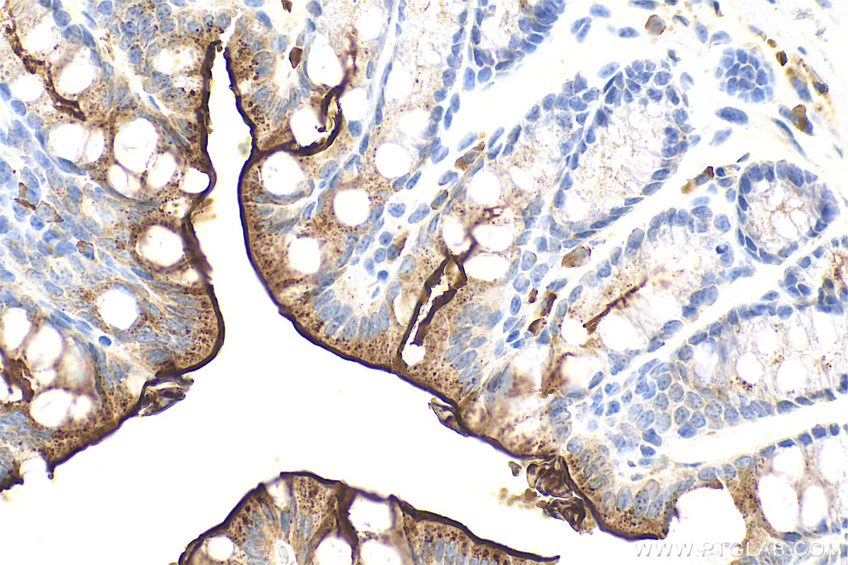
| Positive IHC detected in | mouse colon tissue Note: suggested antigen retrieval with TE buffer pH 9.0; (*) Alternatively, antigen retrieval may be performed with citrate buffer pH 6.0 |
推荐稀释比
| 应用 | 推荐稀释比 |
|---|---|
| Western Blot (WB) | WB : 1:5000-1:50000 |
| Immunohistochemistry (IHC) | IHC : 1:50-1:500 |
| It is recommended that this reagent should be titrated in each testing system to obtain optimal results. | |
| Sample-dependent, Check data in validation data gallery. | |
产品信息
33732-1-AP targets PTPRH in WB, IHC, ELISA applications and shows reactivity with mouse samples.
| 经测试应用 | WB, IHC, ELISA Application Description |
| 经测试反应性 | mouse |
| 免疫原 |
CatNo: Eg7386 Product name: Recombinant mouse PTPRH protein Source: mammalian cells-derived, V37 Tag: C-rFc Domain: 28-604 aa of NM_207270.2 Sequence: AGTSVTVDRHAPASSYEFSMWVEKDGVSSSPQIPVTTAAPNPVRNLRVEGQNNISISLSWEPPDQSSLQGLTYWTQCSRHGGQTETRNTTDTSVTVDGLDPGSSYECSVWVEKDGLYSKNETLNTSTAPNPVRNLRVEGQNNISISLSWEPPDQPSLQGLTYWAQCSRHGGQTETRNTADTSVTVDGLDPGSSYECSVWVEKDGVYSTNETLNTSTAPNPVRNLRVEGQNNISISLSWEPPDQPSLQGLTYWAQCSRHGGQTETRNTTDTSITVDGLDPGSSYECSVWVEKDGVYSTNETLSNTTAPNPVRNLRVKSQNNFSISLSWEPPDQPSLQGLIYWAQCSRHGGQTETRNTTDTSVTVDGLDPGFLYKCSVWVEKDGVYSTNETLNTSTVPISASNPVRNLRVEGQNNFSISLSWEPPDQSSLQGLTYWAQCSRHGGQTETRNTADTSVTVDGLDPGSSYECSVWVEKDGVYSTNETLNTSTVPAAVNITSCISTSGGYGVLLTWSCPSGGYESFEVKVGRKWRSENGSLCGKGVTVSDLEPAQSYTATVTTVFKDLKAQSLSTTCHTESAA 种属同源性预测 |
| 宿主/亚型 | Rabbit / IgG |
| 抗体类别 | Polyclonal |
| 产品类型 | Antibody |
| 全称 | protein tyrosine phosphatase, receptor type, H |
| 别名 | Receptor-type tyrosine-protein phosphatase H , R-PTP-H, SAP 1 |
| 计算分子量 | 107 kDa |
| 观测分子量 | 150-250 kDa |
| GenBank蛋白编号 | NM_207270.2 |
| 基因名称 | Ptprh |
| Gene ID (NCBI) | 545902 |
| RRID | AB_3743062 |
| 偶联类型 | Unconjugated |
| 形式 | Liquid |
| 纯化方式 | Antigen affinity Purification |
| UNIPROT ID | E9Q0N2 |
| 储存缓冲液 | PBS with 0.02% sodium azide and 50% glycerol, pH 7.3. |
| 储存条件 | Store at -20°C. Stable for one year after shipment. Aliquoting is unnecessary for -20oC storage. |
背景介绍
PTPRH, also known as SAP-1 (Stomach Cancer-Associated Protein-Tyrosine Phosphatase-1), is a member of the protein tyrosine phosphatase (PTP) family. These enzymes regulate cellular signaling by dephosphorylating tyrosine residues on proteins, counterbalancing kinase activity (PMID: 11278335). PTPRH is classified as a receptor-type PTP, characterized by an extracellular domain, a transmembrane region, and intracellular catalytic domains. In colorectal, gastric, and hepatocellular cancers, PTPRH is often upregulated and linked to poor prognosis (PMID: 12101188). Paradoxically, it may suppress tumorigenesis in other contexts by stabilizing cell adhesion. Overexpression in certain cancers suggests utility as a diagnostic or prognostic marker.
实验方案
| Product Specific Protocols | |
|---|---|
| IHC protocol for PTPRH antibody 33732-1-AP | Download protocol |
| WB protocol for PTPRH antibody 33732-1-AP | Download protocol |
| Standard Protocols | |
|---|---|
| Click here to view our Standard Protocols |


