验证数据展示
经过测试的应用
| Positive WB detected in | A431 cells, HL-60 cells, Jurkat cells, K-562 cells, Raji cells |
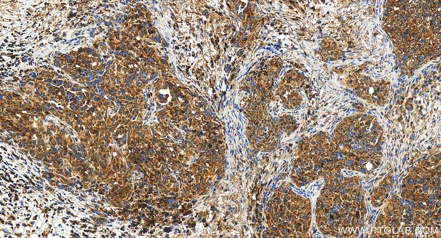
| Positive IHC detected in | human ovary cancer tissue Note: suggested antigen retrieval with TE buffer pH 9.0; (*) Alternatively, antigen retrieval may be performed with citrate buffer pH 6.0 |
推荐稀释比
| 应用 | 推荐稀释比 |
|---|---|
| Western Blot (WB) | WB : 1:1000-1:6000 |
| Immunohistochemistry (IHC) | IHC : 1:50-1:500 |
| It is recommended that this reagent should be titrated in each testing system to obtain optimal results. | |
| Sample-dependent, Check data in validation data gallery. | |
产品信息
24143-1-AP targets PTPN6 in WB, IHC, ELISA applications and shows reactivity with human samples.
| 经测试应用 | WB, IHC, ELISA Application Description |
| 经测试反应性 | human |
| 免疫原 |
CatNo: Ag21415 Product name: Recombinant human PTPN6 protein Source: e coli.-derived, PET28a Tag: 6*His Domain: 506-598 aa of BC002523 Sequence: QYKFIYVAIAQFIETTKKKLEVLQSQKGQESEYGNITYPPAMKNAHAKASRTSSKHKEDVYENLHTKNKREEKVKKQRSADKEKSKGSLKRK 种属同源性预测 |
| 宿主/亚型 | Rabbit / IgG |
| 抗体类别 | Polyclonal |
| 产品类型 | Antibody |
| 全称 | protein tyrosine phosphatase, non-receptor type 6 |
| 别名 | SHP1, Protein-tyrosine phosphatase 1C, HPTP1C, Hematopoietic cell protein-tyrosine phosphatase, HCPH |
| 计算分子量 | 597 aa, 68 kDa |
| 观测分子量 | 63 kDa |
| GenBank蛋白编号 | BC002523 |
| 基因名称 | PTPN6/SHP1 |
| Gene ID (NCBI) | 5777 |
| RRID | AB_3085725 |
| 偶联类型 | Unconjugated |
| 形式 | Liquid |
| 纯化方式 | Antigen Affinity purified |
| UNIPROT ID | P29350 |
| 储存缓冲液 | PBS with 0.02% sodium azide and 50% glycerol, pH 7.3. |
| 储存条件 | Store at -20°C. Stable for one year after shipment. Aliquoting is unnecessary for -20oC storage. |
实验方案
| Product Specific Protocols | |
|---|---|
| IHC protocol for PTPN6 antibody 24143-1-AP | Download protocol |
| WB protocol for PTPN6 antibody 24143-1-AP | Download protocol |
| Standard Protocols | |
|---|---|
| Click here to view our Standard Protocols |

