验证数据展示
经过测试的应用
| Positive WB detected in | mouse heart tissue, rat heart tissue | 
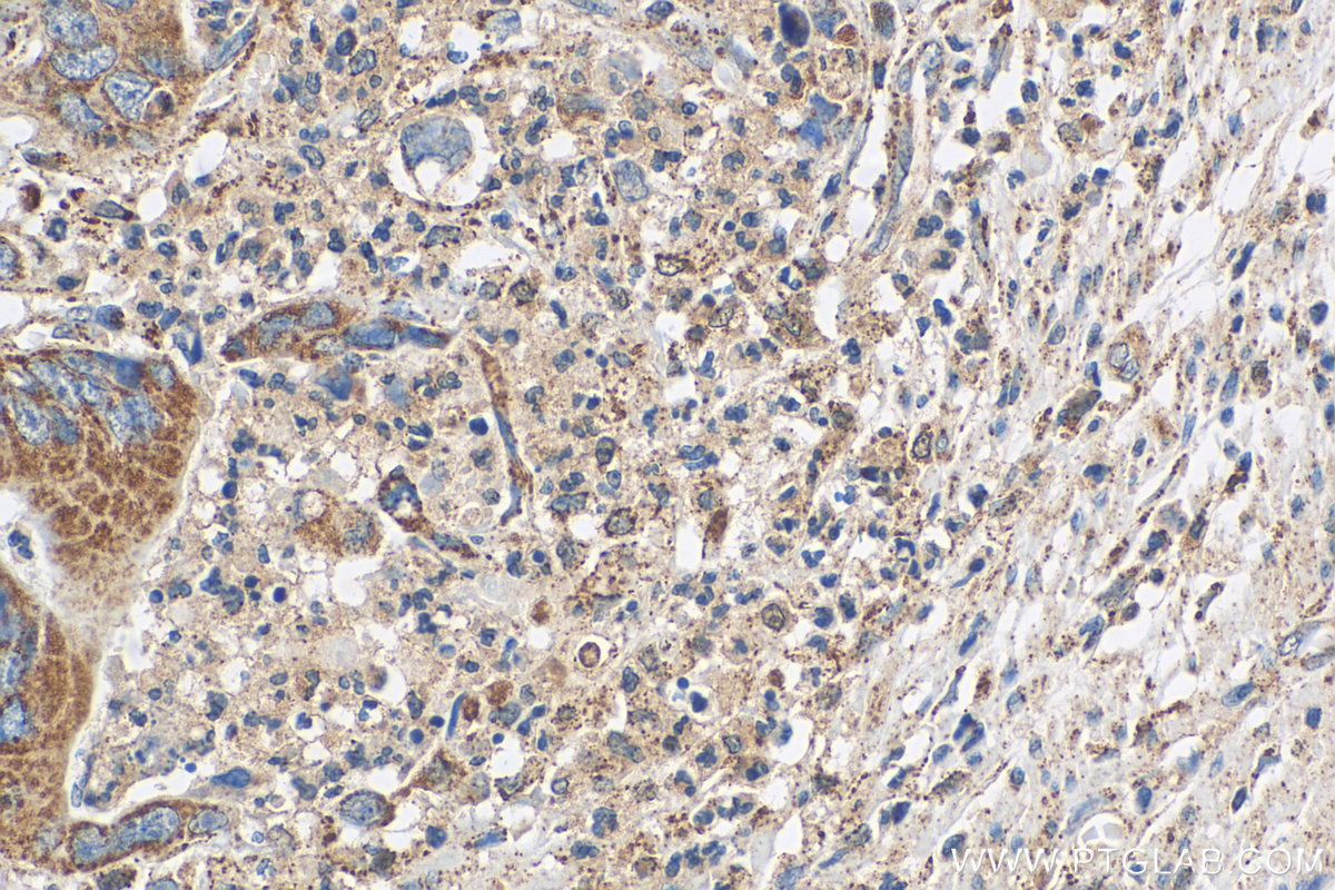
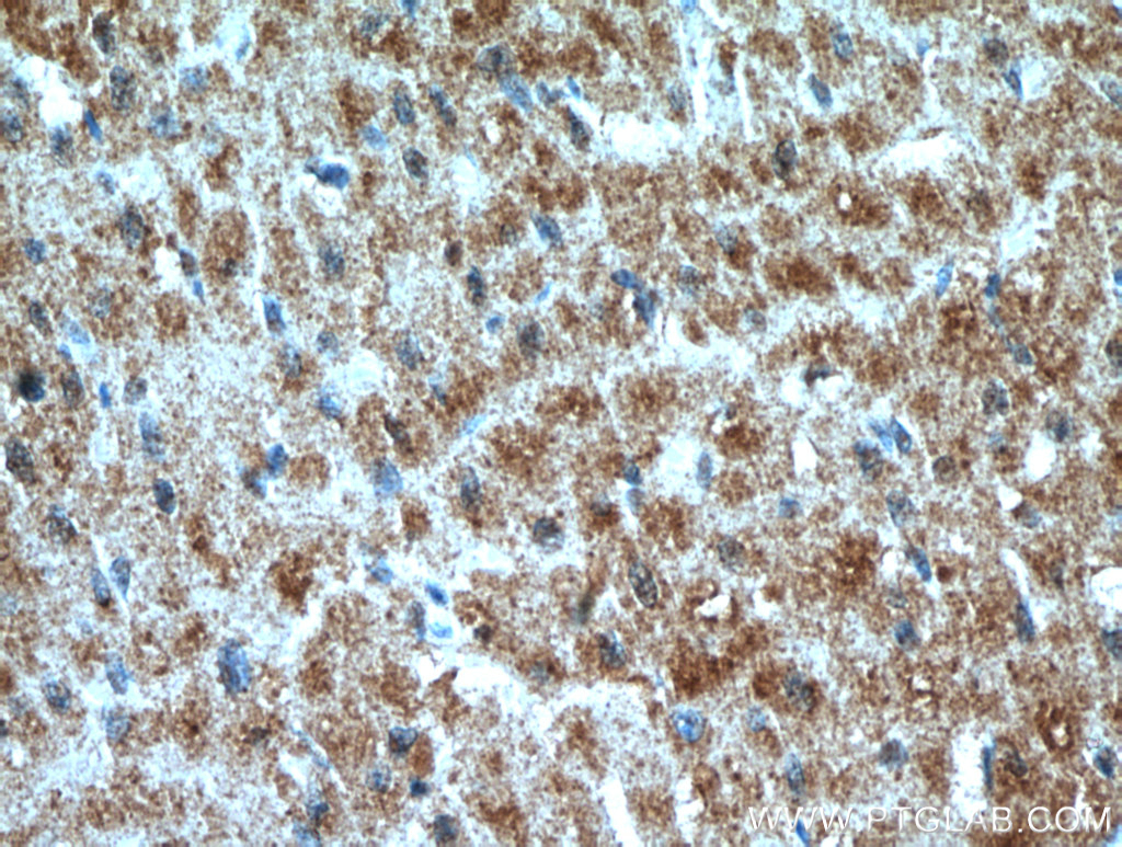
| Positive IHC detected in | human colon cancer tissue, human oesophagus cancer tissue,  human heart tissue Note: suggested antigen retrieval with TE buffer pH 9.0; (*) Alternatively, antigen retrieval may be performed with citrate buffer pH 6.0  | 
推荐稀释比
| 应用 | 推荐稀释比 | 
|---|---|
| Western Blot (WB) | WB : 1:1000-1:4000 | 
| Immunohistochemistry (IHC) | IHC : 1:250-1:1000 | 
| It is recommended that this reagent should be titrated in each testing system to obtain optimal results. | |
| Sample-dependent, Check data in validation data gallery. | |
发表文章中的应用
| IHC | See 3 publications below | 
| IF | See 1 publications below | 
产品信息
15186-1-AP targets PRL3 in IHC, IF, ELISA applications and shows reactivity with human, mouse, rat samples.
| 经测试应用 | IHC, ELISA Application Description | 
| 文献引用应用 | IHC, IF | 
| 经测试反应性 | human, mouse, rat | 
| 文献引用反应性 | human, mouse | 
| 免疫原 | 
                                             CatNo: Ag7249 Product name: Recombinant human PRL3 protein Source: e coli.-derived, PGEX-4T Tag: GST Domain: 1-148 aa of BC003105 Sequence: MARMNRPAPVEVSYKHMRFLITHNPTNATLSTFIEDLKKYGATTVVRVCEVTYDKTPLEKDGITVVDWPFDDGAPPPGKVVEDWLSLVKAKFCEAPGSCVAVHCVAGLGRKRRGAINSKQLTYLEKYRPKQRLRFKDPHTHKTRCCVM 种属同源性预测 | 
                                    
| 宿主/亚型 | Rabbit / IgG | 
| 抗体类别 | Polyclonal | 
| 产品类型 | Antibody | 
| 全称 | protein tyrosine phosphatase type IVA, member 3 | 
| 别名 | PTP4A3, Protein-tyrosine phosphatase 4a3, PRL-R, PRL-3, PRL R | 
| 计算分子量 | 20 kDa | 
| 观测分子量 | 20-28 kDa | 
| GenBank蛋白编号 | BC003105 | 
| 基因名称 | PTP4A3 | 
| Gene ID (NCBI) | 11156 | 
| RRID | AB_2878115 | 
| 偶联类型 | Unconjugated | 
| 形式 | Liquid | 
| 纯化方式 | Antigen affinity purification | 
| UNIPROT ID | O75365 | 
| 储存缓冲液 | PBS with 0.02% sodium azide and 50% glycerol, pH 7.3. | 
| 储存条件 | Store at -20°C. Stable for one year after shipment. Aliquoting is unnecessary for -20oC storage. | 
背景介绍
Phosphatase of regenerating liver-3 (PRL-3; also known as PTP4A3), encodes a 22-kDa protein that represents a novel class of a superfamily of protein tyrosine phosphatases (PTPs) that are ubiquitously expressed in various tumors. PRL3 was associated with primary tumor growth, tumor reoccurrence, and therapy resistance in many human cancers. This protein was also suggested as a marker to predict the relapse of gastric cancer and invasive breast cancer. (PMID: 22469786, PMID: 30157875)
实验方案
| Product Specific Protocols | |
|---|---|
| IHC protocol for PRL3 antibody 15186-1-AP | Download protocol | 
| WB protocol for PRL3 antibody 15186-1-AP | Download protocol | 
| Standard Protocols | |
|---|---|
| Click here to view our Standard Protocols | 
发表文章
| Species | Application | Title | 
|---|---|---|
J Pharmacol Exp Ther KVX-053, a Protein Tyrosine Phosphatase 4A3 inhibitor, ameliorates SARS-CoV-2 Spike protein subunit 1 - induced acute lung injury in mice | ||
Reprod Sci PRL-3 Is Involved in Estrogen- and IL-6-Induced Migration of Endometrial Stromal Cells From Ectopic Endometrium. | ||
Mol Cancer Super-enhancer-driven TOX2 mediates oncogenesis in Natural Killer/T Cell Lymphoma | ||
J Pharmacol Exp Ther KVX-053, a protein tyrosine phosphatase 4A3 inhibitor, ameliorates SARS-CoV-2 spike protein subunit 1-induced acute lung injury in mice | 











