验证数据展示
经过测试的应用
| Positive WB detected in | Jurkat cells, rat brain tissue, mouse brain tissue |
| Positive IP detected in | mouse brain tissue |
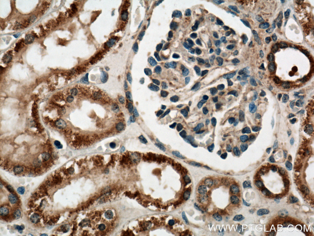
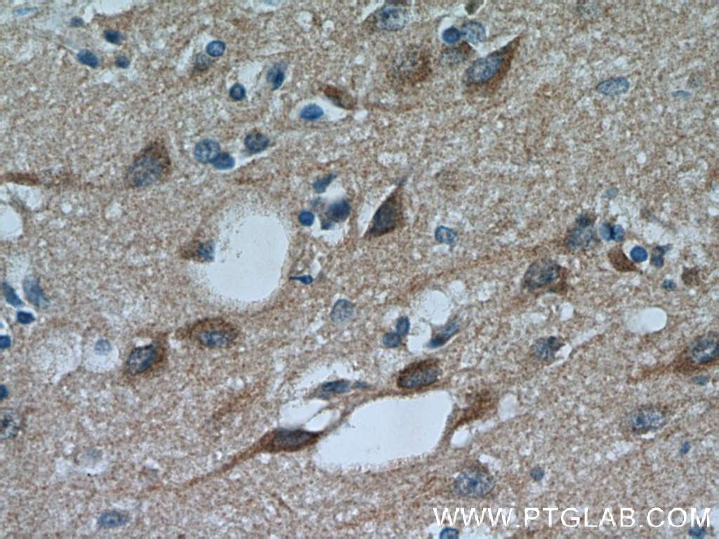
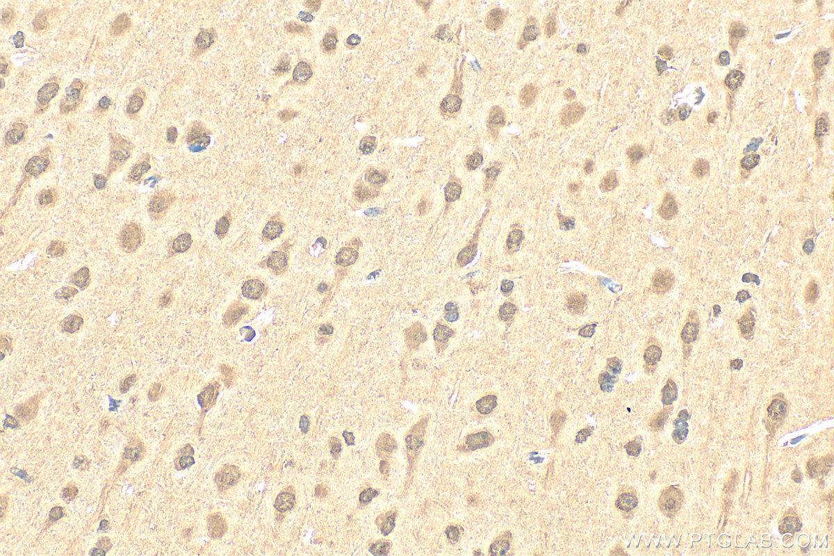
| Positive IHC detected in | human kidney tissue, human brain tissue, rat brain tissue Note: suggested antigen retrieval with TE buffer pH 9.0; (*) Alternatively, antigen retrieval may be performed with citrate buffer pH 6.0 |
| Positive IF/ICC detected in | Jurkat cells |
推荐稀释比
| 应用 | 推荐稀释比 |
|---|---|
| Western Blot (WB) | WB : 1:3000-1:10000 |
| Immunoprecipitation (IP) | IP : 0.5-4.0 ug for 1.0-3.0 mg of total protein lysate |
| Immunohistochemistry (IHC) | IHC : 1:50-1:500 |
| Immunofluorescence (IF)/ICC | IF/ICC : 1:50-1:500 |
| It is recommended that this reagent should be titrated in each testing system to obtain optimal results. | |
| Sample-dependent, Check data in validation data gallery. | |
产品信息
17592-1-AP targets PYK2 in WB, IHC, IF/ICC, IP, ELISA applications and shows reactivity with human, mouse, rat samples.
| 经测试应用 | WB, IHC, IF/ICC, IP, ELISA Application Description |
| 文献引用应用 | WB, IHC, IF, IP |
| 经测试反应性 | human, mouse, rat |
| 文献引用反应性 | human, mouse |
| 免疫原 |
CatNo: Ag11487 Product name: Recombinant human PTK2B protein Source: e coli.-derived, PET28a Tag: 6*His Domain: 646-1009 aa of BC042599 Sequence: KPDLCPPVLYTLMTRCWDYDPSDRPRFTELVCSLSDVYQMEKDIAMEQERNARYRTPKILEPTAFQEPPPKPSRPKYRPPPQTNLLAPKLQFQVPEGLCASSPTLTSPMEYPSPVNSLHTPPLHRHNVFKRHSMREEDFIQPSSREEAQQLWEAEKVKMRQILDKQQKQMVEDYQWLRQEEKSLDPMVYMNDKSPLTPEKEVGYLEFTGPPQKPPRLGAQSIQPTANLDRTDDLVYLNVMELVRAVLELKNELCQLPPEGYVVVVKNVGLTLRKLIGSVDDLLPSLPSSSRTEIEGTQKLLNKDLAELINKMRLAQQNAVTSLSEECKRQMLTASHTLAVDAKNLLDAVDQAKVLANLAHPPAE 种属同源性预测 |
| 宿主/亚型 | Rabbit / IgG |
| 抗体类别 | Polyclonal |
| 产品类型 | Antibody |
| 全称 | PTK2B protein tyrosine kinase 2 beta |
| 别名 | PTK2B, CADTK, CAK beta, CAKB, CAK-beta |
| 计算分子量 | 1009 aa, 116 kDa |
| 观测分子量 | 112-115 kDa |
| GenBank蛋白编号 | BC042599 |
| 基因名称 | PTK2B |
| Gene ID (NCBI) | 2185 |
| RRID | AB_10644483 |
| 偶联类型 | Unconjugated |
| 形式 | Liquid |
| 纯化方式 | Antigen affinity purification |
| UNIPROT ID | Q14289 |
| 储存缓冲液 | PBS with 0.02% sodium azide and 50% glycerol, pH 7.3. |
| 储存条件 | Store at -20°C. Stable for one year after shipment. Aliquoting is unnecessary for -20oC storage. |
背景介绍
Proline-rich tyrosine kinase 2 (Pyk2; also known as CAK, RAFTK and CADTK) is a cytoplasmic tyrosine kinase implicated to play a role in several intracellular signaling pathways. It is expressed in many cells and tissues and migrated as a 130 kDa band in Western Blotting analysis. The size of PYK2 is 115 kDa, and it expressed in many cells and tissues and migrated as a 130 kDa band, but several lower molecular weight bands (75 kDa, 80 kDa, and 97 kDa) were seen in Western Blotting analysis, possibly due to proteolytic degradation.
实验方案
| Product Specific Protocols | |
|---|---|
| IF protocol for PYK2 antibody 17592-1-AP | Download protocol |
| IHC protocol for PYK2 antibody 17592-1-AP | Download protocol |
| IP protocol for PYK2 antibody 17592-1-AP | Download protocol |
| WB protocol for PYK2 antibody 17592-1-AP | Download protocol |
| Standard Protocols | |
|---|---|
| Click here to view our Standard Protocols |
发表文章
| Species | Application | Title |
|---|---|---|
Int J Cancer Plant galactolipid dLGG suppresses lung metastasis of melanoma through deregulating TNF-α-mediated pulmonary vascular permeability and circulating oxylipin dynamics in mice. | ||
Mucosal Immunol ADP/P2Y1 aggravates inflammatory bowel disease through ERK5-mediated NLRP3 inflammasome activation. | ||
Cancer Cell Int Inhibiting Pyk2/Src expression by miR-23b-3p suppressed liver cancer stem cell function and hepatic carcinoma progression | ||
EBioMedicine Biallelic mutations in LAMA5 disrupts a skeletal noncanonical focal adhesion pathway and produces a distinct bent bone dysplasia. | ||
Cell Signal Identification of NCK1 as a novel downstream effector of STAT3 in colorectal cancer metastasis and angiogenesis. | ||
Stem Cell Rev Rep A Novel Splicing Mutation c.335-1 G > A in the Cardiac Transcription Factor NKX2-5 Leads to Familial Atrial Septal Defect Through miR-19 and PYK2. |










