验证数据展示
经过测试的应用
| Positive WB detected in | A431 cells, Neuro-2a cells, HeLa cells, THP-1 cells, C2C12 cells |
| Positive IP detected in | HeLa cells |
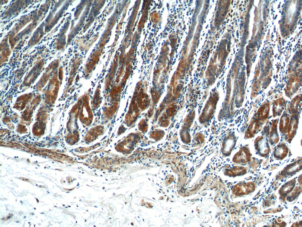
| Positive IHC detected in | human stomach tissue Note: suggested antigen retrieval with TE buffer pH 9.0; (*) Alternatively, antigen retrieval may be performed with citrate buffer pH 6.0 |
推荐稀释比
| 应用 | 推荐稀释比 |
|---|---|
| Western Blot (WB) | WB : 1:1000-1:8000 |
| Immunoprecipitation (IP) | IP : 0.5-4.0 ug for 1.0-3.0 mg of total protein lysate |
| Immunohistochemistry (IHC) | IHC : 1:500-1:2000 |
| It is recommended that this reagent should be titrated in each testing system to obtain optimal results. | |
| Sample-dependent, Check data in validation data gallery. | |
产品信息
13393-1-AP targets COX-1/Cyclooxygenase-1 in WB, IHC, IF, IP, ELISA applications and shows reactivity with human, mouse, rat samples.
| 经测试应用 | WB, IHC, IP, ELISA Application Description |
| 文献引用应用 | WB, IHC, IF |
| 经测试反应性 | human, mouse, rat |
| 文献引用反应性 | human, mouse, rat, pig, goat |
| 免疫原 |
CatNo: Ag4055 Product name: Recombinant human PTGS1 protein Source: e coli.-derived, PGEX-4T Tag: GST Domain: 250-599 aa of BC029840 Sequence: KLKYQVLDGEMYPPSVEEAPVLMHYPRGIPPQSQMAVGQEVFGLLPGLMLYATLWLREHNRVCDLLKAEHPTWGDEQLFQTTRLILIGETIKIVIEEYVQQLSGYFLQLKFDPELLFGVQFQYRNRIAMEFNHLYHWHPLMPDSFKVGSQEYSYEQFLFNTSMLVDYGVEALVDAFSRQIAGRIGGGRNMDHHILHVAVDVIRESREMRLQPFNEYRKRFGMKPYTSFQELVGEKEMAAELEELYGDIDALEFYPGLLLEKCHPNSIFGESMIEIGAPFSLKGLLGNPICSPEYWKPSTFGGEVGFNIVKTATLKKLVCLNTKTCPYVSFRVPDASQDDGPAVERPSTEL 种属同源性预测 |
| 宿主/亚型 | Rabbit / IgG |
| 抗体类别 | Polyclonal |
| 产品类型 | Antibody |
| 全称 | prostaglandin-endoperoxide synthase 1 (prostaglandin G/H synthase and cyclooxygenase) |
| 别名 | PGH1, PTGS1, COX1, Cyclooxygenase-1, EC:1.14.99.1 |
| 计算分子量 | 599 aa, 69 kDa |
| 观测分子量 | 60-72 kDa |
| GenBank蛋白编号 | BC029840 |
| 基因名称 | PTGS1 |
| Gene ID (NCBI) | 5742 |
| RRID | AB_10644323 |
| 偶联类型 | Unconjugated |
| 形式 | Liquid |
| 纯化方式 | Antigen affinity purification |
| UNIPROT ID | P23219 |
| 储存缓冲液 | PBS with 0.02% sodium azide and 50% glycerol, pH 7.3. |
| 储存条件 | Store at -20°C. Stable for one year after shipment. Aliquoting is unnecessary for -20oC storage. |
背景介绍
PTGS1(Prostaglandin G/H synthase 1) belongs to the prostaglandin G/H synthase family and catalyzes the conversion of arachidonic acid to prostaglandin H2, which is subsequently metabolized to various biologically active prostaglandins. It is also named as COX1(Cyclooxygenase-1). There is no PTGS1 expression in fetal samples (prostate, seminal vesicles, or ejaculatory ducts), and only minimal expression in adult tissues (PMID: 10999846). PTGS1 has some isoforms with MW of 56-72 kD and PTGS1 can form homodimer.
实验方案
| Product Specific Protocols | |
|---|---|
| IHC protocol for COX-1/Cyclooxygenase-1 antibody 13393-1-AP | Download protocol |
| IP protocol for COX-1/Cyclooxygenase-1 antibody 13393-1-AP | Download protocol |
| WB protocol for COX-1/Cyclooxygenase-1 antibody 13393-1-AP | Download protocol |
| Standard Protocols | |
|---|---|
| Click here to view our Standard Protocols |
发表文章
| Species | Application | Title |
|---|---|---|
Acta Pharm Sin B Organic carbon monoxide prodrug, BW-CO-111, in protection against chemically-induced gastric mucosal damage. | ||
Small M2 Macrophage Membrane-Mediated Biomimetic-Nanoparticle Carrying COX-siRNA Targeted Delivery for Prevention of Tendon Adhesions by Inhibiting Inflammation | ||
Elife Hepatic AMPK signaling dynamic activation in response to REDOX balance are sentinel biomarkers of exercise and antioxidant intervention to improve blood glucose control | ||
Free Radic Biol Med PET117 assembly factor stabilizes translation activator TACO1 thereby upregulates mitochondria-encoded cytochrome C oxidase 1 synthesis | ||
Ecotoxicol Environ Saf Exposure to nicotine regulates prostaglandin E2 secretion and autophagy of granulosa cells to retard follicular maturation in mammals |






