验证数据展示
经过测试的应用
| Positive WB detected in | HeLa cells, mouse heart tissue, HepG2 cells, HEK-293 cells, Jurkat cells, rat heart tissue, pig heart tissue |
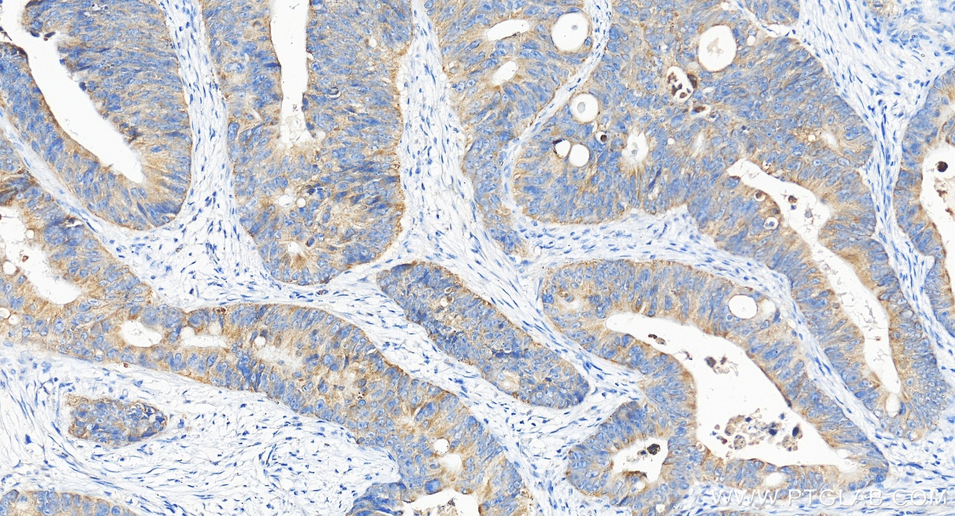
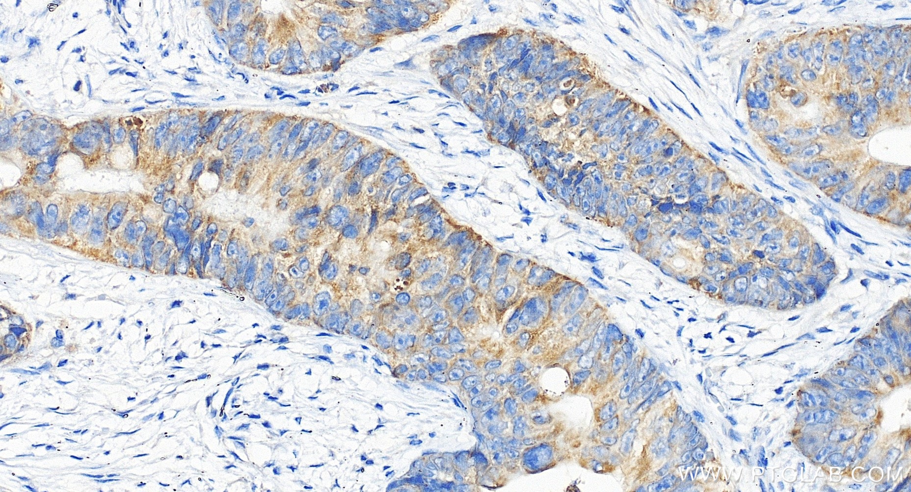
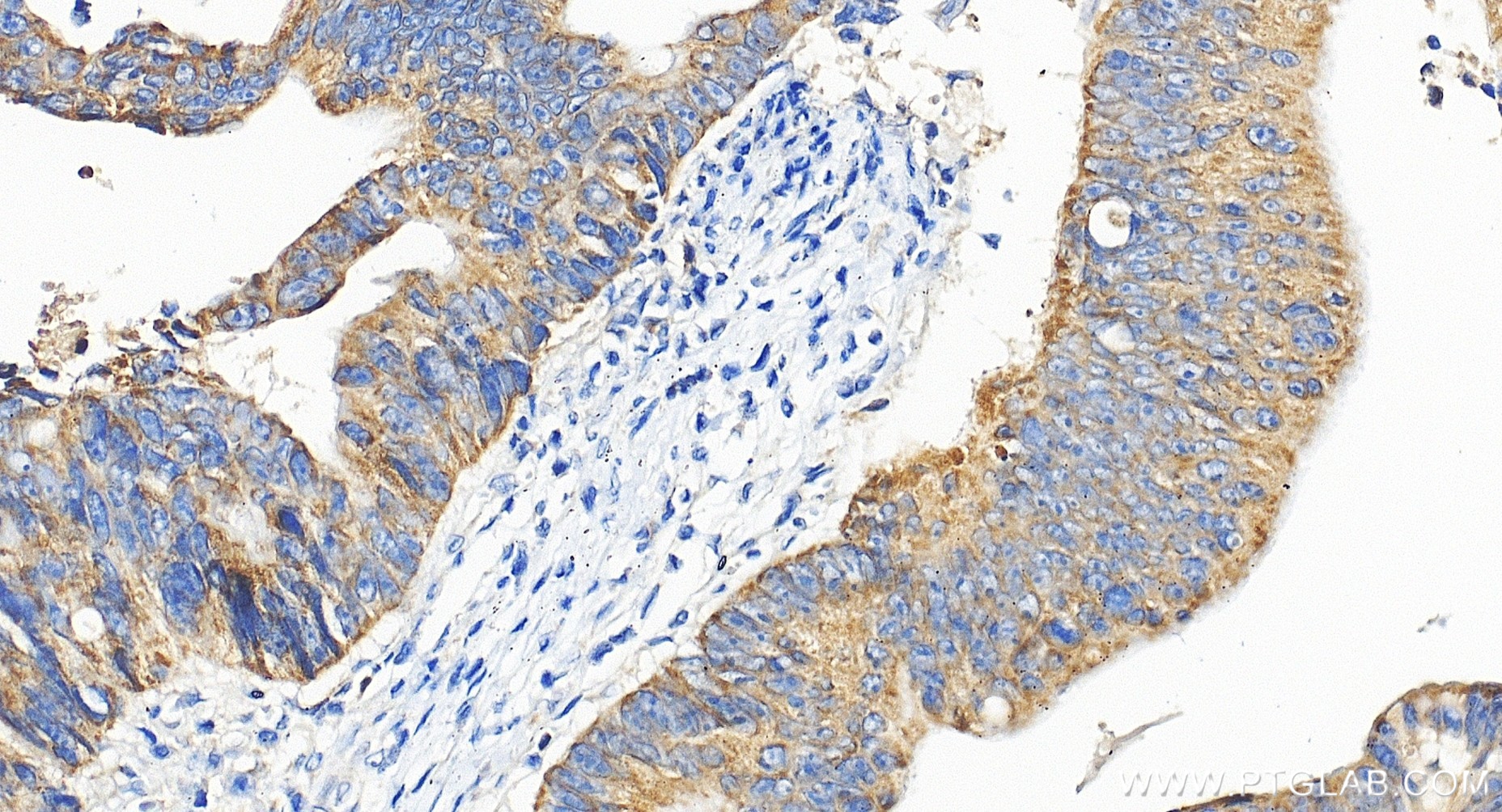
| Positive IHC detected in | human colon cancer tissue Note: suggested antigen retrieval with TE buffer pH 9.0; (*) Alternatively, antigen retrieval may be performed with citrate buffer pH 6.0 |
| Positive IF/ICC detected in | HepG2 cells, HeLa cells |
推荐稀释比
| 应用 | 推荐稀释比 |
|---|---|
| Western Blot (WB) | WB : 1:5000-1:50000 |
| Immunohistochemistry (IHC) | IHC : 1:50-1:500 |
| Immunofluorescence (IF)/ICC | IF/ICC : 1:50-1:500 |
| It is recommended that this reagent should be titrated in each testing system to obtain optimal results. | |
| Sample-dependent, Check data in validation data gallery. | |
产品信息
85419-4-RR targets PTGES2 in WB, IHC, IF/ICC, ELISA applications and shows reactivity with human, mouse, rat, pig samples.
| 经测试应用 | WB, IHC, IF/ICC, ELISA Application Description |
| 经测试反应性 | human, mouse, rat, pig |
| 免疫原 |
CatNo: Ag1329 Product name: Recombinant human PTGES2 protein Source: e coli.-derived, PGEX-4T Tag: GST Domain: 1-377 aa of BC011613 Sequence: MDPAARVVRALWPGGCALAWRLGGRPQPLLPTQSRAGFAGAAGGPSPVAAARKGSPRLLGAAALALGGALGLYHTARWHLRAQDLHAERSAAQLSLSSRLQLTLYQYKTCPFCSKVRAFLDFHALPYQVVEVNPVRRAEIKFSSYRKVPILVAQEGESSQQLNDSSVIISALKTYLVSGQPLEEIITYYPAMKAVNEQGKEVTEFGNKYWLMLNEKEAQQVYGGKEARTEEMKWRQWADDWLVHLISPNVYRTPTEALASFDYIVREGKFGAVEGAVAKYMGAAAMYLISKRLKSRHRLQDNVREDLYEAADKWVAAVGKDRPFMGGQKPNLADLAVYGVLRVMEGLDAFDDLMQHTHIQPWYLRVERAITEASPAH 种属同源性预测 |
| 宿主/亚型 | Rabbit / IgG |
| 抗体类别 | Recombinant |
| 产品类型 | Antibody |
| 全称 | prostaglandin E synthase 2 |
| 别名 | 242930B4, C9orf15, EC:5.3.99.3, GBF1, Membrane-associated prostaglandin E synthase-2 |
| 计算分子量 | 42 kDa |
| 观测分子量 | 30-35 kDa |
| GenBank蛋白编号 | BC011613 |
| 基因名称 | PTGES2 |
| Gene ID (NCBI) | 80142 |
| 偶联类型 | Unconjugated |
| 形式 | Liquid |
| 纯化方式 | Protein A purification |
| UNIPROT ID | Q9H7Z7 |
| 储存缓冲液 | PBS with 0.02% sodium azide and 50% glycerol, pH 7.3. |
| 储存条件 | Store at -20°C. Stable for one year after shipment. Aliquoting is unnecessary for -20oC storage. |
背景介绍
PTGES2 (Prostaglandin E synthase 2) catalyzes the conversion of unstable intermediate of prostaglandin E2 H2 (PGH2) into the more stable prostaglandin E2 (PGE2) form. Its predicted size is 42 kDa, but it was detected one band of 35 kDa in the prostate and two bands of 30 kDa, 50 kDa in liver by western blot (PMID:17566096). PTGES2 protein is a homotetramer, whereas two PTGES2 molecules each form a strongly interacting dimer(PMID:19268562).
实验方案
| Product Specific Protocols | |
|---|---|
| IF protocol for PTGES2 antibody 85419-4-RR | Download protocol |
| IHC protocol for PTGES2 antibody 85419-4-RR | Download protocol |
| WB protocol for PTGES2 antibody 85419-4-RR | Download protocol |
| Standard Protocols | |
|---|---|
| Click here to view our Standard Protocols |







