验证数据展示
经过测试的应用
| Positive WB detected in | HCT 116 cells, SMMC-7721 cells, HepG2 cells, HuH-7 cells, mouse liver tissue, NIH/3T3 cells, HSC-T6 cells, K-562 cells, Jurkat cells, HEK-293 cells, HeLa cells, L02 cells, A549 cells, Calu-3 cells, rat liver tissue, rabbit liver tissue, pig liver, chicken liver |
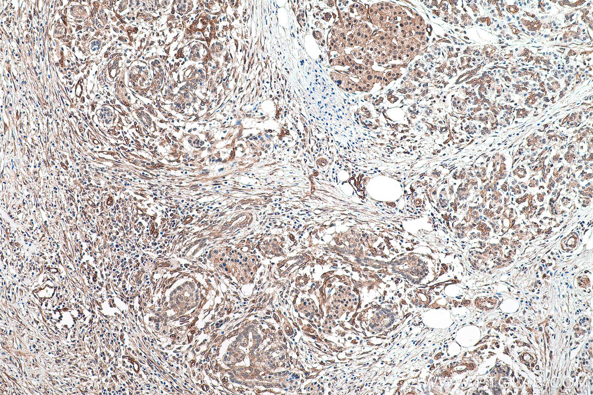
| Positive IHC detected in | human pancreas cancer tissue, human lung cancer tissue Note: suggested antigen retrieval with TE buffer pH 9.0; (*) Alternatively, antigen retrieval may be performed with citrate buffer pH 6.0 |
| Positive IF/ICC detected in | HepG2 cells |
推荐稀释比
| 应用 | 推荐稀释比 |
|---|---|
| Western Blot (WB) | WB : 1:5000-1:50000 |
| Immunohistochemistry (IHC) | IHC : 1:2000-1:8000 |
| Immunofluorescence (IF)/ICC | IF/ICC : 1:400-1:1600 |
| It is recommended that this reagent should be titrated in each testing system to obtain optimal results. | |
| Sample-dependent, Check data in validation data gallery. | |
产品信息
67807-1-Ig targets PSMD13 in WB, IHC, IF/ICC, ELISA applications and shows reactivity with Human, mouse, rat, rabbit, pig, chicken samples.
| 经测试应用 | WB, IHC, IF/ICC, ELISA Application Description |
| 经测试反应性 | Human, mouse, rat, rabbit, pig, chicken |
| 免疫原 |
CatNo: Ag7857 Product name: Recombinant human PSMD13 protein Source: e coli.-derived, PET28a Tag: 6*His Domain: 1-376 aa of BC001100 Sequence: MKDVPGFLQQSQSSGPGQPAVWHRLEELYTKKLWHQLTLQVLDFVQDPCFAQGDGLIKLYENFISEFEHRVNPLSLVEIILHVVRQMTDPNVALTFLEKTREKVKSSDEAVILCKTAIGALKLNIGDLQVTKETIEDVEEMLNNLPGVTSVHSRFYDLSSKYYQTIGNHASYYKDALRFLGCVDIKDLPVSEQQERAFTLGLAGLLGEGVFNFGELLMHPVLESLRNTDRQWLIDTLYAFNSGNVERFQTLKTAWGQQPDLAANEAQLLRKIQLLCLMEMTFTRPANHRQLTFEEIAKSAKITVNEVELLVMKALSVGLVKGSIDEVDKRVHMTWVQPRVLDLQQIKGMKDRLEFWCTDVKSMEMLVEHQAHDILT 种属同源性预测 |
| 宿主/亚型 | Mouse / IgG1 |
| 抗体类别 | Monoclonal |
| 产品类型 | Antibody |
| 全称 | proteasome (prosome, macropain) 26S subunit, non-ATPase, 13 |
| 别名 | HSPC027, p40.5, PSMD13, Rpn9, S11 |
| 计算分子量 | 43 kDa |
| 观测分子量 | 43 kDa |
| GenBank蛋白编号 | BC001100 |
| 基因名称 | PSMD13 |
| Gene ID (NCBI) | 5719 |
| RRID | AB_2918570 |
| 偶联类型 | Unconjugated |
| 形式 | Liquid |
| 纯化方式 | Protein G purification |
| UNIPROT ID | Q9UNM6 |
| 储存缓冲液 | PBS with 0.02% sodium azide and 50% glycerol, pH 7.3. |
| 储存条件 | Store at -20°C. Stable for one year after shipment. Aliquoting is unnecessary for -20oC storage. |
实验方案
| Product Specific Protocols | |
|---|---|
| IF protocol for PSMD13 antibody 67807-1-Ig | Download protocol |
| IHC protocol for PSMD13 antibody 67807-1-Ig | Download protocol |
| WB protocol for PSMD13 antibody 67807-1-Ig | Download protocol |
| Standard Protocols | |
|---|---|
| Click here to view our Standard Protocols |










