验证数据展示
经过测试的应用
| Positive WB detected in | Jurkat cells, K-562 cells, THP-1 cells, U-937 cells |
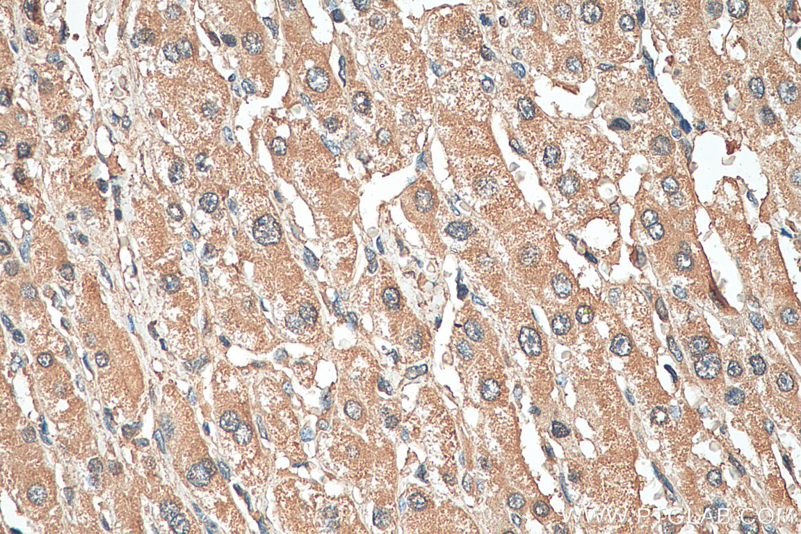
| Positive IHC detected in | human liver cancer tissue Note: suggested antigen retrieval with TE buffer pH 9.0; (*) Alternatively, antigen retrieval may be performed with citrate buffer pH 6.0 |
| Positive IF/ICC detected in | U2OS cells |
| Positive FC (Intra) detected in | Jurkat cells |
推荐稀释比
| 应用 | 推荐稀释比 |
|---|---|
| Western Blot (WB) | WB : 1:5000-1:50000 |
| Immunohistochemistry (IHC) | IHC : 1:250-1:1000 |
| Immunofluorescence (IF)/ICC | IF/ICC : 1:400-1:1600 |
| Flow Cytometry (FC) (INTRA) | FC (INTRA) : 0.25 ug per 10^6 cells in a 100 µl suspension |
| It is recommended that this reagent should be titrated in each testing system to obtain optimal results. | |
| Sample-dependent, Check data in validation data gallery. | |
产品信息
67847-1-Ig targets PSMB1 in WB, IHC, IF/ICC, FC (Intra), ELISA applications and shows reactivity with human samples.
| 经测试应用 | WB, IHC, IF/ICC, FC (Intra), ELISA Application Description |
| 经测试反应性 | human |
| 免疫原 |
CatNo: Ag30791 Product name: Recombinant human PSMB1 protein Source: e coli.-derived, PET28a Tag: 6*His Domain: 1-241 aa of BC020807 Sequence: MLSSTAMYSAPGRDLGMEPHRAAGPLQLRFSPYVFNGGTILAIAGEDFAIVASDTRLSEGFSIHTRDSPKCYKLTDKTVIGCSGFHGDCLTLTKIIEARLKMYKHSNNKAMTTGAIAAMLSTILYSRRFFPYYVYNIIGGLDEEGKGAVYSFDPVGSYQRDSFKAGGSASAMLQPLLDNQVGFKNMQNVEHVPLSLDRAMRLVKDVFISAAERDVYTGDALRICIVTKEGIREETVSLRKD 种属同源性预测 |
| 宿主/亚型 | Mouse / IgG1 |
| 抗体类别 | Monoclonal |
| 产品类型 | Antibody |
| 全称 | proteasome (prosome, macropain) subunit, beta type, 1 |
| 别名 | 1C7C5, FLJ25321, HC5, KIAA1838, Macropain subunit C5 |
| 计算分子量 | 241 aa, 26 kDa |
| 观测分子量 | 25 kDa |
| GenBank蛋白编号 | BC020807 |
| 基因名称 | PSMB1 |
| Gene ID (NCBI) | 5689 |
| RRID | AB_2918609 |
| 偶联类型 | Unconjugated |
| 形式 | Liquid |
| 纯化方式 | Protein G purification |
| UNIPROT ID | P20618 |
| 储存缓冲液 | PBS with 0.02% sodium azide and 50% glycerol, pH 7.3. |
| 储存条件 | Store at -20°C. Stable for one year after shipment. Aliquoting is unnecessary for -20oC storage. |
背景介绍
PSMB1(Proteasome subunit beta type-1) is also named as PSC5 and belongs to the peptidase T1B family. The proteasome is a multicatalytic proteinase complex which is characterized by its ability to cleave peptides with Arg, Phe, Tyr, Leu, and Glu adjacent to the leaving group at neutral or slightly basic pH. The gene encodes a 241 amino acid protein with a 28 amino acid propeptide and two glycosylation sites.
实验方案
| Product Specific Protocols | |
|---|---|
| FC protocol for PSMB1 antibody 67847-1-Ig | Download protocol |
| IF protocol for PSMB1 antibody 67847-1-Ig | Download protocol |
| IHC protocol for PSMB1 antibody 67847-1-Ig | Download protocol |
| WB protocol for PSMB1 antibody 67847-1-Ig | Download protocol |
| Standard Protocols | |
|---|---|
| Click here to view our Standard Protocols |




