验证数据展示
经过测试的应用
| Positive WB detected in | A549 cells, HEK-293 cells, HepG2 cells, Jurkat cells, MCF-7 cells, Neuro-2a cells |
| Positive IP detected in | HEK-293 cells |
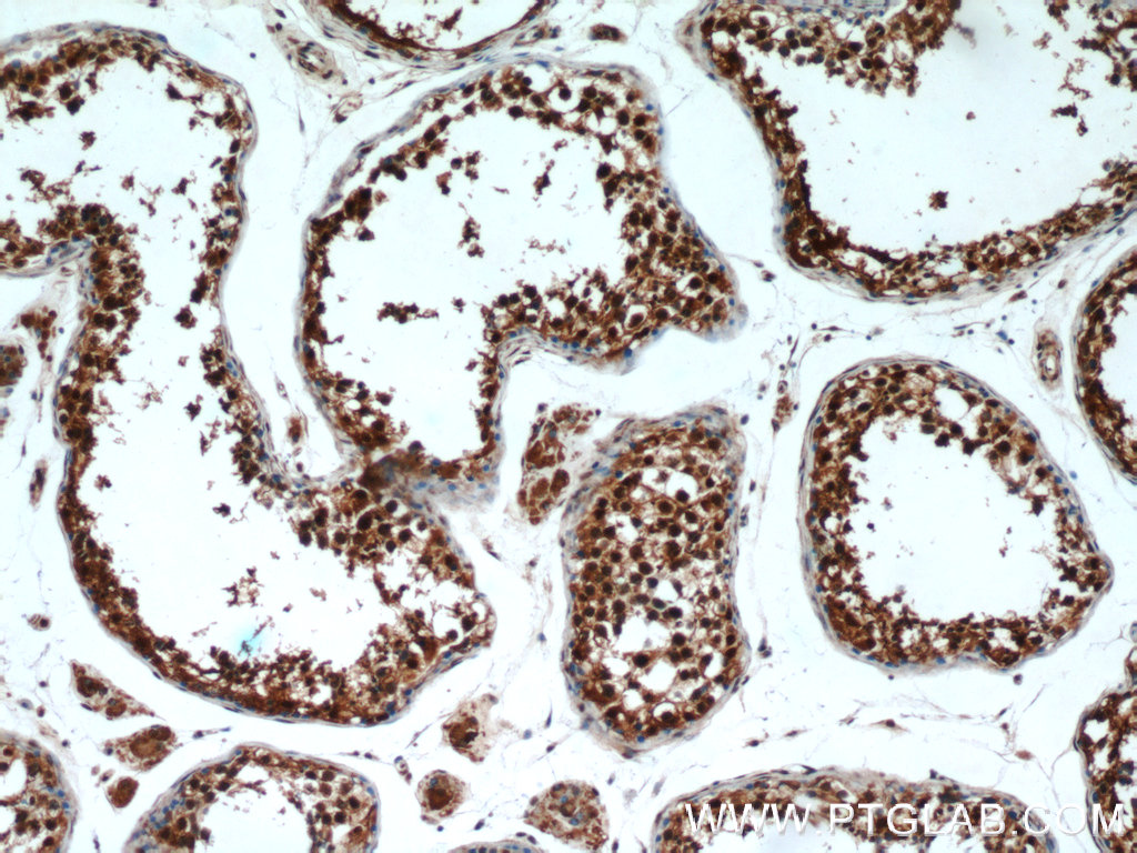
| Positive IHC detected in | human thyroid cancer tissue, human lung cancer tissue, human testis tissue, mouse brain tissue, mouse colon tissue, mouse testis tissue, rat small intestine tissue, rat testis tissue Note: suggested antigen retrieval with TE buffer pH 9.0; (*) Alternatively, antigen retrieval may be performed with citrate buffer pH 6.0 |
| Positive IF/ICC detected in | HeLa cells, MCF-7 cells, HepG2 cells |
| Positive FC (Intra) detected in | HepG2 cells |
推荐稀释比
| 应用 | 推荐稀释比 |
|---|---|
| Western Blot (WB) | WB : 1:500-1:3000 |
| Immunoprecipitation (IP) | IP : 0.5-4.0 ug for 1.0-3.0 mg of total protein lysate |
| Immunohistochemistry (IHC) | IHC : 1:500-1:2000 |
| Immunofluorescence (IF)/ICC | IF/ICC : 1:50-1:500 |
| Flow Cytometry (FC) (INTRA) | FC (INTRA) : 0.20 ug per 10^6 cells in a 100 µl suspension |
| It is recommended that this reagent should be titrated in each testing system to obtain optimal results. | |
| Sample-dependent, Check data in validation data gallery. | |
产品信息
11573-1-AP targets PSMA6 in WB, IHC, IF/ICC, FC (Intra), IP, ELISA applications and shows reactivity with human, mouse, rat samples.
| 经测试应用 | WB, IHC, IF/ICC, FC (Intra), IP, ELISA Application Description |
| 文献引用应用 | WB, IHC, IF |
| 经测试反应性 | human, mouse, rat |
| 文献引用反应性 | human, oyster |
| 免疫原 |
CatNo: Ag2154 Product name: Recombinant human PSMA6 protein Source: e coli.-derived, PGEX-4T Tag: GST Domain: 1-246 aa of BC023659 Sequence: MSRGSSAGFDRHITIFSPEGRLYQVEYAFKAINQGGLTSVAVRGKDCAVIVTQKKVPDKLLDSSTVTHLFKITENIGCVMTGMTADSRSQVQRARYEAANWKYKYGYEIPVDMLCKRIADISQVYTQNAEMRPLGCCMILIGIDEEQGPQVYKCDPAGYYCGFKATAAGVKQTESTSFLEKKVKKKFDWTFEQTVETAITCLSTVLSIDFKPSEIEVGVVTVENPKFRILTEAEIDAHLVALAERD 种属同源性预测 |
| 宿主/亚型 | Rabbit / IgG |
| 抗体类别 | Polyclonal |
| 产品类型 | Antibody |
| 全称 | proteasome (prosome, macropain) subunit, alpha type, 6 |
| 别名 | IOTA, p27K, PROS 27, PROS27, PROS-27 |
| 计算分子量 | 246 aa, 27 kDa |
| 观测分子量 | 27-29 kDa |
| GenBank蛋白编号 | BC023659 |
| 基因名称 | PSMA6 |
| Gene ID (NCBI) | 5687 |
| RRID | AB_2171742 |
| 偶联类型 | Unconjugated |
| 形式 | Liquid |
| 纯化方式 | Antigen affinity purification |
| UNIPROT ID | P60900 |
| 储存缓冲液 | PBS with 0.02% sodium azide and 50% glycerol, pH 7.3. |
| 储存条件 | Store at -20°C. Stable for one year after shipment. Aliquoting is unnecessary for -20oC storage. |
背景介绍
PSMA6(Proteasome subunit alpha type-6) is also named as PROS27 and belongs to the peptidase T1A family.The proteasome is a multicatalytic proteinase complex which is characterized by its ability to cleave peptides with Arg, Phe, Tyr, Leu, and Glu adjacent to the leaving group at neutral or slightly basic pH.It also has an ATP-dependent proteolytic activity.
实验方案
| Product Specific Protocols | |
|---|---|
| FC protocol for PSMA6 antibody 11573-1-AP | Download protocol |
| IF protocol for PSMA6 antibody 11573-1-AP | Download protocol |
| IHC protocol for PSMA6 antibody 11573-1-AP | Download protocol |
| IP protocol for PSMA6 antibody 11573-1-AP | Download protocol |
| WB protocol for PSMA6 antibody 11573-1-AP | Download protocol |
| Standard Protocols | |
|---|---|
| Click here to view our Standard Protocols |
发表文章
| Species | Application | Title |
|---|---|---|
Small Inherent Capability of Self-Assembling Nanostructures in Specific Proteasome Activation for Cancer Cell Pyroptosis | ||
Proteomics A comparative proteomic analysis reveals important proteins for the fertilization and early embryonic development of the oyster Crassostrea gigas. | ||
Fish Shellfish Immunol Mucous cell histopathology and label-free quantitative proteomic analysis of skin mucus in fat greenling (Hexagrammos otakii) infected with Vibrio harveyi | ||
PLoS Genet Nuclear p62/SQSTM1 facilitates ubiquitin-independent proteasomal degradation of BMAL1 | ||
Int J Med Sci Integrative analysis of the PSMA family identifies PSMA6 as an adverse prognostic biomarker promoting bladder cancer cell proliferation.
|

















