验证数据展示
经过测试的应用
| Positive WB detected in | mouse uterus tissue, HeLa cells |
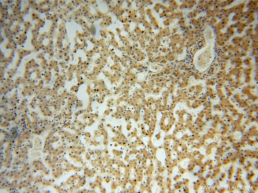
| Positive IHC detected in | human brain tissue, human kidney tissue, human liver tissue, human lung tissue, human placenta tissue, human testis tissue Note: suggested antigen retrieval with TE buffer pH 9.0; (*) Alternatively, antigen retrieval may be performed with citrate buffer pH 6.0 |
| Positive IF/ICC detected in | HeLa cells |
推荐稀释比
| 应用 | 推荐稀释比 |
|---|---|
| Western Blot (WB) | WB : 1:500-1:3000 |
| Immunohistochemistry (IHC) | IHC : 1:20-1:200 |
| Immunofluorescence (IF)/ICC | IF/ICC : 1:200-1:800 |
| It is recommended that this reagent should be titrated in each testing system to obtain optimal results. | |
| Sample-dependent, Check data in validation data gallery. | |
发表文章中的应用
| WB | See 1 publications below |
产品信息
16352-1-AP targets PSG11 in WB, IHC, IF/ICC, ELISA applications and shows reactivity with human, mouse samples.
| 经测试应用 | WB, IHC, IF/ICC, ELISA Application Description |
| 文献引用应用 | WB |
| 经测试反应性 | human, mouse |
| 免疫原 |
CatNo: Ag9562 Product name: Recombinant human PSG11 protein Source: e coli.-derived, PGEX-4T Tag: GST Domain: 1-219 aa of BC020711 Sequence: MHAAEIMGPLSAPPCTEHIKWKGLLLTVETPKPSISSSNLNPREAMETVILTCNPETPDASYLWWMNGQSLPMTHRMQLSETNRTLFLFGVTKYTAGPYECEIWNSGSASRSDPVTLNLLHGPDLPRIFPSVTSYYSGENLDLSCFADSNPPAQYSWTINGKFQLSGQKLFIPQITPKHNGLYACSARNSATGEESSTSLTIRVIAPPGLGTFAFNNPT 种属同源性预测 |
| 宿主/亚型 | Rabbit / IgG |
| 抗体类别 | Polyclonal |
| 产品类型 | Antibody |
| 全称 | pregnancy specific beta-1-glycoprotein 11 |
| 别名 | Pregnancy-specific beta-1-glycoprotein 11, Pregnancy-specific beta-1-glycoprotein 13, Pregnancy-specific glycoprotein 11, Pregnancy-specific glycoprotein 13, PS beta G 11 |
| 计算分子量 | 219 aa, 24 kDa |
| 观测分子量 | 24 kDa |
| GenBank蛋白编号 | BC020711 |
| 基因名称 | PSG11 |
| Gene ID (NCBI) | 5680 |
| RRID | AB_2171065 |
| 偶联类型 | Unconjugated |
| 形式 | Liquid |
| 纯化方式 | Antigen affinity purification |
| UNIPROT ID | Q9UQ72 |
| 储存缓冲液 | PBS with 0.02% sodium azide and 50% glycerol, pH 7.3. |
| 储存条件 | Store at -20°C. Stable for one year after shipment. Aliquoting is unnecessary for -20oC storage. |
背景介绍
PSG11, also named as PSG13, PSG14, PSBG-11 and PSBG-13, belongs to the immunoglobulin superfamily and CEA family. PSBG are produced in high quantity during pregnancy. PSG11 and other PSGs induce dose-dependent secretion of anti-inflammatory cytokines by human monocytes. (PMID:11327547)
实验方案
| Product Specific Protocols | |
|---|---|
| WB protocol for PSG11 antibody 16352-1-AP | Download protocol |
| IHC protocol for PSG11 antibody 16352-1-AP | Download protocol |
| IF protocol for PSG11 antibody 16352-1-AP | Download protocol |
| Standard Protocols | |
|---|---|
| Click here to view our Standard Protocols |














