验证数据展示
经过测试的应用
| Positive WB detected in | SW 1990 cells | 
| Positive IP detected in | SW 1990 cells | 
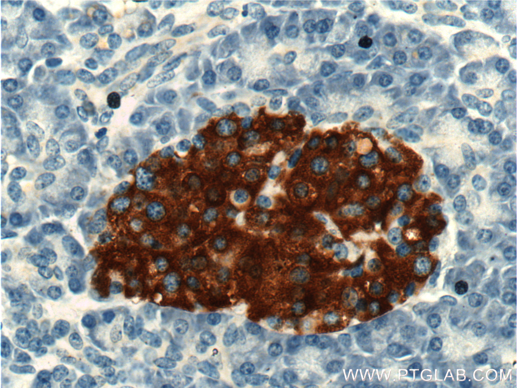
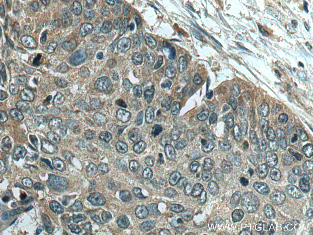
| Positive IHC detected in | human pancreas tissue, human oesophagus cancer tissue,  mouse pancreas tissue Note: suggested antigen retrieval with TE buffer pH 9.0; (*) Alternatively, antigen retrieval may be performed with citrate buffer pH 6.0 | 
推荐稀释比
| 应用 | 推荐稀释比 | 
|---|---|
| Western Blot (WB) | WB : 1:500-1:1000 | 
| Immunoprecipitation (IP) | IP : 0.5-4.0 ug for 1.0-3.0 mg of total protein lysate | 
| Immunohistochemistry (IHC) | IHC : 1:50-1:500 | 
| It is recommended that this reagent should be titrated in each testing system to obtain optimal results. | |
| Sample-dependent, Check data in validation data gallery. | |
产品信息
19515-1-AP targets PRSS27 in WB, IP, IHC, ELISA applications and shows reactivity with human, mouse samples.
| 经测试应用 | WB, IP, IHC, ELISA Application Description | 
| 经测试反应性 | human, mouse | 
| 免疫原 | Peptide种属同源性预测 | 
| 宿主/亚型 | Rabbit / IgG | 
| 抗体类别 | Polyclonal | 
| 产品类型 | Antibody | 
| 全称 | protease, serine 27 | 
| 别名 | CAPH2, Marapsin, MPN, Pancreasin, protease, serine 27, PRSS27, Serine protease 27 | 
| 计算分子量 | 32 kDa | 
| 观测分子量 | 28 kDa | 
| GenBank蛋白编号 | NM_031948 | 
| 基因名称 | PRSS27 | 
| Gene ID (NCBI) | 83886 | 
| RRID | AB_2878585 | 
| 偶联类型 | Unconjugated | 
| 形式 | Liquid | 
| 纯化方式 | Antigen affinity purification | 
| UNIPROT ID | Q9BQR3 | 
| 储存缓冲液 | PBS with 0.02% sodium azide and 50% glycerol, pH 7.3. | 
| 储存条件 | Store at -20°C. Stable for one year after shipment. Aliquoting is unnecessary for -20oC storage. | 
背景介绍
PRSS27, also named as CAPH2, MPN, belongs to the peptidase S1 family. The trypsin-like serine protease marapsin (Prss27) is a member of the large protease gene cluster at human chromosome 16p13.3. The Prss27 gene is expressed by a variety of human, mouse, and opossum tissues. In humans and mice, it is especially abundant in stratified squamous epithelia of cornea, larynx, esophagus, and cervix and is induced in wounded and psoriatic skin (PMID: 23447538). Prss27 expression was restricted to tissues containing stratified squamous epithelia and was absent or only weakly expressed in all other tissues, including the pancreas.
实验方案
| Product Specific Protocols | |
|---|---|
| IHC protocol for PRSS27 antibody 19515-1-AP | Download protocol | 
| IP protocol for PRSS27 antibody 19515-1-AP | Download protocol | 
| WB protocol for PRSS27 antibody 19515-1-AP | Download protocol | 
| Standard Protocols | |
|---|---|
| Click here to view our Standard Protocols | 








