验证数据展示
经过测试的应用
| Positive WB detected in | mouse testis tissue |
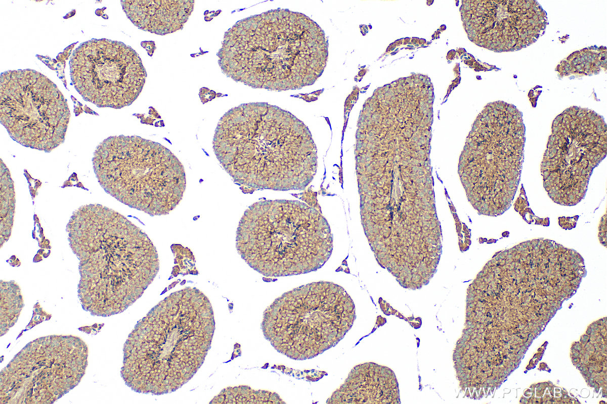
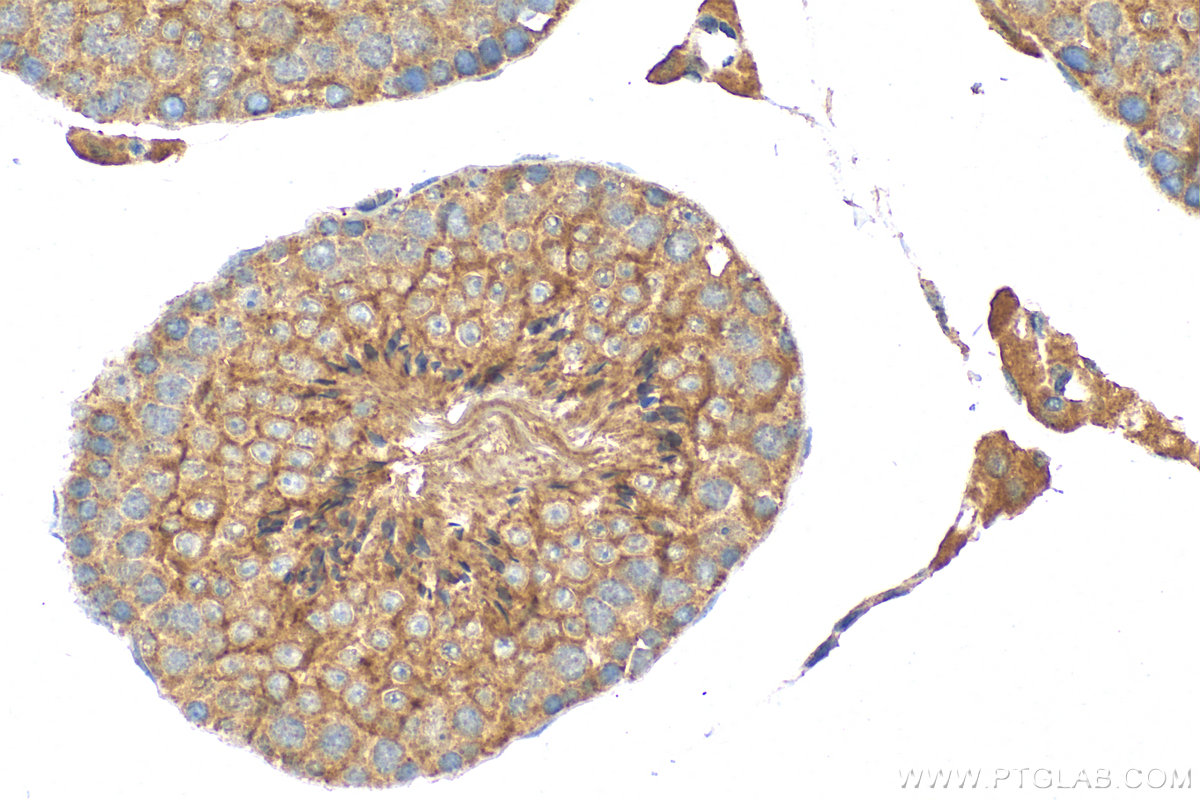
| Positive IHC detected in | mouse testis tissue Note: suggested antigen retrieval with TE buffer pH 9.0; (*) Alternatively, antigen retrieval may be performed with citrate buffer pH 6.0 |
| Positive FC (Intra) detected in | A431 cells |
推荐稀释比
| 应用 | 推荐稀释比 |
|---|---|
| Western Blot (WB) | WB : 1:500-1:2000 |
| Immunohistochemistry (IHC) | IHC : 1:200-1:800 |
| Flow Cytometry (FC) (INTRA) | FC (INTRA) : 0.25 ug per 10^6 cells in a 100 µl suspension |
| It is recommended that this reagent should be titrated in each testing system to obtain optimal results. | |
| Sample-dependent, Check data in validation data gallery. | |
产品信息
32522-1-AP targets PRSS21 in WB, IHC, FC (Intra), ELISA applications and shows reactivity with human, mouse samples.
| 经测试应用 | WB, IHC, FC (Intra), ELISA Application Description |
| 经测试反应性 | human, mouse |
| 免疫原 |
CatNo: Ag38156 Product name: Recombinant human PRSS21 protein Source: e coli.-derived, PGEX-4T Tag: GST Domain: 1-314 aa of BC074999 Sequence: MGARGALLLALLLARAGLRKPESQEAAPLSGPCGRRVITSRIVGGEDAELGRWPWQGSLRLWDSHVCGVSLLSHRWALTAAHCFETYSDLSDPSGWMVQFGQLTSMPSFWSLQAYYTRYFVSNIYLSPRYLGNSPYDIALVKLSAPVTYTKHIQPICLQASTFEFENRTDCWVTGWGYIKEDEALPSPHTLQEVQVAIINNSMCNHLFLKYSFRKDIFGDMVCAGNAQGGKDACFGDSGGPLACNKNGLWYQIGVVSWGVGCGRPNRPGVYTNISHHFEWIQKLMAQSGMSQPDPSWPLLFFPLLWALPLLGPV 种属同源性预测 |
| 宿主/亚型 | Rabbit / IgG |
| 抗体类别 | Polyclonal |
| 产品类型 | Antibody |
| 全称 | protease, serine, 21 (testisin) |
| 别名 | EC:3.4.21.-, Eosinophil serine protease 1, ESP1, ESP-1, Serine protease 21 |
| 计算分子量 | 314 aa, 35 kDa |
| GenBank蛋白编号 | BC074999 |
| 基因名称 | PRSS21 |
| Gene ID (NCBI) | 10942 |
| RRID | AB_3742642 |
| 偶联类型 | Unconjugated |
| 形式 | Liquid |
| 纯化方式 | Antigen affinity purification |
| UNIPROT ID | Q9Y6M0 |
| 储存缓冲液 | PBS with 0.02% sodium azide and 50% glycerol, pH 7.3. |
| 储存条件 | Store at -20°C. Stable for one year after shipment. Aliquoting is unnecessary for -20oC storage. |
背景介绍
PRSS21 (Serine Protease 21), a trypsin family member, may be active on peptide linkages involving the carboxyl group of lysine or arginine. In terms of disease association, PRSS21 is implicated in various cancers, such as gastric cancer, testicular cancer, and ovarian cancer.
实验方案
| Product Specific Protocols | |
|---|---|
| FC protocol for PRSS21 antibody 32522-1-AP | Download protocol |
| IHC protocol for PRSS21 antibody 32522-1-AP | Download protocol |
| WB protocol for PRSS21 antibody 32522-1-AP | Download protocol |
| Standard Protocols | |
|---|---|
| Click here to view our Standard Protocols |



