验证数据展示
经过测试的应用
| Positive WB detected in | HEK-293 cells, HeLa cells, NIH/3T3 cells |
| Positive IP detected in | HeLa cells |
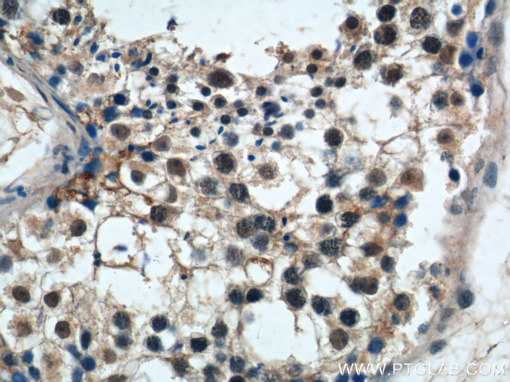
| Positive IHC detected in | human testis tissue Note: suggested antigen retrieval with TE buffer pH 9.0; (*) Alternatively, antigen retrieval may be performed with citrate buffer pH 6.0 |
推荐稀释比
| 应用 | 推荐稀释比 |
|---|---|
| Western Blot (WB) | WB : 1:500-1:2000 |
| Immunoprecipitation (IP) | IP : 0.5-4.0 ug for 1.0-3.0 mg of total protein lysate |
| Immunohistochemistry (IHC) | IHC : 1:20-1:200 |
| It is recommended that this reagent should be titrated in each testing system to obtain optimal results. | |
| Sample-dependent, Check data in validation data gallery. | |
产品信息
23929-1-AP targets PRPF6 in WB, IHC, IF, IP, ELISA applications and shows reactivity with human, mouse samples.
| 经测试应用 | WB, IP, IHC, ELISA Application Description |
| 文献引用应用 | WB, IHC, IF |
| 经测试反应性 | human, mouse |
| 文献引用反应性 | human, mouse |
| 免疫原 |
CatNo: Ag13817 Product name: Recombinant human PRPF6 protein Source: e coli.-derived, PET28a Tag: 6*His Domain: 592-941 aa of BC001666 Sequence: SLEALLQRAVAHCPKAEVLWLMGAKSKWLAGDVPAARSILALAFQANPNSEEIWLAAVKLESENDEYERARRLLAKARSSAPTARVFMKSVKLEWVQDNIRAAQDLCEEALRHYEDFPKLWMMKGQIEEQKEMMEKAREAYNQGLKKCPHSTPLWLLLSRLEEKIGQLTRARAILEKSRLKNPKNPGLWLESVRLEYRAGLKNIANTLMAKALQECPNSGILWSEAIFLEARPQRRTKSVDALKKCEHDPHVLLAVAKLFWSQRKITKAREWFHRTVKIDSDLGDAWAFFYKFELQHGTEEQQEEVRKRCESAEPRHGELWCAVSKDIANWQKKIGDILRLVAGRIKNTF 种属同源性预测 |
| 宿主/亚型 | Rabbit / IgG |
| 抗体类别 | Polyclonal |
| 产品类型 | Antibody |
| 全称 | PRP6 pre-mRNA processing factor 6 homolog (S. cerevisiae) |
| 别名 | ANT 1, C20orf14, hPrp6, Pre mRNA processing factor 6, PRP6 homolog, PRPF6, TOM, U5 102 kDa protein, U5 102K |
| 计算分子量 | 941 aa, 107 kDa |
| 观测分子量 | 100 kDa |
| GenBank蛋白编号 | BC001666 |
| 基因名称 | PRPF6 |
| Gene ID (NCBI) | 24148 |
| RRID | AB_2879365 |
| 偶联类型 | Unconjugated |
| 形式 | Liquid |
| 纯化方式 | Antigen Affinity purified |
| UNIPROT ID | O94906 |
| 储存缓冲液 | PBS with 0.02% sodium azide and 50% glycerol, pH 7.3. |
| 储存条件 | Store at -20°C. Stable for one year after shipment. Aliquoting is unnecessary for -20oC storage. |
背景介绍
PRPF6 is involved in pre-mRNA splicing as component of the U4/U6-U5 tri-snRNP complex, it can enhance dihydrotestosterone-induced transactivation activity of AR, as well as dexamethasone-induced transactivation activity of NR3C1, but does not affect estrogen-induced transactivation.
实验方案
| Product Specific Protocols | |
|---|---|
| IHC protocol for PRPF6 antibody 23929-1-AP | Download protocol |
| IP protocol for PRPF6 antibody 23929-1-AP | Download protocol |
| WB protocol for PRPF6 antibody 23929-1-AP | Download protocol |
| Standard Protocols | |
|---|---|
| Click here to view our Standard Protocols |
发表文章
| Species | Application | Title |
|---|---|---|
Hum Genet A CRISPR and high-content imaging assay compliant with ACMG/AMP guidelines for clinical variant interpretation in ciliopathies. | ||
Cancer Sci Splicing factor PRPF6 upregulates oncogenic androgen receptor signaling pathway in hepatocellular carcinoma.
| ||
Int J Biol Sci PRPF6 promotes androgen receptor/androgen receptor-variant 7 actions in castration-resistant prostate cancer cells.
| ||
Front Genet Microtubule modification defects underlie cilium degeneration in cell models of retinitis pigmentosa associated with pre-mRNA splicing factor mutations | ||
bioRxiv RNA-coupled CRISPR Screens Reveal ZNF207 as a Regulator of LMNA Aberrant Splicing in Progeria |








