验证数据展示
经过测试的应用
| Positive WB detected in | Y79 cells, K-562 cells, mouse testis tissue |
| Positive IP detected in | Y79 cells |
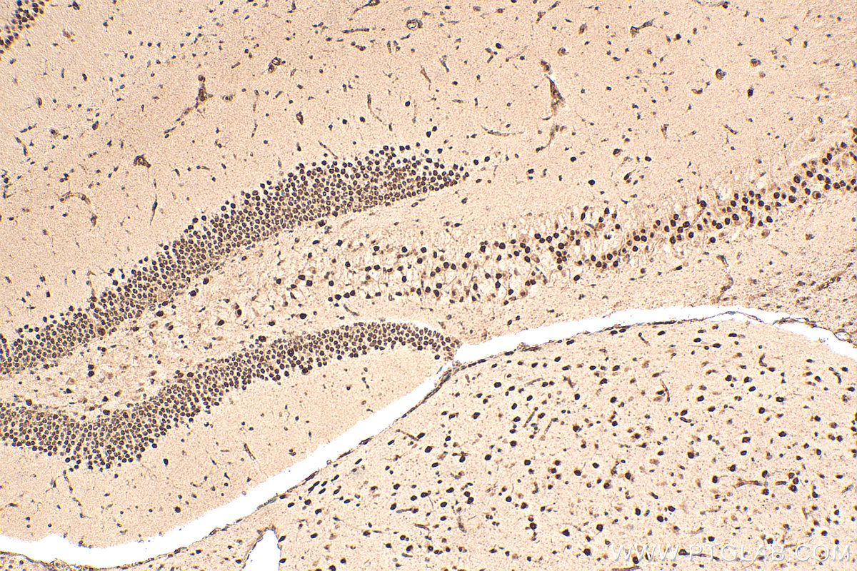
| Positive IHC detected in | mouse brain tissue Note: suggested antigen retrieval with TE buffer pH 9.0; (*) Alternatively, antigen retrieval may be performed with citrate buffer pH 6.0 |
推荐稀释比
| 应用 | 推荐稀释比 |
|---|---|
| Western Blot (WB) | WB : 1:2000-1:12000 |
| Immunoprecipitation (IP) | IP : 0.5-4.0 ug for 1.0-3.0 mg of total protein lysate |
| Immunohistochemistry (IHC) | IHC : 1:50-1:500 |
| It is recommended that this reagent should be titrated in each testing system to obtain optimal results. | |
| Sample-dependent, Check data in validation data gallery. | |
发表文章中的应用
| IF | See 1 publications below |
产品信息
16929-1-AP targets PRPF40B in WB, IHC, IF, IP, ELISA applications and shows reactivity with human, mouse samples.
| 经测试应用 | WB, IHC, IP, ELISA Application Description |
| 文献引用应用 | IF |
| 经测试反应性 | human, mouse |
| 文献引用反应性 | human |
| 免疫原 |
CatNo: Ag10361 Product name: Recombinant human PRPF40B protein Source: e coli.-derived, PET28a Tag: 6*His Domain: 522-871 aa of BC067364 Sequence: AVSTDVRFANMLGQPGSTPLDLFKFYVEELKARFHDEKKIIKDILKDRGFCVEVNTAFEDFAHVISFDKRAAALDAGNIKLTFNSLLEKAEAREREREKEEARRMRRREAAFRSMLRQAVPALELGTAWEEVRERFVCDSAFEQITLESERIRLFREFLQVLEQTECQHLHTKGRKHGRKGKKHHHKRSHSPSGSESEEEELPPPSLRPPKRRRRNPSESGSEPSSSLDSVESGGAALGGRGSPSSHLLGADHGLRKAKKPKKKTKKRRHKSNSPESETDPEEKAGKESDEKEQEQDKDRELQQAELPNRSPGFGIKKEKTGWDTSESELSEGELERRRRTLLQQLDDHQ 种属同源性预测 |
| 宿主/亚型 | Rabbit / IgG |
| 抗体类别 | Polyclonal |
| 产品类型 | Antibody |
| 全称 | PRP40 pre-mRNA processing factor 40 homolog B (S. cerevisiae) |
| 别名 | Huntingtin yeast partner C, Huntingtin-interacting protein C, HYPC, Pre-mRNA-processing factor 40 homolog B |
| 计算分子量 | 871 aa, 99 kDa |
| 观测分子量 | 130-150 kDa |
| GenBank蛋白编号 | BC067364 |
| 基因名称 | PRPF40B |
| Gene ID (NCBI) | 25766 |
| RRID | AB_2171041 |
| 偶联类型 | Unconjugated |
| 形式 | Liquid |
| 纯化方式 | Antigen affinity purification |
| UNIPROT ID | Q6NWY9 |
| 储存缓冲液 | PBS with 0.02% sodium azide and 50% glycerol, pH 7.3. |
| 储存条件 | Store at -20°C. Stable for one year after shipment. Aliquoting is unnecessary for -20oC storage. |
实验方案
| Product Specific Protocols | |
|---|---|
| IHC protocol for PRPF40B antibody 16929-1-AP | Download protocol |
| IP protocol for PRPF40B antibody 16929-1-AP | Download protocol |
| WB protocol for PRPF40B antibody 16929-1-AP | Download protocol |
| Standard Protocols | |
|---|---|
| Click here to view our Standard Protocols |





