验证数据展示
经过测试的应用
| Positive WB detected in | human placenta tissue, DU 145 cells, mouse placenta tissue, HepG2 cells, HuH-7 cells |
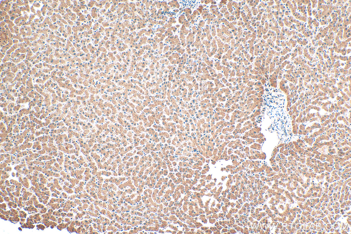
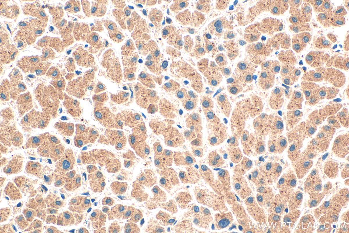
| Positive IHC detected in | human liver tissue Note: suggested antigen retrieval with TE buffer pH 9.0; (*) Alternatively, antigen retrieval may be performed with citrate buffer pH 6.0 |
| Positive IF/ICC detected in | HepG2 cells |
| Positive FC (Intra) detected in | HepG2 cells |
推荐稀释比
| 应用 | 推荐稀释比 |
|---|---|
| Western Blot (WB) | WB : 1:500-1:1000 |
| Immunohistochemistry (IHC) | IHC : 1:200-1:800 |
| Immunofluorescence (IF)/ICC | IF/ICC : 1:200-1:800 |
| Flow Cytometry (FC) (INTRA) | FC (INTRA) : 0.40 ug per 10^6 cells in a 100 µl suspension |
| It is recommended that this reagent should be titrated in each testing system to obtain optimal results. | |
| Sample-dependent, Check data in validation data gallery. | |
产品信息
16910-1-AP targets PROS1 in WB, IHC, IF/ICC, FC (Intra), ELISA applications and shows reactivity with human, mouse samples.
| 经测试应用 | WB, IHC, IF/ICC, FC (Intra), ELISA Application Description |
| 文献引用应用 | WB, IHC, IF, ELISA |
| 经测试反应性 | human, mouse |
| 文献引用反应性 | human, mouse, plasmodium falciparum |
| 免疫原 |
CatNo: Ag10539 Product name: Recombinant human PROS1 protein Source: e coli.-derived, PGEX-4T Tag: GST Domain: 328-676 aa of BC015801 Sequence: DFRTYDSEGVILYAESIDHSAWLLIALRGGKIEVQLKNEHTSKITTGGDVINNGLWNMVSVEELEHSISIKIAKEAVMDINKPGPLFKPENGLLETKVYFAGFPRKVESELIKPINPRLDGCIRSWNLMKQGASGIKEIIQEKQNKHCLVTVEKGSYYPGSGIAQFHIDYNNVSSAEGWHVNVTLNIRPSTGTGVMLALVSGNNTVPFAVSLVDSTSEKSQDILLSVENTVIYRIQALSLCSDQQSHLEFRVNRNNLELSTPLKIETISHEDLQRQLAVLDKAMKAKVATYLGGLPDVPFSATPVNAFYNGCMEVNINGVQLDLDEAISKHNDIRAHSCPSVWKKTKNS 种属同源性预测 |
| 宿主/亚型 | Rabbit / IgG |
| 抗体类别 | Polyclonal |
| 产品类型 | Antibody |
| 全称 | protein S (alpha) |
| 别名 | PROS, Vitamin K-dependent protein S |
| 计算分子量 | 75 kDa |
| 观测分子量 | 70 kDa |
| GenBank蛋白编号 | BC015801 |
| 基因名称 | PROS1 |
| Gene ID (NCBI) | 5627 |
| RRID | AB_2300207 |
| 偶联类型 | Unconjugated |
| 形式 | Liquid |
| 纯化方式 | Antigen affinity purification |
| UNIPROT ID | P07225 |
| 储存缓冲液 | PBS with 0.02% sodium azide and 50% glycerol, pH 7.3. |
| 储存条件 | Store at -20°C. Stable for one year after shipment. Aliquoting is unnecessary for -20oC storage. |
背景介绍
PROS1, also named as Vitamin K-dependent protein S, is a 676 amino acid protein, which contains 4 EGF-like domains, contains one Gla (gamma-carboxy-glutamate) domain and contains 2 laminin G-like domains. PROS1 as a secreted protein platelets alpha granules is expressed in plasma. PROS1 is a cofactor to activated protein C in the degradation of coagulation factors Va and VIIIa and helps to prevent coagulation and stimulating fibrinolysis.
实验方案
| Product Specific Protocols | |
|---|---|
| FC protocol for PROS1 antibody 16910-1-AP | Download protocol |
| IF protocol for PROS1 antibody 16910-1-AP | Download protocol |
| IHC protocol for PROS1 antibody 16910-1-AP | Download protocol |
| WB protocol for PROS1 antibody 16910-1-AP | Download protocol |
| Standard Protocols | |
|---|---|
| Click here to view our Standard Protocols |
发表文章
| Species | Application | Title |
|---|---|---|
Science The TAM family receptor tyrosine kinase TYRO3 is a negative regulator of type 2 immunity. | ||
Aging (Albany NY) CeRNA regulatory network-based analysis to study the roles of noncoding RNAs in the pathogenesis of intrahepatic cholangiocellular carcinoma. | ||
Mol Cell Proteomics Multisample Mass Spectrometry-Based Approach for Discovering Injury Markers in Chronic Kidney Disease. | ||
Front Cell Neurosci Proteomic and Metabolomic Analyses of Vanishing White Matter Mouse Astrocytes Reveal Deregulation of ER Functions. | ||
Am J Physiol Renal Physiol Identification of natriuretic peptide receptor A-related gene expression signatures in podocytes in vivo reveals baseline control of protective pathways |







