验证数据展示
经过测试的应用
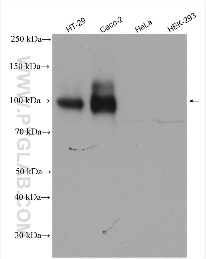
| Positive WB detected in | HT-29 cells, mouse kidney tissue, mouse pancreas tissue, rat kidney tissue, Caco-2 cells |
| Positive IP detected in | HT-29 cells |
| Positive IHC detected in | mouse kidney tissue Note: suggested antigen retrieval with TE buffer pH 9.0; (*) Alternatively, antigen retrieval may be performed with citrate buffer pH 6.0 |
| Positive IF-P detected in | mouse kidney tissue |
推荐稀释比
| 应用 | 推荐稀释比 |
|---|---|
| Western Blot (WB) | WB : 1:2000-1:10000 |
| Immunoprecipitation (IP) | IP : 0.5-4.0 ug for 1.0-3.0 mg of total protein lysate |
| Immunohistochemistry (IHC) | IHC : 1:4000-1:16000 |
| Immunofluorescence (IF)-P | IF-P : 1:50-1:500 |
| It is recommended that this reagent should be titrated in each testing system to obtain optimal results. | |
| Sample-dependent, Check data in validation data gallery. | |
产品信息
18470-1-AP targets CD133 in WB, IHC, IF-P, IP, ELISA applications and shows reactivity with human, mouse, rat samples.
| 经测试应用 | WB, IHC, IF-P, IP, ELISA Application Description |
| 文献引用应用 | WB, IHC, IF |
| 经测试反应性 | human, mouse, rat |
| 文献引用反应性 | human, mouse, rat |
| 免疫原 |
CatNo: Ag13328 Product name: Recombinant human CD133 protein Source: e coli.-derived, PGEX-4T Tag: GST Domain: 806-856 aa of BC012089 Sequence: LAKYYRRMDSEDVYDDVETIPMKNMENGNNGYHKDHVYGIHNPVMTSPSQH 种属同源性预测 |
| 宿主/亚型 | Rabbit / IgG |
| 抗体类别 | Polyclonal |
| 产品类型 | Antibody |
| 全称 | prominin 1 |
| 别名 | AC133, Antigen AC133, CORD12, MCDR2, MSTP061 |
| 计算分子量 | 97 kDa |
| 观测分子量 | 115 kDa-120 kDa |
| GenBank蛋白编号 | BC012089 |
| 基因名称 | CD133 |
| Gene ID (NCBI) | 8842 |
| RRID | AB_2172859 |
| 偶联类型 | Unconjugated |
| 形式 | Liquid |
| 纯化方式 | Antigen affinity purification |
| UNIPROT ID | O43490 |
| 储存缓冲液 | PBS with 0.02% sodium azide and 50% glycerol, pH 7.3. |
| 储存条件 | Store at -20°C. Stable for one year after shipment. Aliquoting is unnecessary for -20oC storage. |
背景介绍
CD133, also known as PROM1 (prominin-1) or AC133, belongs to the prominin family. CD133 is a transmembrane glycoprotein with an NH2-terminal extracellular domain, five transmembrane loops and a cytoplasmic tail. The expression of CD133 has been reported in hematopoietic stem cells, endothelial progenitor cells, neuronal and glial stem cells, suggesting the potential role of CD133 as a cell surface marker of adult stem cells. CD133 has also been reported as a marker of cancer stem cells in various human tumors.
实验方案
| Product Specific Protocols | |
|---|---|
| IF protocol for CD133 antibody 18470-1-AP | Download protocol |
| IHC protocol for CD133 antibody 18470-1-AP | Download protocol |
| IP protocol for CD133 antibody 18470-1-AP | Download protocol |
| WB protocol for CD133 antibody 18470-1-AP | Download protocol |
| Standard Protocols | |
|---|---|
| Click here to view our Standard Protocols |
发表文章
| Species | Application | Title |
|---|---|---|
Nat Cell Biol Merkel cell polyomavirus activates LSD1-mediated blockade of non-canonical BAF to regulate transformation and tumorigenesis. | ||
Adv Sci (Weinh) Exosomal CCT6A Secreted by Cancer-Associated Fibroblasts Interacts with β-Catenin to Enhance Chemoresistance and Tumorigenesis in Gastric Cancer | ||
Cell Rep Med CD97 maintains tumorigenicity of glioblastoma stem cells via mTORC2 signaling and is targeted by CAR Th9 cells | ||
Cell Death Differ CRSP8 promotes thyroid cancer progression by antagonizing IKKα-induced cell differentiation. | ||
J Pineal Res Melatonin inhibits the stemness of head and neck squamous cell carcinoma by modulating HA synthesis via the FOSL1/HAS3 axis | ||
Mater Today Bio Endoscopic nasal delivery of engineered endothelial progenitor cell-derived exosomes improves angiogenesis and neurological deficits in rats with intracerebral hemorrhage |








