验证数据展示
经过测试的应用
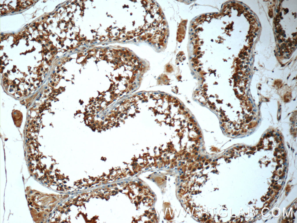
| Positive IHC detected in | human colon tissue,  human testis tissue Note: suggested antigen retrieval with TE buffer pH 9.0; (*) Alternatively, antigen retrieval may be performed with citrate buffer pH 6.0 | 
推荐稀释比
| 应用 | 推荐稀释比 | 
|---|---|
| Immunohistochemistry (IHC) | IHC : 1:20-1:200 | 
| It is recommended that this reagent should be titrated in each testing system to obtain optimal results. | |
| Sample-dependent, Check data in validation data gallery. | |
产品信息
24906-1-AP targets Prokineticin 2 in IHC, ELISA applications and shows reactivity with human samples.
| 经测试应用 | IHC, ELISA Application Description | 
| 经测试反应性 | human | 
| 免疫原 | CatNo: Ag20622 Product name: Recombinant human PROK2 protein Source: e coli.-derived, PET30a Tag: 6*His Domain: 32-106 aa of BC098162 Sequence: GACDKDSQCGGGMCCAVSIWVKSIRICTPMGKLGDSCHPLTRKNNFGNGRQERRKRKRSKRKKEVPFFGRRMHHT种属同源性预测 | 
| 宿主/亚型 | Rabbit / IgG | 
| 抗体类别 | Polyclonal | 
| 产品类型 | Antibody | 
| 全称 | prokineticin 2 | 
| 别名 | BV8, KAL4, MIT1, PK2, PROK2, prokineticin 2, Protein Bv8 homolog | 
| 计算分子量 | 129 aa, 14 kDa | 
| GenBank蛋白编号 | BC098162 | 
| 基因名称 | Prokineticin 2 | 
| Gene ID (NCBI) | 60675 | 
| RRID | AB_2879792 | 
| 偶联类型 | Unconjugated | 
| 形式 | Liquid | 
| 纯化方式 | Antigen affinity purification | 
| UNIPROT ID | Q9HC23 | 
| 储存缓冲液 | PBS with 0.02% sodium azide and 50% glycerol, pH 7.3. | 
| 储存条件 | Store at -20°C. Stable for one year after shipment. Aliquoting is unnecessary for -20oC storage. | 
实验方案
| Product Specific Protocols | |
|---|---|
| IHC protocol for Prokineticin 2 antibody 24906-1-AP | Download protocol | 
| Standard Protocols | |
|---|---|
| Click here to view our Standard Protocols | 




