验证数据展示
经过测试的应用
| Positive WB detected in | mouse lung tissue, mouse placenta tissue |
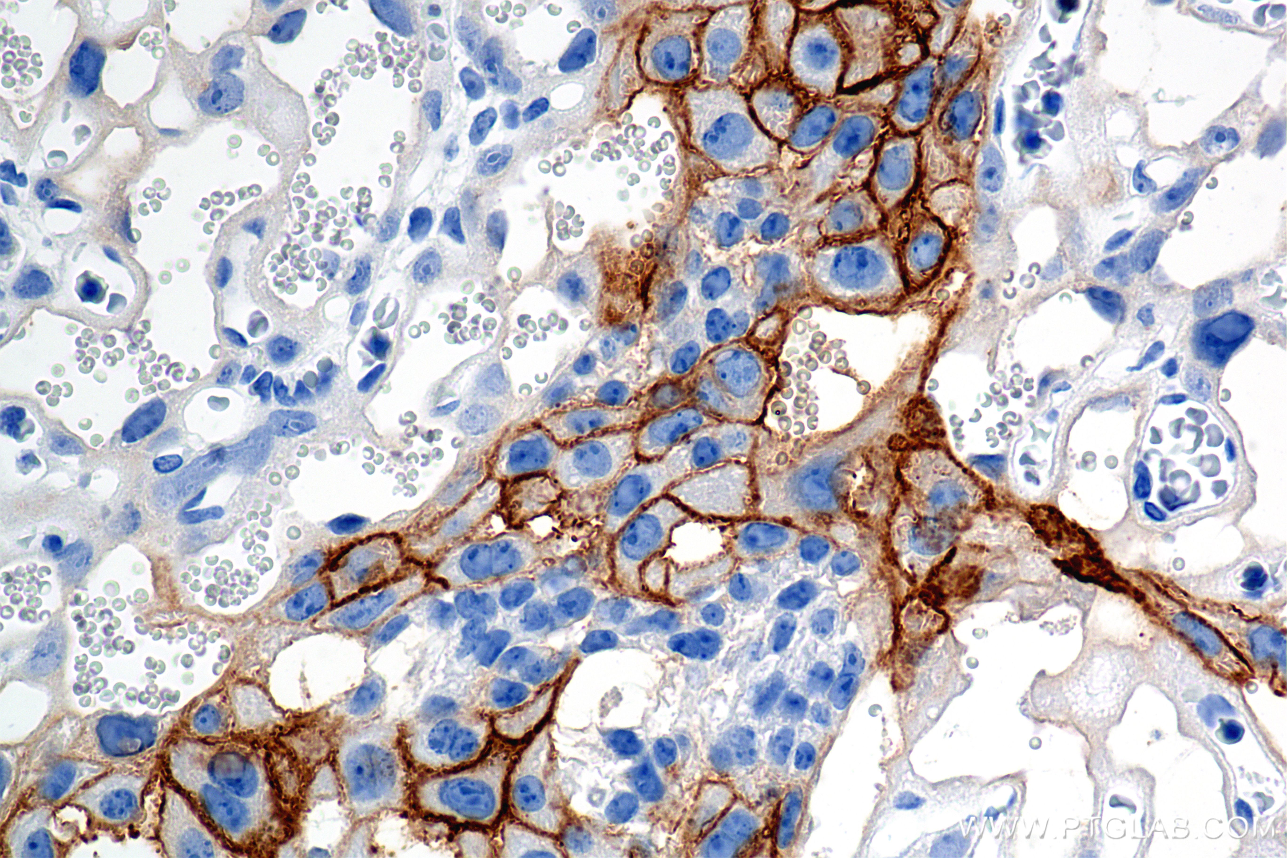
| Positive IHC detected in | mouse placenta tissue Note: suggested antigen retrieval with TE buffer pH 9.0; (*) Alternatively, antigen retrieval may be performed with citrate buffer pH 6.0 |
| Positive IF-P detected in | mouse placenta tissue |
| Positive IF/ICC detected in | bEnd.3 cells |
推荐稀释比
| 应用 | 推荐稀释比 |
|---|---|
| Western Blot (WB) | WB : 1:5000-1:50000 |
| Immunohistochemistry (IHC) | IHC : 1:500-1:2000 |
| Immunofluorescence (IF)-P | IF-P : 1:200-1:800 |
| Immunofluorescence (IF)/ICC | IF/ICC : 1:50-1:500 |
| It is recommended that this reagent should be titrated in each testing system to obtain optimal results. | |
| Sample-dependent, Check data in validation data gallery. | |
产品信息
84494-2-RR targets EPCR/CD201 in WB, IHC, IF/ICC, IF-P, ELISA applications and shows reactivity with mouse samples.
| 经测试应用 | WB, IHC, IF/ICC, IF-P, ELISA Application Description |
| 经测试反应性 | mouse |
| 免疫原 |
CatNo: Eg1517 Product name: Recombinant Mouse EPCR/CD201 protein (rFc Tag)(HPLC verified) Source: mammalian cells-derived, pHZ-KIsec-C-rFc Tag: C-rFc Domain: 18-214 aa of NM_011171.2 Sequence: LCNSDGSQSLHMLQISYFQDNHHVRHQGNASLGKLLTHTLEGPSQNVTILQLQPWQDPESWERTESGLQIYLTQFESLVKLVYRERKENVFFPLTVSCSLGCELPEEEEEGSEPHVFFDVAVNGSAFVSFRPKTAVWVSGSQEPSKAANFTLKQLNAYNRTRYELQEFLQDTCVEFLENHITTQNMKGSQTGRSYTS 种属同源性预测 |
| 宿主/亚型 | Rabbit / IgG |
| 抗体类别 | Recombinant |
| 产品类型 | Antibody |
| 全称 | protein C receptor, endothelial |
| 别名 | 241853A9, Activated protein C receptor, APC receptor, CD201, Centrocyclin |
| 计算分子量 | 27kDa |
| 观测分子量 | 40-50 kDa |
| GenBank蛋白编号 | NM_011171.2 |
| 基因名称 | PROCR |
| Gene ID (NCBI) | 19124 |
| RRID | AB_3672007 |
| 偶联类型 | Unconjugated |
| 形式 | Liquid |
| 纯化方式 | Protein A purification |
| UNIPROT ID | Q64695 |
| 储存缓冲液 | PBS with 0.02% sodium azide and 50% glycerol, pH 7.3. |
| 储存条件 | Store at -20°C. Stable for one year after shipment. Aliquoting is unnecessary for -20oC storage. |
背景介绍
Protein C receptor (PROCR), also known as activated protein C receptor (APC receptor), EPCR, or CD201, is a transmembrane glycoprotein. EPCR promotes the activation of protein C, which has anticoagulant and cytoprotective effects. EPCR facilitates the activation of protein C by the thrombin-thrombomodulin complex but also facilitates APC-mediated cytoprotective impact on cells that involve the activation of protease-activated receptors (PAR) 1 and 3(PMID: 27207424).
实验方案
| Product Specific Protocols | |
|---|---|
| IF protocol for EPCR/CD201 antibody 84494-2-RR | Download protocol |
| IHC protocol for EPCR/CD201 antibody 84494-2-RR | Download protocol |
| WB protocol for EPCR/CD201 antibody 84494-2-RR | Download protocol |
| Standard Protocols | |
|---|---|
| Click here to view our Standard Protocols |




