验证数据展示
经过测试的应用
| Positive WB detected in | human placenta tissue, pig spleen tissue, pig heart tissue, pig vein tissue |
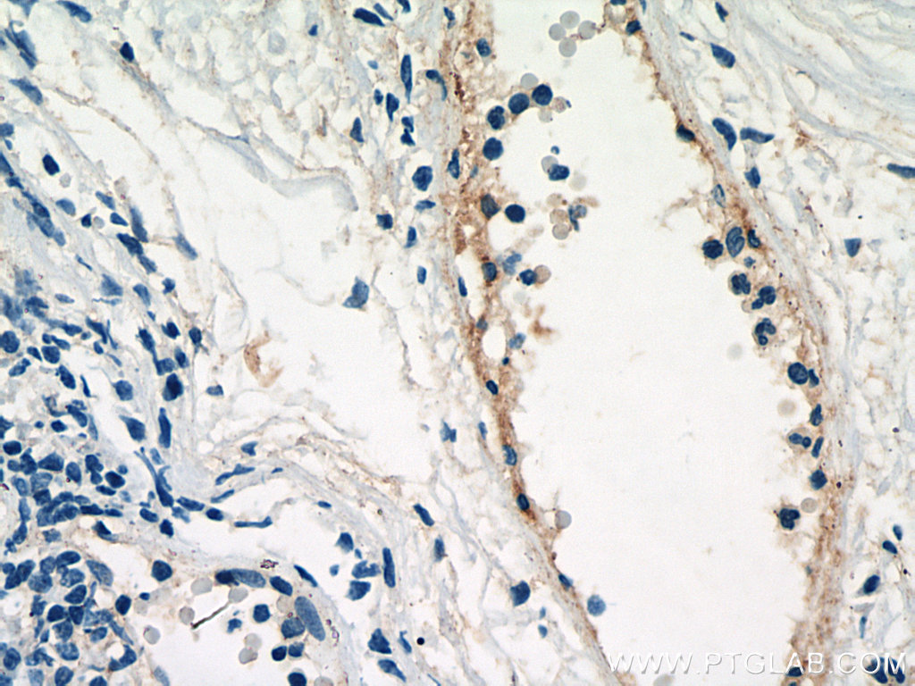
| Positive IHC detected in | human tonsillitis tissue Note: suggested antigen retrieval with TE buffer pH 9.0; (*) Alternatively, antigen retrieval may be performed with citrate buffer pH 6.0 |
| Positive FC (Intra) detected in | A549 cells |
推荐稀释比
| 应用 | 推荐稀释比 |
|---|---|
| Western Blot (WB) | WB : 1:1000-1:6000 |
| Immunohistochemistry (IHC) | IHC : 1:3000-1:12000 |
| Flow Cytometry (FC) (INTRA) | FC (INTRA) : 0.40 ug per 10^6 cells in a 100 µl suspension |
| It is recommended that this reagent should be titrated in each testing system to obtain optimal results. | |
| Sample-dependent, Check data in validation data gallery. | |
产品信息
67658-1-Ig targets PROCR/EPCR/CD201 in WB, IHC, IF, FC (Intra), ELISA applications and shows reactivity with human, pig samples.
| 经测试应用 | WB, IHC, FC (Intra), ELISA Application Description |
| 文献引用应用 | WB, IHC, IF |
| 经测试反应性 | human, pig |
| 文献引用反应性 | human, mouse |
| 免疫原 |
CatNo: Ag25628 Product name: Recombinant human PROCR protein Source: e coli.-derived, PET28a Tag: 6*His Domain: 18-210 aa of BC014451 Sequence: SQDASDGLQRLHMLQISYFRDPYHVWYQGNASLGGHLTHVLEGPDTNTTIIQLQPLQEPESWARTQSGLQSYLLQFHGLVRLVHQERTLAFPLTIRCFLGCELPPEGSRAHVFFEVAVNGSSFVSFRPERALWQADTQVTSGVVTFTLQQLNAYNRTRYELREFLEDTCVQYVQKHISAENTKGSQTSRSYTS 种属同源性预测 |
| 宿主/亚型 | Mouse / IgG1 |
| 抗体类别 | Monoclonal |
| 产品类型 | Antibody |
| 全称 | protein C receptor, endothelial (EPCR) |
| 别名 | CD201, EPCR, PROCR, 1F5C4, Activated protein C receptor |
| 计算分子量 | 238 aa, 27 kDa |
| 观测分子量 | 49 kDa |
| GenBank蛋白编号 | BC014451 |
| 基因名称 | PROCR |
| Gene ID (NCBI) | 10544 |
| RRID | AB_2882855 |
| 偶联类型 | Unconjugated |
| 形式 | Liquid |
| 纯化方式 | Protein G purification |
| UNIPROT ID | Q9UNN8 |
| 储存缓冲液 | PBS with 0.02% sodium azide and 50% glycerol, pH 7.3. |
| 储存条件 | Store at -20°C. Stable for one year after shipment. Aliquoting is unnecessary for -20oC storage. |
实验方案
| Product Specific Protocols | |
|---|---|
| FC protocol for PROCR/EPCR/CD201 antibody 67658-1-Ig | Download protocol |
| IHC protocol for PROCR/EPCR/CD201 antibody 67658-1-Ig | Download protocol |
| WB protocol for PROCR/EPCR/CD201 antibody 67658-1-Ig | Download protocol |
| Standard Protocols | |
|---|---|
| Click here to view our Standard Protocols |
发表文章
| Species | Application | Title |
|---|---|---|
Signal Transduct Target Ther Protein C receptor maintains cancer stem cell properties via activating lipid synthesis in nasopharyngeal carcinoma. | ||




