验证数据展示
经过测试的应用
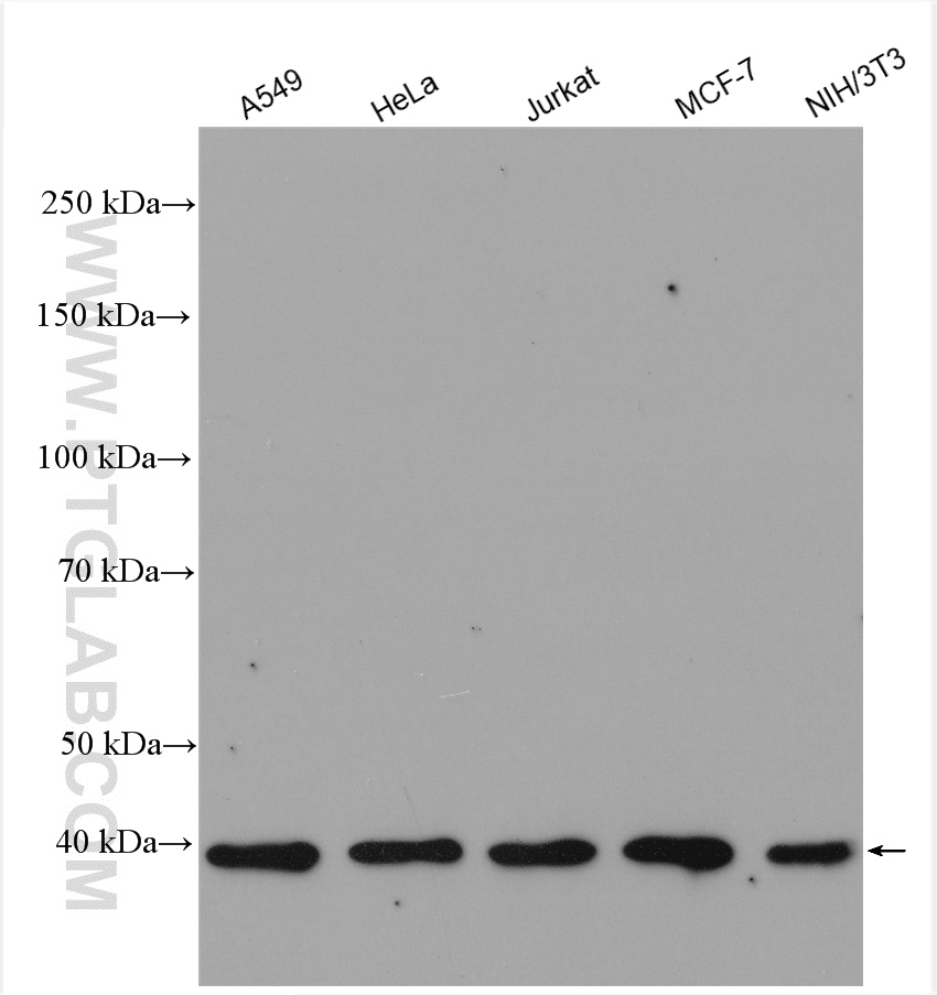
| Positive WB detected in | A549 cells, mouse brain tissue, MCF-7 cells, HeLa cells, NIH/3T3 cells, rat brain tissue, Jurkat cells |
| Positive IP detected in | A549 cells |
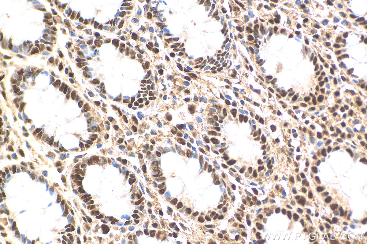
| Positive IHC detected in | human colon tissue Note: suggested antigen retrieval with TE buffer pH 9.0; (*) Alternatively, antigen retrieval may be performed with citrate buffer pH 6.0 |
| Positive IF/ICC detected in | A431 cells |
| Positive FC (Intra) detected in | HepG2 cells |
推荐稀释比
| 应用 | 推荐稀释比 |
|---|---|
| Western Blot (WB) | WB : 1:2000-1:16000 |
| Immunoprecipitation (IP) | IP : 0.5-4.0 ug for 1.0-3.0 mg of total protein lysate |
| Immunohistochemistry (IHC) | IHC : 1:50-1:500 |
| Immunofluorescence (IF)/ICC | IF/ICC : 1:50-1:500 |
| Flow Cytometry (FC) (INTRA) | FC (INTRA) : 0.25 ug per 10^6 cells in a 100 µl suspension |
| It is recommended that this reagent should be titrated in each testing system to obtain optimal results. | |
| Sample-dependent, Check data in validation data gallery. | |
产品信息
11279-1-AP targets PRMT1 in WB, IHC, IF/ICC, FC (Intra), IP, CoIP, ChIP, ELISA applications and shows reactivity with human, mouse, rat samples.
| 经测试应用 | WB, IHC, IF/ICC, FC (Intra), IP, ELISA Application Description |
| 文献引用应用 | WB, IHC, IF, IP, CoIP, ChIP |
| 经测试反应性 | human, mouse, rat |
| 文献引用反应性 | human, mouse, rat |
| 免疫原 |
CatNo: Ag1790 Product name: Recombinant human PRMT1 protein Source: e coli.-derived, PGEX-4T Tag: GST Domain: 1-343 aa of BC019268 Sequence: MEVSCGQAESSEKPNAEDMTSKDYYFDSYAHFGIHEEMLKDEVRTLTYRNSMFHNRHLFKDKVVLDVGSGTGILCMFAAKAGARKVIGIECSSISDYAVKIVKANKLDHVVTIIKGKVEEVELPVEKVDIIISEWMGYCLFYESMLNTVLYARDKWLAPDGLIFPDRATLYVTAIEDRQYKDYKIHWWENVYGFDMSCIKDVAIKEPLVDVVDPKQLVTNACLIKEVDIYTVKVEDLTFTSPFCLQVKRNDYVHALVAYFNIEFTRCHKRTGFSTSPESPYTHWKQTVFYMEDYLTVKTGEEIFGTIGMRPNAKNNRDLDFTIDLDFKGQLCELSCSTDYRMR 种属同源性预测 |
| 宿主/亚型 | Rabbit / IgG |
| 抗体类别 | Polyclonal |
| 产品类型 | Antibody |
| 全称 | protein arginine methyltransferase 1 |
| 别名 | ANM1, EC:2.1.1.319, HCP1, Histone-arginine N-methyltransferase PRMT1, HRMT1L2 |
| 计算分子量 | 42 kDa |
| 观测分子量 | 40-42 kDa |
| GenBank蛋白编号 | BC019268 |
| 基因名称 | PRMT1 |
| Gene ID (NCBI) | 3276 |
| RRID | AB_2171319 |
| 偶联类型 | Unconjugated |
| 形式 | Liquid |
| 纯化方式 | Antigen affinity purification |
| UNIPROT ID | Q99873 |
| 储存缓冲液 | PBS with 0.02% sodium azide and 50% glycerol, pH 7.3. |
| 储存条件 | Store at -20°C. Stable for one year after shipment. Aliquoting is unnecessary for -20oC storage. |
背景介绍
PRMT1, the major protein arginine methyltransferase in mammals, catalyzes monomethylation and asymmetric dimethylation of arginine side chains in proteins. Human PRMT1 is encoded by the PRMT1 gene located on chromosome 19 (19q13.3) and composed of 12 exons and 11 introns. At the protein level, human PRMT1 shares a high degree of homology with the different members of the PRMT family that is conserved in eukaryotes. Phylogenetic studies based on the methyltransferase domain highlighted that PRMT1 is closely related to PRMT8.
实验方案
| Product Specific Protocols | |
|---|---|
| FC protocol for PRMT1 antibody 11279-1-AP | Download protocol |
| IF protocol for PRMT1 antibody 11279-1-AP | Download protocol |
| IHC protocol for PRMT1 antibody 11279-1-AP | Download protocol |
| IP protocol for PRMT1 antibody 11279-1-AP | Download protocol |
| WB protocol for PRMT1 antibody 11279-1-AP | Download protocol |
| Standard Protocols | |
|---|---|
| Click here to view our Standard Protocols |
发表文章
| Species | Application | Title |
|---|---|---|
Cell Metab Thymidine kinase 1 drives hepatocellular carcinoma in enzyme-dependent and -independent manners | ||
Nucleic Acids Res RNA helicase D1PAS1 resolves R-loops and forms a complex for mouse pachytene piRNA biogenesis required for male fertility | ||
Cell Death Dis PRMT1-mediated PGK1 arginine methylation promotes colorectal cancer glycolysis and tumorigenesis | ||
Cell Death Dis TRIM21-mediated PRMT1 degradation attenuates colorectal cancer malignant progression | ||
NPJ Precis Oncol The SMARCA4R1157W mutation facilitates chromatin remodeling and confers PRMT1/SMARCA4 inhibitors sensitivity in colorectal cancer |








