验证数据展示
经过测试的应用
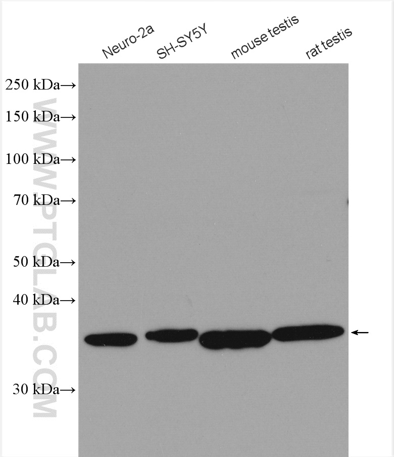
| Positive WB detected in | Neuro-2a cells, HeLa cells, SH-SY5Y cells, mouse testis tissue, rat testis tissue |
| Positive IHC detected in | human breast cancer tissue Note: suggested antigen retrieval with TE buffer pH 9.0; (*) Alternatively, antigen retrieval may be performed with citrate buffer pH 6.0 |
推荐稀释比
| 应用 | 推荐稀释比 |
|---|---|
| Western Blot (WB) | WB : 1:500-1:2000 |
| Immunohistochemistry (IHC) | IHC : 1:50-1:500 |
| It is recommended that this reagent should be titrated in each testing system to obtain optimal results. | |
| Sample-dependent, Check data in validation data gallery. | |
发表文章中的应用
| WB | See 5 publications below |
| IF | See 1 publications below |
产品信息
24503-1-AP targets PRKACA in WB, IHC, IF, ELISA applications and shows reactivity with human, mouse, rat samples.
| 经测试应用 | WB, IHC, ELISA Application Description |
| 文献引用应用 | WB, IF |
| 经测试反应性 | human, mouse, rat |
| 文献引用反应性 | human, mouse, rat |
| 免疫原 |
CatNo: Ag21478 Product name: Recombinant human PRKACA protein Source: e coli.-derived, PET28a Tag: 6*His Domain: 1-351 aa of BC039846 Sequence: MGNAAAAKKGSEQESVKEFLAKAKEDFLKKWESPAQNTAHLDQFERIKTLGTGSFGRVMLVKHKETGNHYAMKILDKQKVVKLKQIEHTLNEKRILQAVNFPFLVKLEFSFKDNSNLYMVMEYVPGGEMFSHLRRIGRFSEPHARFYAAQIVLTFEYLHSLDLIYRDLKPENLLIDQQGYIQVTDFGFAKRVKGRTWTLCGTPEYLAPEIILSKGYNKAVDWWALGVLIYEMAAGYPPFFADQPIQIYEKIVSGKVRFPSHFSSDLKDLLRNLLQVDLTKRFGNLKNGVNDIKNHKWFATTDWIAIYQRKVEAPFIPKFKGPGDTSNFDDYEEEEIRVSINEKCGKEFSEF 种属同源性预测 |
| 宿主/亚型 | Rabbit / IgG |
| 抗体类别 | Polyclonal |
| 产品类型 | Antibody |
| 全称 | protein kinase, cAMP-dependent, catalytic, alpha |
| 别名 | cAMP-dependent protein kinase catalytic subunit alpha, EC:2.7.11.11, PKA C alpha, PKA C-alpha, PKACA |
| 计算分子量 | 41 kDa |
| 观测分子量 | 38-43 kDa |
| GenBank蛋白编号 | BC039846 |
| 基因名称 | PRKACA |
| Gene ID (NCBI) | 5566 |
| RRID | AB_2879578 |
| 偶联类型 | Unconjugated |
| 形式 | Liquid |
| 纯化方式 | Antigen affinity purification |
| UNIPROT ID | P17612 |
| 储存缓冲液 | PBS with 0.02% sodium azide and 50% glycerol, pH 7.3. |
| 储存条件 | Store at -20°C. Stable for one year after shipment. Aliquoting is unnecessary for -20oC storage. |
背景介绍
PRKACA (protein kinase cAMP-activated catalytic subunit alpha) is a gene that encodes the catalytic subunit alpha of protein kinase A (PKA), a critical enzyme in the cyclic adenosine monophosphate (cAMP) signaling pathway. Functioning as the primary effector of cAMP, this kinase regulates a vast array of cellular processes, including metabolism, gene expression, cell cycle progression, and synaptic plasticity. Under basal conditions, the catalytic subunit is held inactive by regulatory subunits; upon cAMP binding, it is released and phosphorylates a diverse range of substrate proteins on serine and threonine residues. Beyond its physiological roles, aberrant PRKACA activity, particularly gene fusions and copy number gains, is a well-established driver of specific human diseases, most notably fibrolamellar hepatocellular carcinoma (FLC), where a characteristic DNAJB1-PRKACA fusion acts as the oncogenic driver.
实验方案
| Product Specific Protocols | |
|---|---|
| IHC protocol for PRKACA antibody 24503-1-AP | Download protocol |
| WB protocol for PRKACA antibody 24503-1-AP | Download protocol |
| Standard Protocols | |
|---|---|
| Click here to view our Standard Protocols |
发表文章
| Species | Application | Title |
|---|---|---|
Front Pharmacol Integrating network pharmacology and experimental verification to explore the mechanism of puerarin against oliguria in acute alcoholism | ||
Cell Mol Life Sci ZMYND12 serves as an IDAd subunit that is essential for sperm motility in mice | ||
Stem Cell Res Ther MSCs-derived HGF alleviates senescence by inhibiting unopposed mitochondrial fusion-based elongation in post-acute kidney injury | ||
Phytomedicine Peiyuan Ningshen-ointment alleviates learning and memory impairment induced by sleep deprivation through activating the cAMP/PKA signaling pathway | ||
ACS Omega Serum Pharmacology Combined with Network Pharmacology Reveals the Effects and Mechanisms of Ganmai Dazao Decoction in the Treatment of Depression |



