验证数据展示
经过测试的应用
| Positive WB detected in | HeLa cells, Jurkat cells, NIH/3T3 cells, J774A.1 cells, RAW 264.7 cells, PC-12 cells |
| Positive IP detected in | HeLa cells |
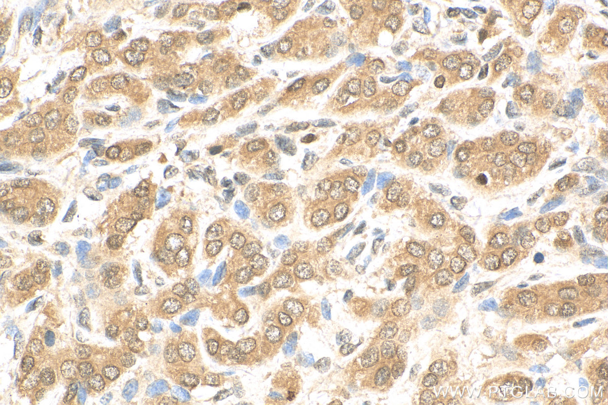
| Positive IHC detected in | human prostate cancer tissue Note: suggested antigen retrieval with TE buffer pH 9.0; (*) Alternatively, antigen retrieval may be performed with citrate buffer pH 6.0 |
| Positive IF/ICC detected in | HepG2 cells |
推荐稀释比
| 应用 | 推荐稀释比 |
|---|---|
| Western Blot (WB) | WB : 1:5000-1:50000 |
| Immunoprecipitation (IP) | IP : 0.5-4.0 ug for 1.0-3.0 mg of total protein lysate |
| Immunohistochemistry (IHC) | IHC : 1:50-1:500 |
| Immunofluorescence (IF)/ICC | IF/ICC : 1:200-1:800 |
| It is recommended that this reagent should be titrated in each testing system to obtain optimal results. | |
| Sample-dependent, Check data in validation data gallery. | |
产品信息
10929-2-AP targets AMPK Alpha in WB, IHC, IF/ICC, IP, ChIP, ELISA applications and shows reactivity with human, mouse, rat samples.
| 经测试应用 | WB, IHC, IF/ICC, IP, ELISA Application Description |
| 文献引用应用 | WB, IHC, IF, IP, ChIP, ELISA |
| 经测试反应性 | human, mouse, rat |
| 文献引用反应性 | human, mouse, rat, pig, rabbit, chicken, zebrafish, goat, fish, carp |
| 免疫原 |
CatNo: Ag1367 Product name: Recombinant human AMPK alpha protein Source: e coli.-derived, PGEX-4T Tag: GST Domain: 1-207 aa of BC012622 Sequence: MATAEKQKHDGRVKIGHYILGDTLGVGTFGKVKVGKHELTGHKVAVKILNRQKIRSLDVVGKIRREIQNLKLFRHPHIIKLYQVISTPSDIFMVMEYVSGGELFDYICKNGRLDEKESRRLFQQILSGVDYCHRHMVVHRDLKPENVLLDAHMNAKIADFGLSNMMSDGEFLRTSCGSPNYAAPEVISGRDCNIIRILTSQFTNYQH 种属同源性预测 |
| 宿主/亚型 | Rabbit / IgG |
| 抗体类别 | Polyclonal |
| 产品类型 | Antibody |
| 全称 | protein kinase, AMP-activated, alpha 1 catalytic subunit |
| 别名 | AMPK Alpha 1, PRKAA1, 5'-AMP-activated protein kinase catalytic subunit alpha-1, AAPK1, ACACA kinase |
| 计算分子量 | 63 kDa |
| 观测分子量 | 64 kDa |
| GenBank蛋白编号 | BC012622 |
| 基因名称 | AMPK Alpha 1 |
| Gene ID (NCBI) | 5562 |
| RRID | AB_2169568 |
| 偶联类型 | Unconjugated |
| 形式 | Liquid |
| 纯化方式 | Antigen affinity purification |
| UNIPROT ID | Q13131 |
| 储存缓冲液 | PBS with 0.02% sodium azide and 50% glycerol, pH 7.3. |
| 储存条件 | Store at -20°C. Stable for one year after shipment. Aliquoting is unnecessary for -20oC storage. |
背景介绍
The mammalian 5-prime-AMP-activated protein kinase (AMPK) appears to play a role in protecting cells from stresses that cause ATP depletion by switching off ATP-consuming biosynthetic pathways. PRKAA1 is also named as AMPK1, ACACA kinase, HMGCR kinase. It is a mammalian homologue of sucrose non-fermenting protein kinase (SNF-1), which belongs to a serine/threonine protein kinase family. It has 2 isoforms with molecular mass of 63-66 kDa produced by alternative splicing.10929-2-AP can recognize both AMPK Alpha 1 and AMPK Alpha 2.
实验方案
| Product Specific Protocols | |
|---|---|
| IF protocol for AMPK Alpha antibody 10929-2-AP | Download protocol |
| IHC protocol for AMPK Alpha antibody 10929-2-AP | Download protocol |
| IP protocol for AMPK Alpha antibody 10929-2-AP | Download protocol |
| WB protocol for AMPK Alpha antibody 10929-2-AP | Download protocol |
| Standard Protocols | |
|---|---|
| Click here to view our Standard Protocols |
发表文章
| Species | Application | Title |
|---|---|---|
Signal Transduct Target Ther Glibenclamide targets MDH2 to relieve aging phenotypes through metabolism-regulated epigenetic modification | ||
Adv Sci (Weinh) Mitigating Doxorubicin-Induced Cardiotoxicity and Enhancing Anti-Tumor Efficacy with a Metformin-Integrated Self-Assembled Nanomedicine | ||
Adv Sci (Weinh) POSTN-Mediated Interplay of M1 Polarized Macrophage with Tendon-Derived Stem Cells to Drive Traumatic Heterotopic Ossification Formation through PTK7/ATK Signaling | ||
Autophagy Periplocin suppresses the growth of colorectal cancer cells by triggering LGALS3 (galectin 3)-mediated lysophagy | ||
Autophagy The AMPK-MFN2 axis regulates MAM dynamics and autophagy induced by energy stresses.
|





