验证数据展示
经过测试的应用
| Positive WB detected in | SKOV-3 cells, 3T3-L1 cells , HT-1080 cells, HepG2 cells |
| Positive IP detected in | SKOV-3 cells |
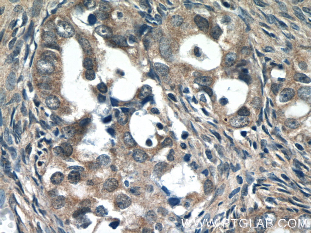
| Positive IHC detected in | mouse intestine, human ovary tumor tissue, human prostate cancer tissue Note: suggested antigen retrieval with TE buffer pH 9.0; (*) Alternatively, antigen retrieval may be performed with citrate buffer pH 6.0 |
| Positive IF/ICC detected in | HepG2 cells |
推荐稀释比
| 应用 | 推荐稀释比 |
|---|---|
| Western Blot (WB) | WB : 1:500-1:1000 |
| Immunoprecipitation (IP) | IP : 0.5-4.0 ug for 1.0-3.0 mg of total protein lysate |
| Immunohistochemistry (IHC) | IHC : 1:500-1:2000 |
| Immunofluorescence (IF)/ICC | IF/ICC : 1:50-1:500 |
| It is recommended that this reagent should be titrated in each testing system to obtain optimal results. | |
| Sample-dependent, Check data in validation data gallery. | |
产品信息
10146-2-AP targets PREB in WB, IHC, IF/ICC, IP, CoIP, ELISA applications and shows reactivity with human, mouse samples.
| 经测试应用 | WB, IHC, IF/ICC, IP, ELISA Application Description |
| 文献引用应用 | WB, IF, IP, CoIP |
| 经测试反应性 | human, mouse |
| 文献引用反应性 | human, mouse, rat |
| 免疫原 |
CatNo: Ag0202 Product name: Recombinant human PREB protein Source: e coli.-derived, PGEX-4T Tag: GST Domain: 13-202 aa of BC002765 Sequence: PFPLYALQVDPSTGLLIAAGGGGAAKTGIKNGVHFLQLELINGRLSASLLHSHDTETRATMNLALAGDILAAGQDAHCQLLRFQAHQQQGNKAEKAGSKEQGPRQRKGAAPAEKKCGAETQHEGLELRVENLQAVQTDFSSDPLQKVVCFNHDNTLLATGGTDGYVRVWKVPSLEKVLEFKAHEGEIEDL 种属同源性预测 |
| 宿主/亚型 | Rabbit / IgG |
| 抗体类别 | Polyclonal |
| 产品类型 | Antibody |
| 全称 | prolactin regulatory element binding |
| 别名 | SEC12, Prolactin regulatory element-binding protein, Guanine nucleotide-exchange factor SEC12 |
| 计算分子量 | 45 kDa |
| 观测分子量 | 45 kDa |
| GenBank蛋白编号 | BC002765 |
| 基因名称 | PREB |
| Gene ID (NCBI) | 10113 |
| RRID | AB_2168779 |
| 偶联类型 | Unconjugated |
| 形式 | Liquid |
| 纯化方式 | Antigen affinity purification |
| UNIPROT ID | Q9HCU5 |
| 储存缓冲液 | PBS with 0.02% sodium azide and 50% glycerol, pH 7.3. |
| 储存条件 | Store at -20°C. Stable for one year after shipment. Aliquoting is unnecessary for -20oC storage. |
背景介绍
PREB contains two PQ-rich potential transactivation domains, but no apparent DNA-binding motif, and exhibits sequence-specific binding to Pit1-binding element of the prolactin (PRL) promoter. It may act as a transcriptional regulator and is thought to be involved in some of the developmental abnormalities observed in patients with partial trisomy 2p.
实验方案
| Product Specific Protocols | |
|---|---|
| IF protocol for PREB antibody 10146-2-AP | Download protocol |
| IHC protocol for PREB antibody 10146-2-AP | Download protocol |
| IP protocol for PREB antibody 10146-2-AP | Download protocol |
| WB protocol for PREB antibody 10146-2-AP | Download protocol |
| Standard Protocols | |
|---|---|
| Click here to view our Standard Protocols |
发表文章
| Species | Application | Title |
|---|---|---|
EMBO J The unfolded protein response regulates ER exit sites via SNRPB-dependent RNA splicing and contributes to bone development | ||
Redox Biol Selenoprotein K contributes to CD36 subcellular trafficking in hepatocytes by accelerating nascent COPII vesicle formation and aggravates hepatic steatosis | ||
Int J Biol Macromol Cellular OCIAD2 protein is a proviral factor for hepatitis C virus replication. | ||
J Cell Sci A Wntless-SEC12 complex on the ER membrane regulates early Wnt secretory vesicle assembly and mature ligand export.
| ||
Biochem Biophys Res Commun Pull down assay for GTP-bound form of Sar1a reveals its activation during morphological differentiation. | ||
Biochim Biophys Acta Prolactin regulatory element-binding (PREB) protein regulates hepatic glucose homeostasis. |












