验证数据展示
经过测试的应用
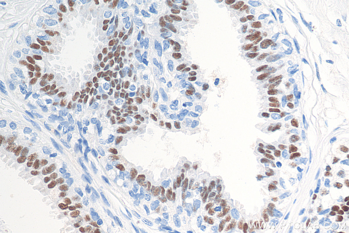
| Positive IHC detected in | human breast cancer tissue Note: suggested antigen retrieval with TE buffer pH 9.0; (*) Alternatively, antigen retrieval may be performed with citrate buffer pH 6.0 |
推荐稀释比
| 应用 | 推荐稀释比 |
|---|---|
| Immunohistochemistry (IHC) | IHC : 1:5000-1:15000 |
| It is recommended that this reagent should be titrated in each testing system to obtain optimal results. | |
| Sample-dependent, Check data in validation data gallery. | |
发表文章中的应用
| IHC | See 3 publications below |
产品信息
66300-1-Ig targets Progesterone Receptor in IHC, ELISA applications and shows reactivity with human samples.
| 经测试应用 | IHC, ELISA Application Description |
| 文献引用应用 | IHC |
| 经测试反应性 | human |
| 文献引用反应性 | human |
| 免疫原 |
CatNo: Ag22992 Product name: Recombinant human PR protein Source: e coli.-derived, PET28a Tag: 6*His Domain: 1-301 aa of NM_000926 Sequence: MTELKAKGPRAPHVAGGPPSPEVGSPLLCRPAAGPFPGSQTSDTLPEVSAIPISLDGLLFPRPCQGQDPSDEKTQDQQSLSDVEGAYSRAEATRGAGGSSSSPPEKDSGLLDSVLDTLLAPSGPGQSQPSPPACEVTSSWCLFGPELPEDPPAAPATQRVLSPLMSRSGCKVGDSSGTAAAHKVLPRGLSPARQLLLPASESPHWSGAPVKPSPQAAAVEVEEEDGSESEESAGPLLKGKPRALGGAAAGGGAAAVPPGAAAGGVALVPKEDSRFSAPRVALVEQDAPMAPGRSPLATTVM 种属同源性预测 |
| 宿主/亚型 | Mouse / IgG1 |
| 抗体类别 | Monoclonal |
| 产品类型 | Antibody |
| 全称 | progesterone receptor |
| 别名 | PGR, 3D1D12, NR3C3, PR, PRGR |
| 计算分子量 | 933 aa, 99 kDa |
| GenBank蛋白编号 | NM_000926 |
| 基因名称 | Progesterone Receptor |
| Gene ID (NCBI) | 5241 |
| RRID | AB_2881683 |
| 偶联类型 | Unconjugated |
| 形式 | Liquid |
| 纯化方式 | Protein G purification |
| UNIPROT ID | P06401 |
| 储存缓冲液 | PBS with 0.02% sodium azide and 50% glycerol, pH 7.3. |
| 储存条件 | Store at -20°C. Stable for one year after shipment. Aliquoting is unnecessary for -20oC storage. |
背景介绍
PGR (Progesterone Receptor), also named as NR3C3 and PR, belongs to the nuclear hormone receptor family and NR3 subfamily. The steroid hormones and their receptors are involved in the regulation of eukaryotic gene expression and affect cellular proliferation and differentiation in target tissues. Progesterone receptor isoform B (PRB) is involved activation of c-SRC/MAPK signaling on hormone stimulation. The ER and PR status has been used as a predictor of breast carcinoma responsiveness to endocrine therapy and as a prognostic indicator for early recurrence.
实验方案
| Product Specific Protocols | |
|---|---|
| IHC protocol for Progesterone Receptor antibody 66300-1-Ig | Download protocol |
| Standard Protocols | |
|---|---|
| Click here to view our Standard Protocols |
发表文章
| Species | Application | Title |
|---|---|---|
Ann Med Organoids from patient biopsy samples can predict the response of BC patients to neoadjuvant chemotherapy | ||
Mol Med Rep HPK1 positive expression associated with longer overall survival in patients with estrogen receptor-positive invasive ductal carcinoma‑not otherwise specified. | ||
Int Immunopharmacol Development and In vitro antitumor evaluation of a novel anti-p16 antibody fragment-drug conjugate. |


