验证数据展示
经过测试的应用
| Positive WB detected in | T-47D cells |
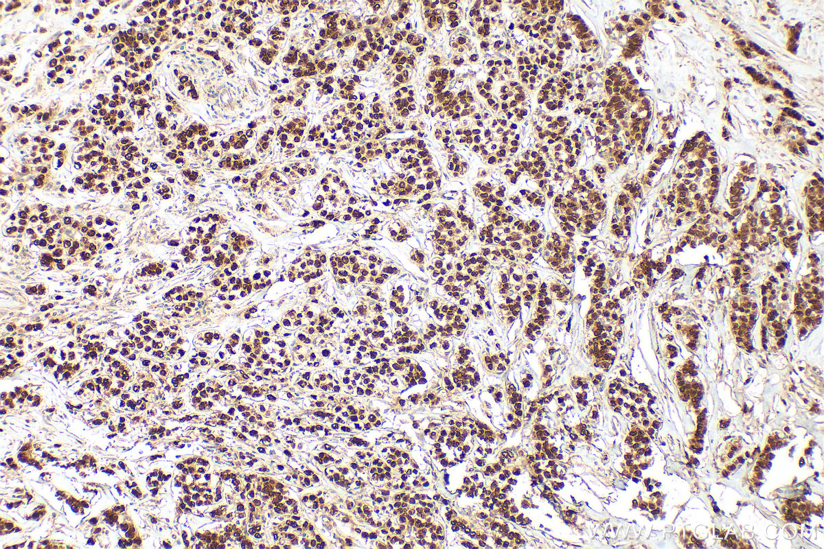
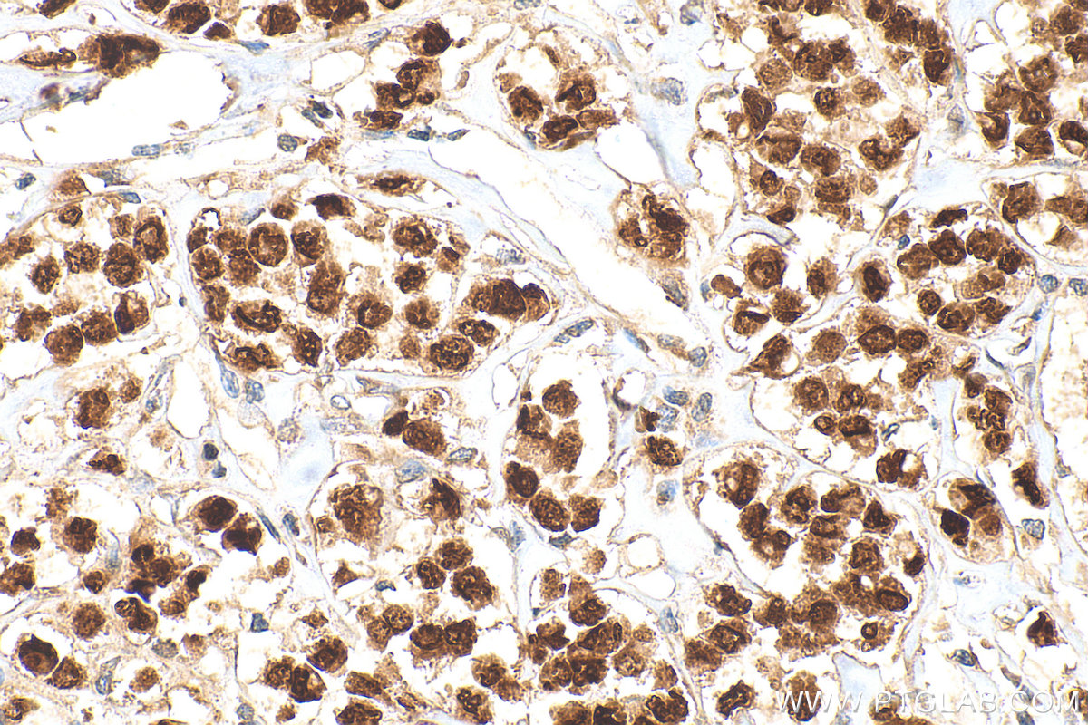
| Positive IHC detected in | human breast cancer tissue, human ovary tumor tissue Note: suggested antigen retrieval with TE buffer pH 9.0; (*) Alternatively, antigen retrieval may be performed with citrate buffer pH 6.0 |
| Positive IF-P detected in | human breast cancer tissue |
| Positive IF/ICC detected in | T-47D cells |
推荐稀释比
| 应用 | 推荐稀释比 |
|---|---|
| Western Blot (WB) | WB : 1:5000-1:50000 |
| Immunohistochemistry (IHC) | IHC : 1:200-1:800 |
| Immunofluorescence (IF)-P | IF-P : 1:250-1:1000 |
| Immunofluorescence (IF)/ICC | IF/ICC : 1:50-1:500 |
| It is recommended that this reagent should be titrated in each testing system to obtain optimal results. | |
| Sample-dependent, Check data in validation data gallery. | |
产品信息
25871-1-AP targets Progesterone Receptor in WB, IHC, IF/ICC, IF-P, ELISA applications and shows reactivity with human, mouse samples.
| 经测试应用 | WB, IHC, IF/ICC, IF-P, ELISA Application Description |
| 文献引用应用 | WB, IHC, IF |
| 经测试反应性 | human, mouse |
| 文献引用反应性 | human, mouse, rat, pig, canine, bovine, goat |
| 免疫原 |
CatNo: Ag22986 Product name: Recombinant human PR protein Source: e coli.-derived, PGEX-4T Tag: GST Domain: 1-301 aa of NM_000926 Sequence: MTELKAKGPRAPHVAGGPPSPEVGSPLLCRPAAGPFPGSQTSDTLPEVSAIPISLDGLLFPRPCQGQDPSDEKTQDQQSLSDVEGAYSRAEATRGAGGSSSSPPEKDSGLLDSVLDTLLAPSGPGQSQPSPPACEVTSSWCLFGPELPEDPPAAPATQRVLSPLMSRSGCKVGDSSGTAAAHKVLPRGLSPARQLLLPASESPHWSGAPVKPSPQAAAVEVEEEDGSESEESAGPLLKGKPRALGGAAAGGGAAAVPPGAAAGGVALVPKEDSRFSAPRVALVEQDAPMAPGRSPLATTVM 种属同源性预测 |
| 宿主/亚型 | Rabbit / IgG |
| 抗体类别 | Polyclonal |
| 产品类型 | Antibody |
| 全称 | progesterone receptor |
| 别名 | PGR, NR3C3, PR, PRGR |
| 计算分子量 | 933 aa, 99 kDa |
| 观测分子量 | 80 kDa, 110-115 kDa |
| GenBank蛋白编号 | NM_000926 |
| 基因名称 | Progesterone Receptor |
| Gene ID (NCBI) | 5241 |
| RRID | AB_2880277 |
| 偶联类型 | Unconjugated |
| 形式 | Liquid |
| 纯化方式 | Antigen affinity purification |
| UNIPROT ID | P06401 |
| 储存缓冲液 | PBS with 0.02% sodium azide and 50% glycerol, pH 7.3. |
| 储存条件 | Store at -20°C. Stable for one year after shipment. Aliquoting is unnecessary for -20oC storage. |
背景介绍
PGR (Progesterone Receptor), also named as NR3C3 and PR, belongs to the nuclear hormone receptor family and NR3 subfamily. The steroid hormones and their receptors are involved in the regulation of eukaryotic gene expression and affect cellular proliferation and differentiation in target tissues. Progesterone receptor isoform B (PRB) is involved activation of c-SRC/MAPK signaling on hormone stimulation. The ER and PR status has been used as a predictor of breast carcinoma responsiveness to endocrine therapy and as a prognostic indicator for early recurrence. This antibody recognizes both PR-A and PR-B.
实验方案
| Product Specific Protocols | |
|---|---|
| IF protocol for Progesterone Receptor antibody 25871-1-AP | Download protocol |
| IHC protocol for Progesterone Receptor antibody 25871-1-AP | Download protocol |
| WB protocol for Progesterone Receptor antibody 25871-1-AP | Download protocol |
| Standard Protocols | |
|---|---|
| Click here to view our Standard Protocols |
发表文章
| Species | Application | Title |
|---|---|---|
Nat Commun Glucocorticoid receptor regulates PD-L1 and MHC-I in pancreatic cancer cells to promote immune evasion and immunotherapy resistance. | ||
Nucleic Acids Res ZNF598 co-translationally titrates poly(GR) protein implicated in the pathogenesis of C9ORF72-associated ALS/FTD | ||
Acta Neuropathol Increased prevalence of granulovacuolar degeneration in C9orf72 mutation. | ||
J Anim Sci Biotechnol Dietary supplementation with N-acetyl-L-cysteine ameliorates hyperactivated ERK signaling in the endometrium that is linked to poor pregnancy outcomes following ovarian stimulation in pigs | ||
Int J Mol Sci The High Level of RANKL Improves IκB/p65/Cyclin D1 Expression and Decreases p-Stat5 Expression in Firm Udder of Dairy Goats | ||
Front Endocrinol (Lausanne) Effect of acupuncture on the opening time of implantation window and endometrial receptivity in controlled ovarian hyperstimulation rats during peri-implantation period |






