验证数据展示
经过测试的应用
| Positive WB detected in | HeLa cells, NCI-H1299 cells, A549 cells, U-251 cells |
| Positive IP detected in | A549 cells |
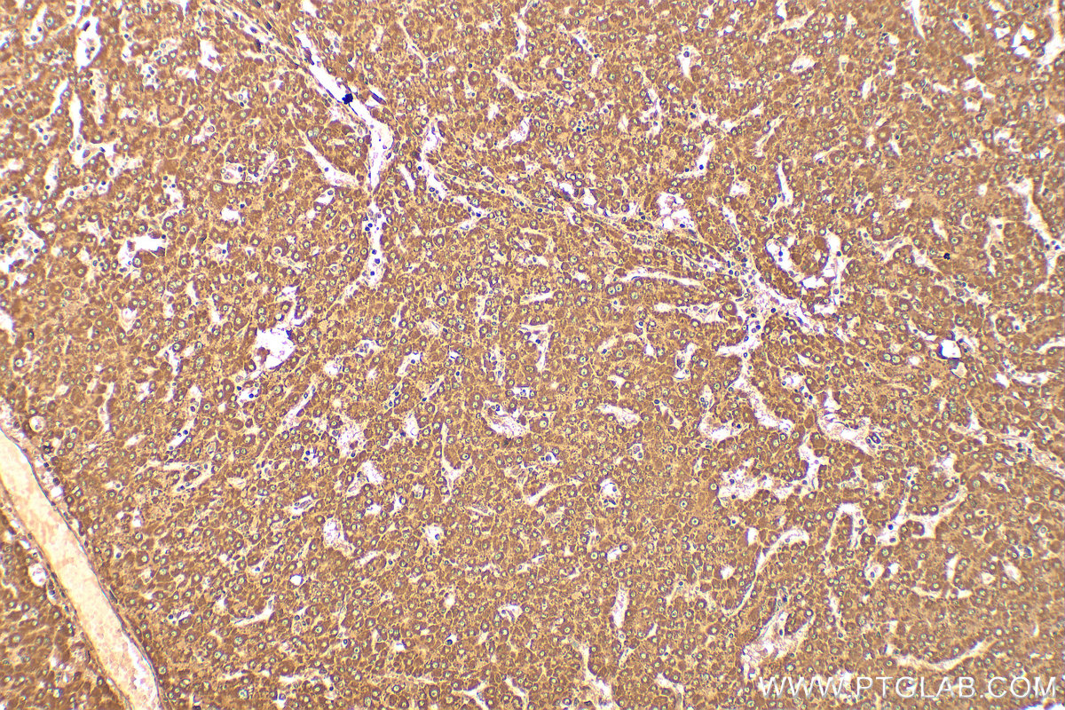
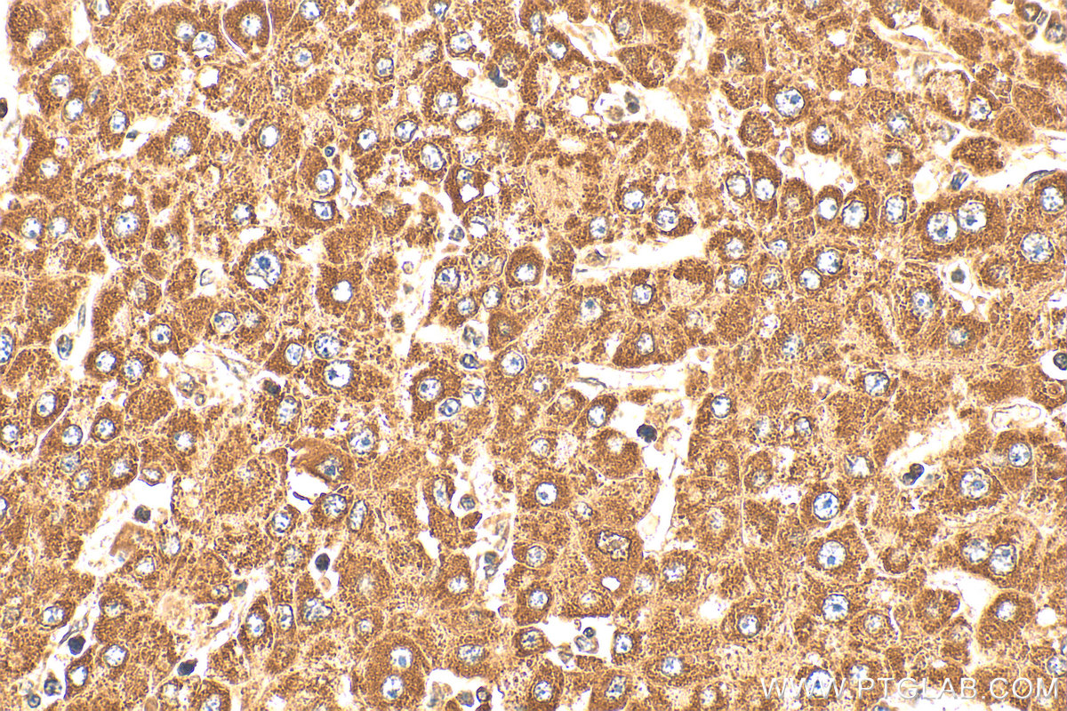
| Positive IHC detected in | human liver cancer tissue, human lung cancer tissue Note: suggested antigen retrieval with TE buffer pH 9.0; (*) Alternatively, antigen retrieval may be performed with citrate buffer pH 6.0 |
| Positive IF/ICC detected in | HepG2 cells |
推荐稀释比
| 应用 | 推荐稀释比 |
|---|---|
| Western Blot (WB) | WB : 1:300-1:600 |
| Immunoprecipitation (IP) | IP : 0.5-4.0 ug for 1.0-3.0 mg of total protein lysate |
| Immunohistochemistry (IHC) | IHC : 1:50-1:500 |
| Immunofluorescence (IF)/ICC | IF/ICC : 1:10-1:100 |
| It is recommended that this reagent should be titrated in each testing system to obtain optimal results. | |
| Sample-dependent, Check data in validation data gallery. | |
产品信息
20517-1-AP targets PPPDE1/PNAS4 in WB, IHC, IF/ICC, IP, ELISA applications and shows reactivity with human samples.
| 经测试应用 | WB, IHC, IF/ICC, IP, ELISA Application Description |
| 文献引用应用 | WB, IHC, IF |
| 经测试反应性 | human |
| 文献引用反应性 | human, mouse, rat |
| 免疫原 |
CatNo: Ag14352 Product name: Recombinant human PPPDE1 protein Source: e coli.-derived, PGEX-4T Tag: GST Domain: 1-194 aa of BC004485 Sequence: MGANQLVVLNVYDMYWMNEYTSSIGIGVFHSGIEVYGREFAYGGHPYPFSGIFEISPGNASELGETFKFKEAVVLGSTDFLEDDIEKIVEELGKEYKGNAYHLMHKNCNHFSSALSEILCGKEIPRWINRLAYFSSCIPFLQSCLPKEWLTPAALQSSVSQELQDELEEAEDAAASASVASTAAGSRPGRHTKL 种属同源性预测 |
| 宿主/亚型 | Rabbit / IgG |
| 抗体类别 | Polyclonal |
| 产品类型 | Antibody |
| 全称 | PPPDE peptidase domain containing 1 |
| 别名 | PPPDE1, CGI-146, DESI2, DeSI-2, Desumoylating isopeptidase 2 |
| 计算分子量 | 194 aa, 21 kDa |
| 观测分子量 | 23 kDa |
| GenBank蛋白编号 | BC004485 |
| 基因名称 | PPPDE1 |
| Gene ID (NCBI) | 51029 |
| RRID | AB_10696177 |
| 偶联类型 | Unconjugated |
| 形式 | Liquid |
| 纯化方式 | Antigen affinity purification |
| UNIPROT ID | Q9BSY9 |
| 储存缓冲液 | PBS with 0.02% sodium azide and 50% glycerol, pH 7.3. |
| 储存条件 | Store at -20°C. Stable for one year after shipment. Aliquoting is unnecessary for -20oC storage. |
背景介绍
PPPDE peptidase domain 1 (PPPDE1), also named as PNAS4, is a highly conserved gene ubiquitously expressed in various tissues. PPPDE1 has been identified as a novel pro-apoptotic gene activated during the early response to DNA damage which is thought to play a critical role in cellular function regarding the maintenance of genomic integrity. This antibody specifically recognized endogenous PPPDE1, which has been confirmed by siRNA test.
实验方案
| Product Specific Protocols | |
|---|---|
| IF protocol for PPPDE1/PNAS4 antibody 20517-1-AP | Download protocol |
| IHC protocol for PPPDE1/PNAS4 antibody 20517-1-AP | Download protocol |
| IP protocol for PPPDE1/PNAS4 antibody 20517-1-AP | Download protocol |
| WB protocol for PPPDE1/PNAS4 antibody 20517-1-AP | Download protocol |
| Standard Protocols | |
|---|---|
| Click here to view our Standard Protocols |
发表文章
| Species | Application | Title |
|---|---|---|
Apoptosis PPPDE1 promotes hepatocellular carcinoma development by negatively regulate p53 and apoptosis. | ||
Exp Cell Res Upregulation of PPPDE1 contributes to anorectal malformations via the mitochondrial apoptosis pathway during hindgut development in rats. | ||
Biochimie Comprehensive analysis of expression profile reveals the ubiquitous distribution of PPPDE peptidase domain 1, a Golgi apparatus component, and its implications in clinical cancer. | ||
Biochem Biophys Res Commun PPPDE1 is a novel deubiquitinase belonging to a cysteine isopeptidase family. | ||
Pathol Oncol Res High Phosphorylation Status of AKT/mTOR Signal in DESI2-Reduced Pancreatic Ductal Adenocarcinoma. | ||
Oncol Lett Analysis of transcription profile to reveal altered signaling pathways following the overexpression of human desumoylating isopeptidase 2 in pancreatic cancer cells. |










