验证数据展示
经过测试的应用
| Positive WB detected in | mouse testis tissue | 
| Positive IP detected in | mouse testis tissue | 
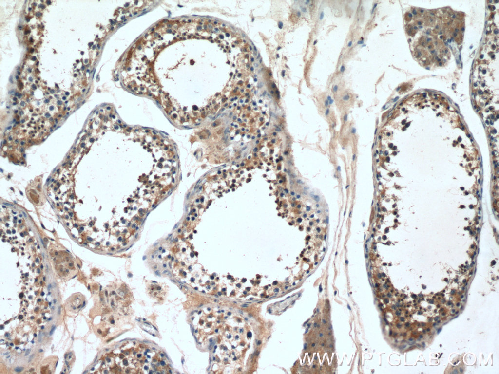
| Positive IHC detected in | human testis tissue,  human prostate cancer tissue Note: suggested antigen retrieval with TE buffer pH 9.0; (*) Alternatively, antigen retrieval may be performed with citrate buffer pH 6.0  | 
推荐稀释比
| 应用 | 推荐稀释比 | 
|---|---|
| Western Blot (WB) | WB : 1:500-1:1000 | 
| Immunoprecipitation (IP) | IP : 0.5-4.0 ug for 1.0-3.0 mg of total protein lysate | 
| Immunohistochemistry (IHC) | IHC : 1:50-1:500 | 
| It is recommended that this reagent should be titrated in each testing system to obtain optimal results. | |
| Sample-dependent, Check data in validation data gallery. | |
产品信息
14005-1-AP targets PPP3R2 in WB, IP, IF, IHC, ELISA applications and shows reactivity with human, mouse samples.
| 经测试应用 | WB, IP, IHC, ELISA Application Description | 
| 文献引用应用 | WB, IF, IHC | 
| 经测试反应性 | human, mouse | 
| 文献引用反应性 | mouse | 
| 免疫原 | 
                                             CatNo: Ag5097 Product name: Recombinant human PPP3R2 protein Source: e coli.-derived, PGEX-4T Tag: GST Domain: 1-173 aa of BC030595 Sequence: MSTMGNEASYPAEMCSHFDNDEIKRLGRRFKKLDLDKSGSLSVEEFMSLPELRHNPLVRRVIDVFDTDGDGEVDFKEFILGTSQFSVKGDEEQKLRFAFSIYDMDKDGYISNGELFQVLKMMVGNNLTDWQLQQLVDKTIIILDKDGDGKISFEEFSAVVRDLEIHKKLVLIV 种属同源性预测 | 
                                    
| 宿主/亚型 | Rabbit / IgG | 
| 抗体类别 | Polyclonal | 
| 产品类型 | Antibody | 
| 全称 | protein phosphatase 3 (formerly 2B), regulatory subunit B, beta isoform | 
| 别名 | Calcineurin B like protein, Calcineurin BII, Calcineurin subunit B type 2, CBLP, CNBII, PPP3R2, PPP3RL | 
| 计算分子量 | 20 kDa | 
| 观测分子量 | 20 kDa | 
| GenBank蛋白编号 | BC030595 | 
| 基因名称 | PPP3R2 | 
| Gene ID (NCBI) | 5535 | 
| RRID | AB_2168590 | 
| 偶联类型 | Unconjugated | 
| 形式 | Liquid | 
| 纯化方式 | Antigen affinity purification | 
| UNIPROT ID | Q96LZ3 | 
| 储存缓冲液 | PBS with 0.02% sodium azide and 50% glycerol, pH 7.3. | 
| 储存条件 | Store at -20°C. Stable for one year after shipment. Aliquoting is unnecessary for -20oC storage. | 
实验方案
| Product Specific Protocols | |
|---|---|
| IHC protocol for PPP3R2 antibody 14005-1-AP | Download protocol | 
| IP protocol for PPP3R2 antibody 14005-1-AP | Download protocol | 
| WB protocol for PPP3R2 antibody 14005-1-AP | Download protocol | 
| Standard Protocols | |
|---|---|
| Click here to view our Standard Protocols | 
发表文章
| Species | Application | Title | 
|---|---|---|
Proc Natl Acad Sci U S A SPATA33 localizes calcineurin to the mitochondria and regulates sperm motility in mice. | ||
Cell Death Dis miR-146a facilitates osteoarthritis by regulating cartilage homeostasis via targeting Camk2d and Ppp3r2. | ||
FASEB J Roles of glycogen synthase kinase 3 alpha and calcineurin in regulating the ability of sperm to fertilize eggs. | ||
Eur J Pharmacol Stachydrine hydrochloride suppresses phenylephrine-induced pathological cardiac hypertrophy by inhibiting the calcineurin/nuclear factor of activated T-cell signalling pathway. | 






