验证数据展示
经过测试的应用
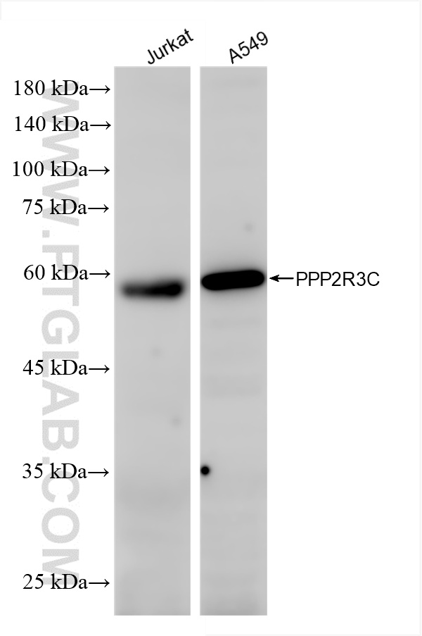
| Positive WB detected in | Jurkat cells, A549 cellls |
推荐稀释比
| 应用 | 推荐稀释比 |
|---|---|
| Western Blot (WB) | WB : 1:2000-1:10000 |
| It is recommended that this reagent should be titrated in each testing system to obtain optimal results. | |
| Sample-dependent, Check data in validation data gallery. | |
产品信息
86449-1-RR targets PPP2R3C in WB, ELISA applications and shows reactivity with human samples.
| 经测试应用 | WB, ELISA Application Description |
| 经测试反应性 | human |
| 免疫原 |
CatNo: Ag19282 Product name: Recombinant human PPP2R3C protein Source: e coli.-derived, PET28a Tag: 6*His Domain: 1-343 aa of BC063438 Sequence: MIGEEAMINYENFLKVGEKAGAKCKQFFTAKVFAKLLHTDSYGRISIMQFFNYVMRKVWLHQTRIGLSLYDVAGQGYLRESDLENYILELIPTLPQLDGLEKSFYSFYVCTAVRKFFFFLDPLRTGKIKIQDILACSFLDDLLELRDEELSKESQETNWFSAPSALRVYGQYLNLDKDHNGMLSKEELSRYGTATMTNVFLDRVFQECLTYDGEMDYKTYLDFVLALENRKEPAALQYIFKLLDIENKGYLNVFSLNYFFRAIQELMKIHGQDPVSFQDVKDEIFDMVKPKDPLKISLQDLINSNQGDTVTTILIDLNGFWTYENREALVANDSENSADLDDT 种属同源性预测 |
| 宿主/亚型 | Rabbit / IgG |
| 抗体类别 | Recombinant |
| 产品类型 | Antibody |
| 全称 | protein phosphatase 2 (formerly 2A), regulatory subunit B'', gamma |
| 别名 | C14orf10, G4 1, G5PR, Rhabdomyosarcoma antigen MU-RMS-40.6A/6C, Serine/threonine-protein phosphatase 2A regulatory subunit B'' subunit gamma |
| 计算分子量 | 453 aa, 53 kDa |
| 观测分子量 | 53 kDa |
| GenBank蛋白编号 | BC063438 |
| 基因名称 | PPP2R3C |
| Gene ID (NCBI) | 55012 |
| RRID | AB_3744890 |
| 偶联类型 | Unconjugated |
| 形式 | Liquid |
| 纯化方式 | Protein A purification |
| UNIPROT ID | Q969Q6 |
| 储存缓冲液 | PBS with 0.02% sodium azide and 50% glycerol, pH 7.3. |
| 储存条件 | Store at -20°C. Stable for one year after shipment. Aliquoting is unnecessary for -20oC storage. |
实验方案
| Product Specific Protocols | |
|---|---|
| WB protocol for PPP2R3C antibody 86449-1-RR | Download protocol |
| Standard Protocols | |
|---|---|
| Click here to view our Standard Protocols |

