验证数据展示
经过测试的应用
| Positive WB detected in | HeLa cells, Jurkat cells, MCF-7 cells, mouse brain tissue, pig brain tissue, rat brain tissue |
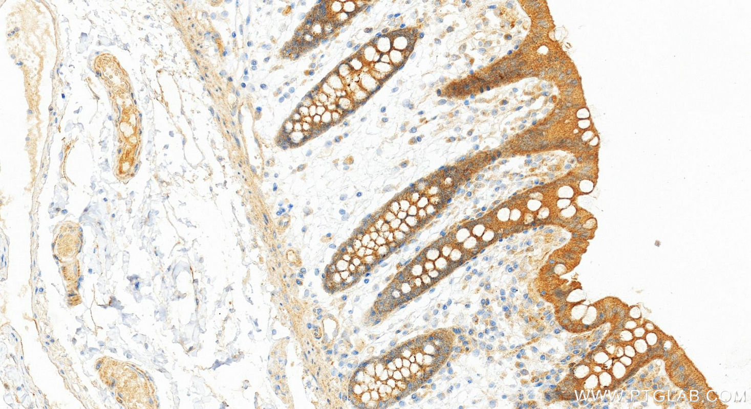
| Positive IHC detected in | human colon tissue Note: suggested antigen retrieval with TE buffer pH 9.0; (*) Alternatively, antigen retrieval may be performed with citrate buffer pH 6.0 |
推荐稀释比
| 应用 | 推荐稀释比 |
|---|---|
| Western Blot (WB) | WB : 1:1000-1:4000 |
| Immunohistochemistry (IHC) | IHC : 1:50-1:500 |
| It is recommended that this reagent should be titrated in each testing system to obtain optimal results. | |
| Sample-dependent, Check data in validation data gallery. | |
产品信息
84155-2-RR targets PPP2CA in WB, IHC, ELISA applications and shows reactivity with human, mouse, rat, pig samples.
| 经测试应用 | WB, IHC, ELISA Application Description |
| 经测试反应性 | human, mouse, rat, pig |
| 免疫原 |
CatNo: Ag4294 Product name: Recombinant human PPP2CA protein Source: e coli.-derived, PET28a Tag: 6*His Domain: 1-309 aa of BC031696 Sequence: MDEKVFTKELDQWIEQLNECKQLSESQVKSLCEKAKEILTKESNVQEVRCPVTVCGDVHGQFHDLMELFRIGGKSPDTNYLFMGDYVDRGYYSVETVTLLVALKVRYRERITILRGNHESRQITQVYGFYDECLRKYGNANVWKYFTDLFDYLPLTALVDGQIFCLHGGLSPSIDTLDHIRALDRLQEVPHEGPMCDLLWSDPDDRGGWGISPRGAGYTFGQDISETFNHANGLTLVSRAHQLVMEGYNWCHDRNVVTIFSAPNYCYRCGNQAAIMELDDTLKYSFLQFDPAPRRGEPHVTRRTPDYFL 种属同源性预测 |
| 宿主/亚型 | Rabbit / IgG |
| 抗体类别 | Recombinant |
| 产品类型 | Antibody |
| 全称 | protein phosphatase 2 (formerly 2A), catalytic subunit, alpha isoform |
| 别名 | 241112A6, EC:3.1.3.16, PP2A alpha, PP2A-alpha, PP2Ac |
| 计算分子量 | 309 aa, 36 kDa |
| 观测分子量 | 36 kDa |
| GenBank蛋白编号 | BC031696 |
| 基因名称 | PPP2CA |
| Gene ID (NCBI) | 5515 |
| RRID | AB_3743525 |
| 偶联类型 | Unconjugated |
| 形式 | Liquid |
| 纯化方式 | Protein A purification |
| UNIPROT ID | P67775 |
| 储存缓冲液 | PBS with 0.02% sodium azide and 50% glycerol, pH 7.3. |
| 储存条件 | Store at -20°C. Stable for one year after shipment. Aliquoting is unnecessary for -20oC storage. |
背景介绍
PPP2CA, also named as RP-C and PP2A-alpha, belongs to the PPP phosphatase family and PP-1 subfamily. PP2A can modulate the activity of phosphorylase B kinase casein kinase 2, mitogen-stimulated S6 kinase, and MAP-2 kinase. PP2A activity was modestly decreased in AML patients harboring C-KIT/WT.PP2A is a target for C-KIT/TKD and implicated the potential efficacy of therapies targeting PP2A in such AML in future.
实验方案
| Product Specific Protocols | |
|---|---|
| IHC protocol for PPP2CA antibody 84155-2-RR | Download protocol |
| WB protocol for PPP2CA antibody 84155-2-RR | Download protocol |
| Standard Protocols | |
|---|---|
| Click here to view our Standard Protocols |



