验证数据展示
经过测试的应用
| Positive WB detected in | Raji cells, Ramos cells, Daudi cells |
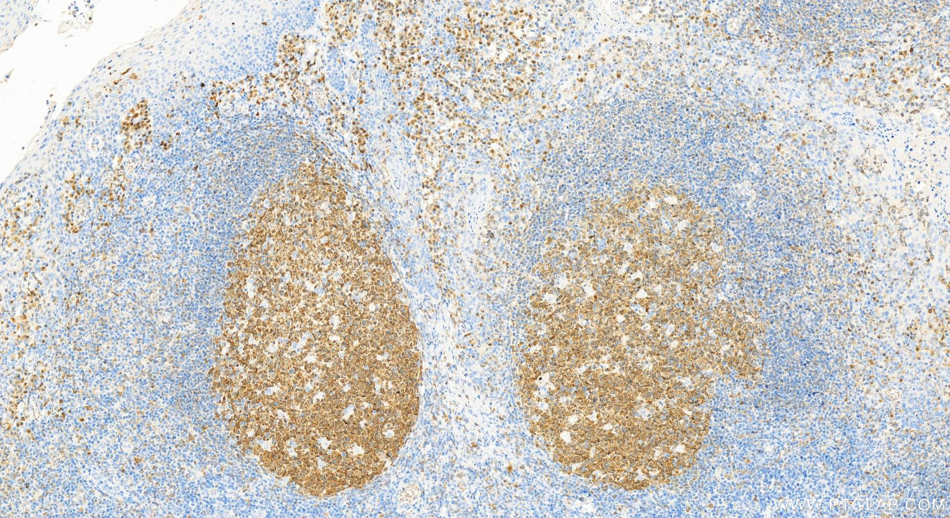
| Positive IHC detected in | Human tonsillitis tissue Note: suggested antigen retrieval with TE buffer pH 9.0; (*) Alternatively, antigen retrieval may be performed with citrate buffer pH 6.0 |
推荐稀释比
| 应用 | 推荐稀释比 |
|---|---|
| Western Blot (WB) | WB : 1:2000-1:10000 |
| Immunohistochemistry (IHC) | IHC : 1:850-1:3400 |
| It is recommended that this reagent should be titrated in each testing system to obtain optimal results. | |
| Sample-dependent, Check data in validation data gallery. | |
发表文章中的应用
| ChIP | See 1 publications below |
产品信息
66659-1-Ig targets POU2AF1 in WB, IHC, ChIP, ELISA applications and shows reactivity with human samples.
| 经测试应用 | WB, IHC, ELISA Application Description |
| 文献引用应用 | ChIP |
| 经测试反应性 | human |
| 免疫原 |
CatNo: Ag23613 Product name: Recombinant human POU2AF1 protein Source: e coli.-derived, PET28a Tag: 6*His Domain: 1-256 aa of BC032549 Sequence: MLWQKPTAPEQAPAPARPYQGVRVKEPVKELLRRKRGHASSGAAPAPTAVVLPHQPLATYTTVGPSCLDMEGSVSAVTEEAALCAGWLSQPTPATLQPLAPWTPYTEYVPHEAVSCPYSADMYVQPVCPSYTVVGPSSVLTYASPPLITNVTTRSSATPAVGPPLEGPEHQAPLTYFPWPQPLSTLPTSTLQYQPPAPALPGPQFVQLPISIPEPVLQDMEDPRRAASSLTIDKLLLEEEDSDAYALNHTLSVEGF 种属同源性预测 |
| 宿主/亚型 | Mouse / IgG1 |
| 抗体类别 | Monoclonal |
| 产品类型 | Antibody |
| 全称 | POU class 2 associating factor 1 |
| 别名 | 3C5A7, B-cell-specific coactivator OBF-1, BOB1, BOB-1, OBF1 |
| 计算分子量 | 256 aa, 27 kDa |
| 观测分子量 | 35 kDa |
| GenBank蛋白编号 | BC032549 |
| 基因名称 | POU2AF1 |
| Gene ID (NCBI) | 5450 |
| ENSEMBL Gene ID | ENSG00000110777 |
| RRID | AB_2882016 |
| 偶联类型 | Unconjugated |
| 形式 | Liquid |
| 纯化方式 | Protein G purification |
| UNIPROT ID | Q16633 |
| 储存缓冲液 | PBS with 0.02% sodium azide and 50% glycerol, pH 7.3. |
| 储存条件 | Store at -20°C. Stable for one year after shipment. Aliquoting is unnecessary for -20oC storage. |
背景介绍
POU2AF1, also named as BOB-1 or OCA-B, is a 256 amino acid protein, which belongs to the POU2AF1 family. POU2AF1 is expressed in B-cell specific. POU2AF1 as a transcriptional coactivator that specifically associates with either OCT1 or OCT2. It boosts the OCT1 mediated promoter activity and to a lesser extent, that of OCT2. It has no intrinsic DNA-binding activity. It recognizes the POU domains of OCT1 and OCT2. It is essential for the response of B-cells to antigens and required for the formation of germinal centers.The predicted size of this protein is 27 kDa. Studies have reported that the protein has a multi-band size of 34-35 kDa through siRNA interference experiments (PMID: 17621271). This result is the same as our experiments.
实验方案
| Product Specific Protocols | |
|---|---|
| IHC protocol for POU2AF1 antibody 66659-1-Ig | Download protocol |
| WB protocol for POU2AF1 antibody 66659-1-Ig | Download protocol |
| Standard Protocols | |
|---|---|
| Click here to view our Standard Protocols |


