验证数据展示
经过测试的应用
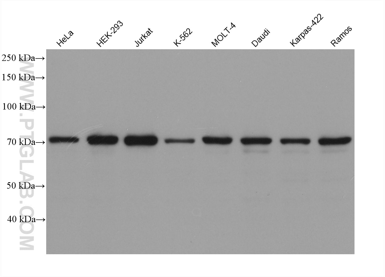
| Positive WB detected in | HeLa cells, HEK-293 cells, Jurkat cells, K-562 cells, MOLT-4 cells, Daudi cells, Karpas-422 cells, Ramos cells |
推荐稀释比
| 应用 | 推荐稀释比 |
|---|---|
| Western Blot (WB) | WB : 1:5000-1:50000 |
| It is recommended that this reagent should be titrated in each testing system to obtain optimal results. | |
| Sample-dependent, Check data in validation data gallery. | |
产品信息
60556-7-Ig targets POT1 in WB, ELISA applications and shows reactivity with human samples.
| 经测试应用 | WB, ELISA Application Description |
| 经测试反应性 | human |
| 免疫原 |
CatNo: Ag36974 Product name: Recombinant human POT1 protein Source: e coli.-derived, PET28a Tag: 6*His Domain: 336-634 aa of BC002923 Sequence: ILTDHQYLERTPLCAILKQKAPQQYRIRAKLRSYKPRRLFQSVKLHCPKCHLLQEVPHEGDLDIIFQDGATKTPDVKLQNTSLYDSKIWTTKNQKGRKVAVHFVKNNGILPLSNECLLLIEGGTLSEICKLSNKFNSVIPVRSGHEDLELLDLSAPFLIQGTIHHYGCKQCSSLRSIQNLNSLVDKTSWIPSSVAEALGIVPLQYVFVMTFTLDDGTGVLEAYLMDSDKFFQIPASEVLMDDDLQKSVDMIMDMFCPPGIKIDAYPWLECFIKSYNVTNGTDNQICYQIFDTTVAEDVI 种属同源性预测 |
| 宿主/亚型 | Mouse / IgG2a |
| 抗体类别 | Monoclonal |
| 产品类型 | Antibody |
| 全称 | POT1 protection of telomeres 1 homolog (S. pombe) |
| 别名 | hPot1, POT1-like telomere end-binding protein |
| 计算分子量 | 71 kDa |
| 观测分子量 | 71 kDa |
| GenBank蛋白编号 | BC002923 |
| 基因名称 | POT1 |
| Gene ID (NCBI) | 25913 |
| 偶联类型 | Unconjugated |
| 形式 | Liquid |
| 纯化方式 | Protein A purification |
| UNIPROT ID | Q9NUX5 |
| 储存缓冲液 | PBS with 0.02% sodium azide and 50% glycerol, pH 7.3. |
| 储存条件 | Store at -20°C. Stable for one year after shipment. Aliquoting is unnecessary for -20oC storage. |
背景介绍
Protection of telomeres 1(POT1) is a conserved protein that binds the G-rich stand of its own telomeric repeat sequence, with a role in protecting chromosome ends. It's housekeeping gene that is required to ensure the integrity of chromosome ends in all cells. It's a component of the telomerase ribonucleoprotein(RNP) complex that is esential for the replication of chromosome termini. It consists the TRF1 compex that is involved in the regulation of telomere length by cis-inhibition of telomerase. We have discovered that POT1 exists in at least three consistently occurring forms; 90, 70 and 45kDa. The unexpected molecular weights of POT1 seem to be associated with SUMO1 and ubiquitin conjugation; the latter occurring at a double lysine residue at 289-KK-290 (.PMID: 24054699)
实验方案
| Product Specific Protocols | |
|---|---|
| WB protocol for POT1 antibody 60556-7-Ig | Download protocol |
| Standard Protocols | |
|---|---|
| Click here to view our Standard Protocols |
