验证数据展示
经过测试的应用
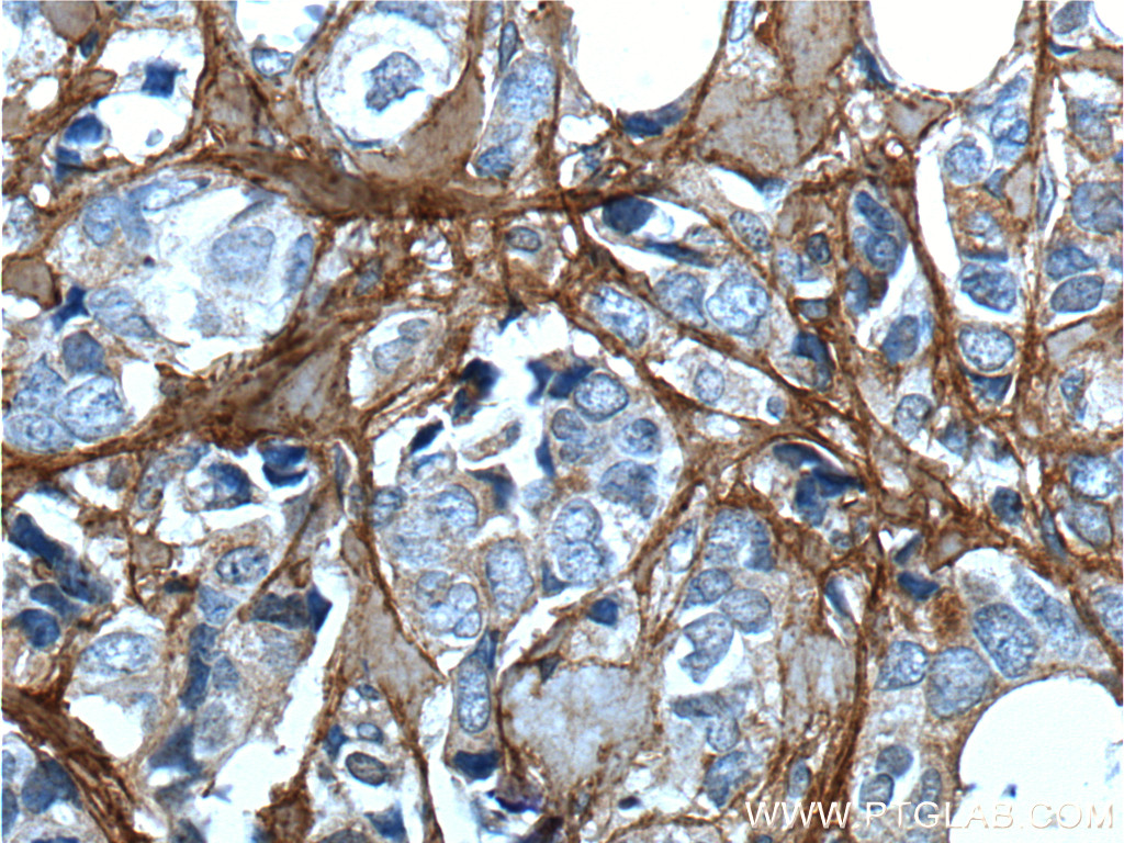
| Positive IHC detected in | human colon tissue, human breast cancer tissue,  human skin cancer tissue Note: suggested antigen retrieval with TE buffer pH 9.0; (*) Alternatively, antigen retrieval may be performed with citrate buffer pH 6.0 | 
推荐稀释比
| 应用 | 推荐稀释比 | 
|---|---|
| Immunohistochemistry (IHC) | IHC : 1:50-1:500 | 
| It is recommended that this reagent should be titrated in each testing system to obtain optimal results. | |
| Sample-dependent, Check data in validation data gallery. | |
发表文章中的应用
| IHC | See 11 publications below | 
| IF | See 22 publications below | 
产品信息
19899-1-AP targets Periostin in IHC, IF, ELISA applications and shows reactivity with human, mouse, rat samples.
| 经测试应用 | IHC, ELISA Application Description | 
| 文献引用应用 | IHC, IF | 
| 经测试反应性 | human, mouse, rat | 
| 文献引用反应性 | human, mouse, rat, zebrafish | 
| 免疫原 | CatNo: Ag13791 Product name: Recombinant human POSTN protein Source: e coli.-derived, PGEX-4T Tag: GST Domain: 21-368 aa of BC106710 Sequence: ANNHYDKILAHSRIRGRDQGPNVCALQQILGTKKKYFSTCKNWYKKSICGQKTTVLYECCPGYMRMEGMKGCPAVLPIDHVYGTLGIVGATTTQRYSDASKLREEIEGKGSFTYFAPSNEAWDNLDSDIRRGLESNVNVELLNALHSHMINKRMLTKDLKNGMIIPSMYNNLGLFINHYPNGVVTVNCARIIHGNQIATNGVVHVIDRVLTQIGTSIQDFIEAEDDLSSFRAAAITSDILEALGRDGHFTLFAPTNEAFEKLPRGVLERIMGDKVASEALMKYHILNTLQCSESIMGGAVFETLEGNTIEIGCDGDSITVNGIKMVNKKDIVTNNGVIHLIDQVLIPD种属同源性预测 | 
| 宿主/亚型 | Rabbit / IgG | 
| 抗体类别 | Polyclonal | 
| 产品类型 | Antibody | 
| 全称 | periostin, osteoblast specific factor | 
| 别名 | OSF 2, OSF2, OSF-2, Osteoblast specific factor 2, Osteoblast-specific factor 2 | 
| 计算分子量 | 93 kDa | 
| GenBank蛋白编号 | BC106710 | 
| 基因名称 | Periostin | 
| Gene ID (NCBI) | 10631 | 
| RRID | AB_10732682 | 
| 偶联类型 | Unconjugated | 
| 形式 | Liquid | 
| 纯化方式 | Antigen affinity purification | 
| UNIPROT ID | Q15063 | 
| 储存缓冲液 | PBS with 0.02% sodium azide and 50% glycerol, pH 7.3. | 
| 储存条件 | Store at -20°C. Stable for one year after shipment. Aliquoting is unnecessary for -20oC storage. | 
背景介绍
Periostin (POSTN, PN), originally named as osteoblast-specific factor 2 (OSF-2), is a 90-kDa secreted protein which is now classified as a matricellular protein. It is present in a wide variety of normal adult tissues and fetal tissues, and has a role in bone, tooth and heart development and function. Studies show that periostin is overexpressed in a broad range of human cancer types, including lung, ovary, breast and colon cancers. Recent evidence reveals that periostin is expressed by fibroblasts in the normal tissue and in the stroma of the primary tumour, and it is required to allow cancer stem cell maintenance. The isoforms of periostin are between 83 and 93 kDa in mass and differ in their C-terminal sequences, characterized by individual presence or absence of cassette exons 17-21 (UniProtKB/Swiss-Prot,PMID: 21997759).
实验方案
| Product Specific Protocols | |
|---|---|
| IHC protocol for Periostin antibody 19899-1-AP | Download protocol | 
| Standard Protocols | |
|---|---|
| Click here to view our Standard Protocols | 
发表文章
| Species | Application | Title | 
|---|---|---|
| Clin Exp Hypertens Nuclear receptor subfamily 1 group D member 1 suppresses the proliferation, migration of adventitial fibroblasts, and vascular intimal hyperplasia via mammalian target of rapamycin complex 1/β-catenin pathway | ||
| Matrix Biol Proteome-wide and matrisome-specific atlas of the human ovary computes fertility biomarker candidates and open the way for precision oncofertility. | ||
| Antioxidants (Basel) MicroRNA-4732-3p Is Dysregulated in Breast Cancer Patients with Cardiotoxicity, and Its Therapeutic Delivery Protects the Heart from Doxorubicin-Induced Oxidative Stress in Rats | ||
| J Nanobiotechnology Graphene quantum dots rescue angiogenic retinopathy via blocking STAT3/Periostin/ERK signaling. | ||
| Cell Death Dis Periostin secreted by cancer-associated fibroblasts promotes cancer stemness in head and neck cancer by activating protein tyrosine kinase 7. | ||
| Stem Cell Res Ther Adipose-derived stromal/stem cells are verified to be potential seed candidates for bio-root regeneration in three-dimensional culture. | 






