验证数据展示
经过测试的应用
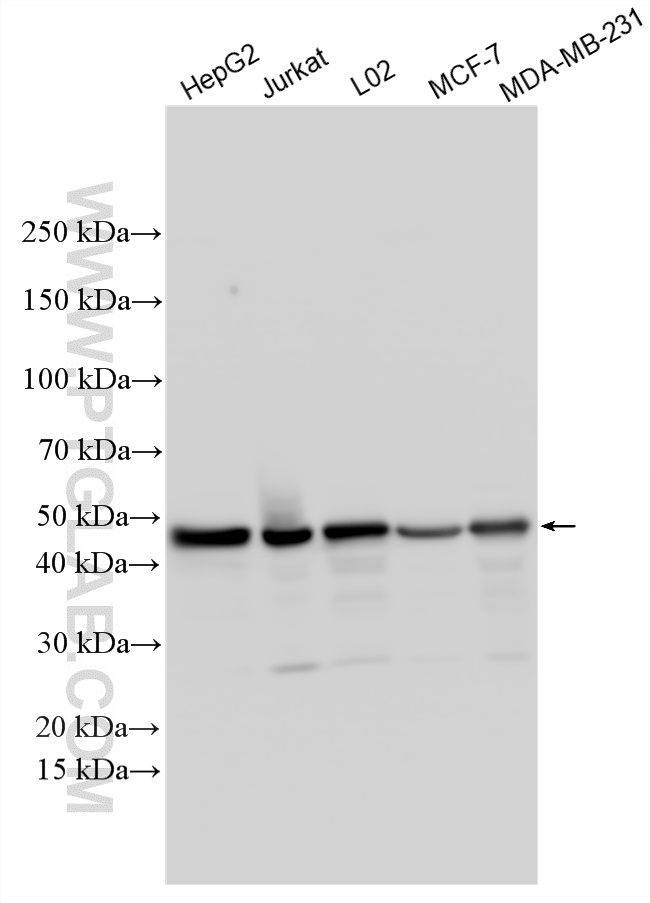
| Positive WB detected in | HepG2 cells, HeLa cells, MCF-7 cells, Jurkat cells, L02 cells, MDA-MB-231 cells |
| Positive IP detected in | Jurkat cells |
| Positive IHC detected in | human liver cancer tissue Note: suggested antigen retrieval with TE buffer pH 9.0; (*) Alternatively, antigen retrieval may be performed with citrate buffer pH 6.0 |
推荐稀释比
| 应用 | 推荐稀释比 |
|---|---|
| Western Blot (WB) | WB : 1:5000-1:50000 |
| Immunoprecipitation (IP) | IP : 0.5-4.0 ug for 1.0-3.0 mg of total protein lysate |
| Immunohistochemistry (IHC) | IHC : 1:20-1:200 |
| It is recommended that this reagent should be titrated in each testing system to obtain optimal results. | |
| Sample-dependent, Check data in validation data gallery. | |
产品信息
16145-1-AP targets POLR1E in WB, IHC, IF, IP, ChIP, ELISA applications and shows reactivity with human, mouse, rat samples.
| 经测试应用 | WB, IHC, IP, ELISA Application Description |
| 文献引用应用 | WB, IF, ChIP |
| 经测试反应性 | human, mouse, rat |
| 文献引用反应性 | human |
| 免疫原 |
CatNo: Ag9269 Product name: Recombinant human POLR1E protein Source: e coli.-derived, PGEX-4T Tag: GST Domain: 104-419 aa of BC014331 Sequence: AELFNMQPLFSDVSVESELALESQTKTYREKMDSCIEAFGTTKQKRALNTRRMNRVGNESLNRAVAKAAETIIDTKGVTALVSDAIHNDLQDDSLYLPPCYDDAAKPEDVYKFEDLLSPAEYEALQSPSEAFRNVTSEEILKMIEENSHCTFVIEALKSLPSDVESRDRQARCIWFLDTLIKFRAHRVVKRKSALGPGVPHIINTKLLKHFTCLTYNNGRLRNLISDSMKAKITAYVIILALHIHDFQIDLTVLQRDLKLSEKRMMEIAKAMRLKISKRKVSVAAGSEEDHKLGTLSLPLPPAQTSDRLAKRRKIT 种属同源性预测 |
| 宿主/亚型 | Rabbit / IgG |
| 抗体类别 | Polyclonal |
| 产品类型 | Antibody |
| 全称 | polymerase (RNA) I polypeptide E, 53kDa |
| 别名 | A49, DNA-directed RNA polymerase I subunit E, DNA-directed RNA polymerase I subunit RPA49, PAF53, POLR |
| 计算分子量 | 481aa,54 kDa; 419aa,47 kDa |
| 观测分子量 | 47-53 kDa |
| GenBank蛋白编号 | BC014331 |
| 基因名称 | POLR1E |
| Gene ID (NCBI) | 64425 |
| RRID | AB_2167341 |
| 偶联类型 | Unconjugated |
| 形式 | Liquid |
| 纯化方式 | Antigen affinity purification |
| UNIPROT ID | Q9GZS1 |
| 储存缓冲液 | PBS with 0.02% sodium azide and 50% glycerol, pH 7.3. |
| 储存条件 | Store at -20°C. Stable for one year after shipment. Aliquoting is unnecessary for -20oC storage. |
实验方案
| Product Specific Protocols | |
|---|---|
| IHC protocol for POLR1E antibody 16145-1-AP | Download protocol |
| IP protocol for POLR1E antibody 16145-1-AP | Download protocol |
| WB protocol for POLR1E antibody 16145-1-AP | Download protocol |
| Standard Protocols | |
|---|---|
| Click here to view our Standard Protocols |
发表文章
| Species | Application | Title |
|---|---|---|
Science lncRNA SLERT controls phase separation of FC/DFCs to facilitate Pol I transcription. | ||
J Biol Chem Identification of an E3 ligase that targets the catalytic subunit of RNA polymerase I upon transcription stress | ||
J Biol Chem Conditional depletion of the RNA polymerase I subunit PAF53 reveals that it is essential for mitosis and enables identification of functional domains. | ||
Mol Biol Cell Nucleoli and the nucleoli-centromere association are dynamic during normal development and in cancer |




